Skip to main content

PDHX Antibody

Novus Biologicals, part of Bio-Techne | Catalog # NB100-1496

Catalog #
Availability
Size / Price
Qty
Loading...
NB100-1496

Key Product Details

Species Reactivity

Validated:

Human

Cited:

Human

Predicted:

Canine (100%), Mouse (100%), Rat (100%). Backed by our 100% Guarantee.

Applications

Validated:

Immunohistochemistry, Immunohistochemistry-Paraffin, Western Blot, Peptide ELISA

Cited:

Western Blot

Label

Unconjugated

Antibody Source

Polyclonal Goat IgG

Concentration

0.5 mg/ml

Product Specifications

Immunogen

Peptide with sequence C-KSFKANLENPIRLA corresponding to C-Terminus according to NP_003468.2, NP_001128496.1, NP_001159630.1.

Specificity

This antibody is expected to recognise all reported isoforms.

Clonality

Polyclonal

Host

Goat

Isotype

IgG

Theoretical MW

54 kDa.
Disclaimer note: The observed molecular weight of the protein may vary from the listed predicted molecular weight due to post translational modifications, post translation cleavages, relative charges, and other experimental factors.

Scientific Data Images for PDHX Antibody

Western Blot: PDHX Antibody [NB100-1496]

Western Blot: PDHX Antibody [NB100-1496]

Western Blot: PDHX Antibody [NB100-1496] - Western blot analysis of Human Pancreas lysate (35ug protein in RIPA buffer) using NB100-1496 (1ug/ml).
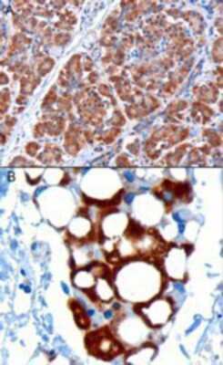
Immunohistochemistry: PDHX Antibody [NB100-1496]

Immunohistochemistry: PDHX Antibody [NB100-1496]

Immunohistochemistry: PDHX Antibody [NB100-1496] - staining of paraffin embedded Human Pancreas. A) Microwaved antigen retrieval with citrate buffer pH 6 (3ug/ml), HRP-staining. B) Microwaved antigen retrieval with Tris/EDTA buffer pH9 (1ug/ml) , HRP-staining.

Applications for PDHX Antibody

Application
Recommended Usage

Immunohistochemistry

1:10 - 1:500

Immunohistochemistry-Paraffin

1 - 3 ug/ml

Peptide ELISA

Detection limit 1:32000

Western Blot

0.1 - 1 ug/ml
Application Notes
WB: Approx. 50 kDa band observed in human pancreas lysate (calculated MW of 54.2 kDa band according to NP_003468.1). In transfected HEK293 transiently expressing PDHX a band of approx. 50 kDa is observed. This band is not observed in the non-transfected HEK293.

Formulation, Preparation, and Storage

Purification

Immunogen affinity purified

Formulation

Tris saline (20 mM Tris pH 7.3, 150 mM NaCl), 0.5% BSA

Preservative

0.02% Sodium Azide

Concentration

0.5 mg/ml

Shipping

The product is shipped with polar packs. Upon receipt, store it immediately at the temperature recommended below.

Stability & Storage

Store at -20C. Avoid freeze-thaw cycles.

Background: PDHX

The PDHX gene encodes component X of the pyruvate dehydrogenase (PDH) complex. For a detailed description of the pyruvate dehydrogenase complex, see MIM 300502. The mammalian PDH complex differs from that in E. coli and from the other mammalian alpha-keto acid dehydrogenases by the presence of a 53-kD protein called protein X. Component X binds to the E3 (MIM 238331) component of the PDH complex (Robinson et al., 1990; Aral et al., 1997).[supplied by OMIM]

Long Name

Pyruvate Dehydrogenase Complex, Component X

Alternate Names

DLDBP, E3BP, E3BP1, OPDX, PDX1, proX

Entrez Gene IDs

8050 (Human); 27402 (Mouse)

Gene Symbol

PDHX

UniProt

Additional PDHX Products

Product Documents for PDHX Antibody

Certificate of Analysis

To download a Certificate of Analysis, please enter a lot number in the search box below.

Product Specific Notices for PDHX Antibody

This product is for research use only and is not approved for use in humans or in clinical diagnosis. Primary Antibodies are guaranteed for 1 year from date of receipt.

Loading...
Loading...
Loading...
Loading...