Skip to main content

PDE6A Antibody - BSA Free

Novus Biologicals, part of Bio-Techne | Catalog # NBP1-87312

Novus Biologicals, part of Bio-Techne
Catalog #
Availability
Size / Price
Qty
Loading...
NBP1-87312

Key Product Details

Validated by

Independent Antibodies

Species Reactivity

Validated:

Human, Mouse, Monkey

Cited:

Mouse, Primate - Macaca mulatta (Rhesus Macaque)

Predicted:

Rat (97%). Backed by our 100% Guarantee.

Applications

Validated:

Immunohistochemistry, Immunohistochemistry-Paraffin, Western Blot

Cited:

Immunohistochemistry-Frozen, Immunocytochemistry/ Immunofluorescence, IF/IHC

Label

Unconjugated

Antibody Source

Polyclonal Rabbit IgG

Format

BSA Free

Concentration

Concentrations vary lot to lot. See vial label for concentration. If unlisted please contact technical services.

Product Specifications

Immunogen

This antibody was developed against Recombinant Protein corresponding to amino acids: TLMESLTQFLGWSVLNPDTYESMNKLENRKDIFQDIVKYHVKCDNEEIQKILKTREVYGKEPWECEEEELAEILQAELPDADKYEINKFHFSDLPLTELELVKCGIQMYYELKVVDKFHIPQEALVRFMYSLSKGYRKITYHN

Reactivity Notes

Use in Monkey reported in scientific literature (PMID:35024589). Mouse reactivity reported in scientific literature (PMID: 26188004).

Clonality

Polyclonal

Host

Rabbit

Isotype

IgG

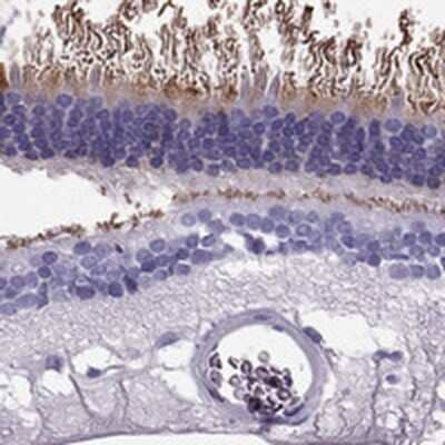
Scientific Data Images for PDE6A Antibody - BSA Free

Immunohistochemistry-Paraffin: PDE6A Antibody [NBP1-87312]

Immunohistochemistry-Paraffin: PDE6A Antibody [NBP1-87312]

Immunohistochemistry-Paraffin: PDE6A Antibody [NBP1-87312] - Staining of human cerebral cortex, endometrium, eye, retina and liver using Anti-PDE6A antibody NBP1-87312 (A) shows similar protein distribution across tissues to independent antibody NBP2-68985 (B).
Western Blot: PDE6A Antibody [NBP1-87312]

Western Blot: PDE6A Antibody [NBP1-87312]

Western Blot: PDE6A Antibody [NBP1-87312] - Analysis in control (vector only transfected HEK293T lysate) and PDE6A over-expression lysate (Co-expressed with a C-terminal myc-DDK tag (3.1 kDa) in mammalian HEK293T cells).
Immunohistochemistry-Paraffin: PDE6A Antibody [NBP1-87312]

Immunohistochemistry-Paraffin: PDE6A Antibody [NBP1-87312]

Immunohistochemistry-Paraffin: PDE6A Antibody [NBP1-87312] - Staining of human endometrium shows no positivity in glandular cells as expected.

Applications for PDE6A Antibody - BSA Free

Application
Recommended Usage

Immunohistochemistry

1:5000 - 1:10000

Immunohistochemistry-Paraffin

1:5000 - 1:10000

Western Blot

0.04-0.4 ug/ml
Application Notes
For IHC-Paraffin, HIER pH 6 retrieval is recommended.

Formulation, Preparation, and Storage

Purification

Affinity purified

Formulation

PBS (pH 7.2) and 40% Glycerol

Format

BSA Free

Preservative

0.02% Sodium Azide

Concentration

Concentrations vary lot to lot. See vial label for concentration. If unlisted please contact technical services.

Shipping

The product is shipped with polar packs. Upon receipt, store it immediately at the temperature recommended below.

Stability & Storage

Store at 4C short term. Aliquot and store at -20C long term. Avoid freeze-thaw cycles.

Background: PDE6A

Phosphodiesterase 6A, a catalytic subunit of the photoreceptor phosphodiesterase, has been shown to affect functioning of eye retina as the alpha subunit of the heterotetrameric rod photoreceptor. Mutations in PDE6A have been identified as a cause of autosomal recessive retinitis pigmentosa.

Long Name

Rod cGMP-specific 3',5'-cyclic phosphodiesterase subunit alpha

Alternate Names

GMP-PDE alpha, PDE V-B1, PDEA

Gene Symbol

PDE6A

Additional PDE6A Products

Product Documents for PDE6A Antibody - BSA Free

Certificate of Analysis

To download a Certificate of Analysis, please enter a lot number in the search box below.

Product Specific Notices for PDE6A Antibody - BSA Free

This product is for research use only and is not approved for use in humans or in clinical diagnosis. Primary Antibodies are guaranteed for 1 year from date of receipt.

Loading...
Loading...
Loading...
Loading...