Skip to main content

PDE1C Antibody - Azide and BSA Free

Novus Biologicals, part of Bio-Techne | Catalog # NBP3-00157

Novus Biologicals, part of Bio-Techne
Catalog #
Availability
Size / Price
Qty
Loading...
NBP3-00157-100ul
NBP3-00157-50ul
Conjugate
Catalog #

Key Product Details

Species Reactivity

Human

Applications

Immunohistochemistry, Immunohistochemistry-Paraffin

Label

Unconjugated

Antibody Source

Polyclonal Rabbit IgG

Format

Azide and BSA Free

Concentration

Please see the vial label for concentration. If unlisted please contact technical services.

Product Specifications

Immunogen

Produced in rabbits immunized with purified, recombinant Human PDE1C (Uniprot#: Q8TAE4; Met1-Glu634)

Clonality

Polyclonal

Host

Rabbit

Isotype

IgG

Description

This antibody can be stored at 2C to 8C for one month without detectable loss of activity. Antibody products are stable for twelve months from date of receipt when stored at -20C to -80C. Avoid repeated freeze-thaw cycles.

Scientific Data Images for PDE1C Antibody - Azide and BSA Free

PDE1C Antibody - Azide and BSA Free

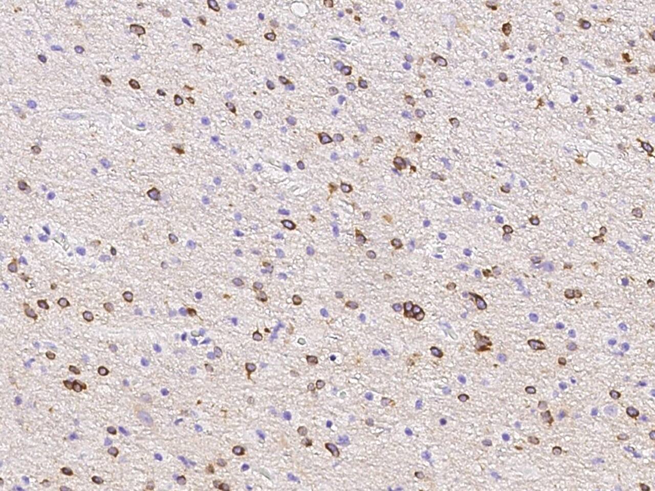
Immunohistochemistry-Paraffin: PDE1C Antibody [NBP3-00157] -

Immunohistochemistry-Paraffin: PDE1C Antibody [NBP3-00157] - Immunochemical staining of human PDE1C in human brain with NBP3-00157 (1:2000, formalin-fixed paraffin embedded sections).

Applications for PDE1C Antibody - Azide and BSA Free

Application
Recommended Usage

Immunohistochemistry-Paraffin

1:1000-1:4000

Formulation, Preparation, and Storage

Purification

Antigen and protein A Affinity-purified

Formulation

0.2 um filtered solution in PBS

Format

Azide and BSA Free

Preservative

No Preservative

Concentration

Please see the vial label for concentration. If unlisted please contact technical services.

Shipping

The product is shipped with polar packs. Upon receipt, store it immediately at the temperature recommended below.

Stability & Storage

Store at 4C short term. Aliquot and store at -20C long term. Avoid freeze-thaw cycles.

Background: PDE1C

PDE1C is a phosphodiesterase activated by the binding of calmodulin in the presence of calcium. Cyclic nucleotides are hydrolyzed and compartmentalized by a family of enzymes called phosphodiesterases. In mammals at least 11 different families of PDEs can be discriminated (PDE1-11) based on their kinetic properties and inhibition to various pharmacological agents. Three different PDE1 genes have been identified (PDE1A, PDE1B, PDE1C). The enzymes of the PDE1A and PDE1B have higher affinity for cGMP than for cAMP, where as, PDE1C has high affinity for both cAMP and cGMP. Calcium-Calmodulin stimulates the activity of each of these enzymes several-fold. The PDE1C gene codes a family of proteins (variants) that differ from each other at amino and carboxy termini of the protein. The tissue distribution of PDE1C is different from other PDE1 gene family members.

Long Name

Dual specificity Calcium/calmodulin-dependent 3',5'-cyclic nucleotide phosphodiesterase 1C

Alternate Names

Cam-PDE 1C, Hcam3

Gene Symbol

PDE1C

Additional PDE1C Products

Product Documents for PDE1C Antibody - Azide and BSA Free

Certificate of Analysis

To download a Certificate of Analysis, please enter a lot number in the search box below.

Product Specific Notices for PDE1C Antibody - Azide and BSA Free

This product is for research use only and is not approved for use in humans or in clinical diagnosis. Primary Antibodies are guaranteed for 1 year from date of receipt.

Loading...
Loading...
Loading...
Loading...