Skip to main content

PDE8A Antibody (EM-52) - BSA Free

Novus Biologicals, part of Bio-Techne | Catalog # NBP2-62213

Novus Biologicals, part of Bio-Techne

Key Product Details

Species Reactivity

Human

Applications

Western Blot

Label

Unconjugated

Antibody Source

Monoclonal Mouse IgG1 kappa Clone # EM-52

Format

BSA Free

Concentration

Please see the vial label for concentration. If unlisted please contact technical services.

Product Specifications

Immunogen

Human PDE8a

Specificity

The antibody MEM-115 recognizes an epitope in the D1 domain of CD4 antigen, a 55 kDa transmebrane glycoprotein expressed on a subset of T lymphocytes and also on monocytes, tissue macrophages and granulocytes. It is negative in Western blotting even with non-reduced samples of cell lysates.

Clonality

Monoclonal

Host

Mouse

Isotype

IgG1 kappa

Theoretical MW

93 kDa.
Disclaimer note: The observed molecular weight of the protein may vary from the listed predicted molecular weight due to post translational modifications, post translation cleavages, relative charges, and other experimental factors.

Description

Novus Biologicals Mouse PDE8A Antibody (EM-52) - BSA Free (NBP2-62213) is a monoclonal antibody validated for use in WB. All Novus Biologicals antibodies are covered by our 100% guarantee.

Scientific Data Images for PDE8A Antibody (EM-52) - BSA Free

Western Blot: PDE8A Antibody (EM-52) [NBP2-62213]

Western Blot: PDE8A Antibody (EM-52) [NBP2-62213]

Western Blot: PDE8A Antibody (EM-52) [NBP2-62213] - Analysis (reducing conditions) of PDE8a in HEK293T/17-PDE8a transfectants using mouse monoclonal antibody EM-52.
PDE8A Antibody (EM-52) Western Blot: PDE8A Antibody (EM-52) [NBP2-62213]

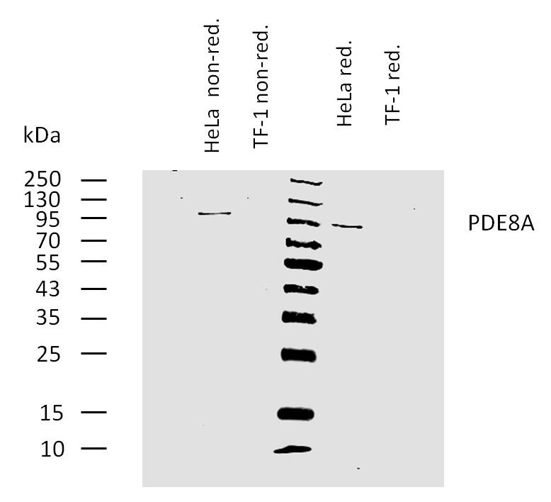
Western Blot: PDE8A Antibody (EM-52) [NBP2-62213]

Analysis of human PDE8A using mouse monoclonal antibody EM-52 on lysates of HeLa cell line and TF-1 cell line (negative control) under non-reducing and reducing conditions. Nitrocellulose membrane was probed with 2 µg/ml of mouse monoclonal antibody anti-PDE8A followed by Alexa Fluor® 790-conjugated goat-anti-mouse secondary antibody. A specific band was detected for PDE8A at approximately 95 kDa.

Applications for PDE8A Antibody (EM-52) - BSA Free

Application
Recommended Usage

Western Blot

1-2 ug/ml

Formulation, Preparation, and Storage

Purification

Protein A purified

Formulation

Phosphate buffered saline (PBS), pH 7.4

Format

BSA Free

Preservative

15mM Sodium Azide

Concentration

Please see the vial label for concentration. If unlisted please contact technical services.

Shipping

The product is shipped with polar packs. Upon receipt, store it immediately at the temperature recommended below.

Stability & Storage

Store at 4C. Do not freeze.

Background: PDE8A

Phosphodiesterase type 8 (PDE8) is one of the many phosphodiesterases that compartmentalize and hydrolyze cAMP into AMP. The cAMP-specific PDE8 family is comprised of 2 genes (PDE8A and PDE8B) each with multiple splice variants generated by RNA splicing and use of alternate initiation sites. PDE8 family is a high affinity cAMP-specific, IBMX sensitive PDE. PDE8 has a significant conserved region of about 270 amino acids common to all PDEs at the carboxy terminal apparently serves as the catalytic domain. The amino-terminal region of this protein is divergent and presumably accounts for the distinctive and regulatory properties unique to the individual PDE families. PDE8A protein showed significant homology to other cAMP-dependent PDEs (23%) within the catalytic domain. PDE8A is widely expressed in various tissues in contrast to PDE8B that is exclusively expressed in thyroid gland. The PDE8A transcripts are found in brain, pancreas, placenta, thyroid, spleen, trachea, prostate, and uterus.

Long Name

High affinity cAMP-specific and IBMX-insensitive 3',5'-cyclic phosphodiesterase 8A

Alternate Names

cAMP-specific cyclic nucleotide phosphodiesterase 8A, EC 3.1.4.17, FLJ16150, high affinity cAMP-specific and IBMX-insensitive 3'-5'-cyclic phosphodiesterase8A, high-affinity cAMP-specific and IBMX-insensitive 3'-5'-cyclic phosphodiesterase8A, HsT19550, phosphodiesterase 8A

Gene Symbol

PDE8A

Additional PDE8A Products

Product Documents for PDE8A Antibody (EM-52) - BSA Free

Certificate of Analysis

To download a Certificate of Analysis, please enter a lot number in the search box below.

Product Specific Notices for PDE8A Antibody (EM-52) - BSA Free

This product is for research use only and is not approved for use in humans or in clinical diagnosis. Primary Antibodies are guaranteed for 1 year from date of receipt.

Loading...
Loading...
Loading...
Loading...