Skip to main content

PDE10A Antibody (OTI1C9) - Azide and BSA Free

Novus Biologicals, part of Bio-Techne | Catalog # NBP2-73273

Novus Biologicals, part of Bio-Techne

Key Product Details

Species Reactivity

Human, Mouse, Rat

Applications

Immunohistochemistry, Immunohistochemistry-Paraffin, Western Blot

Label

Unconjugated

Antibody Source

Monoclonal Mouse IgG2B Clone # OTI1C9

Format

Azide and BSA Free

Concentration

LYOPH mg/ml

Product Specifications

Immunogen

Full-length protein expressed in 293T cell transfected with human PDE10A expression vector

Reactivity Notes

Please note that this antibody is reactive to Mouse and derived from the same host, Mouse. Mouse-On-Mouse blocking reagent may be needed for IHC and ICC experiments to reduce high background signal. You can find these reagents under catalog numbers PK-2200-NB and MP-2400-NB. Please contact Technical Support if you have any questions.

Clonality

Monoclonal

Host

Mouse

Isotype

IgG2B

Theoretical MW

88.4 kDa.
Disclaimer note: The observed molecular weight of the protein may vary from the listed predicted molecular weight due to post translational modifications, post translation cleavages, relative charges, and other experimental factors.

Description

Novus Biologicals Mouse PDE10A Antibody (OTI1C9) - Azide and BSA Free (NBP1-47909) is a monoclonal antibody validated for use in IHC and WB. All Novus Biologicals antibodies are covered by our 100% guarantee.

Scientific Data Images for PDE10A Antibody (OTI1C9) - Azide and BSA Free

Western Blot: PDE10A Antibody (OTI1C9)Azide and BSA Free [NBP2-73273]

Western Blot: PDE10A Antibody (OTI1C9)Azide and BSA Free [NBP2-73273]

Western Blot: PDE10A Antibody (OTI1C9) - Azide and BSA Free [NBP2-73273] - HEK293T cells were transfected with the pCMV6-ENTRY control (Left lane) or pCMV6-ENTRY PDE10A(Right lane) cDNA for 48 hrs and lysed. Equivalent amounts of cell lysates (5 ug per lane) were separated by SDS-PAGE and immunoblotted with anti-PDE10A.
Immunohistochemistry: PDE10A Antibody (OTI1C9) - Azide and BSA Free [NBP2-73273]

Immunohistochemistry: PDE10A Antibody (OTI1C9) - Azide and BSA Free [NBP2-73273]

Immunohistochemistry: PDE10A Antibody (OTI1C9) - Azide and BSA Free [NBP2-73273] - Staining of paraffin-embedded Ovary tissue using anti-PDE10A mouse monoclonal antibody.
Immunohistochemistry: PDE10A Antibody (OTI1C9) - Azide and BSA Free [NBP2-73273]

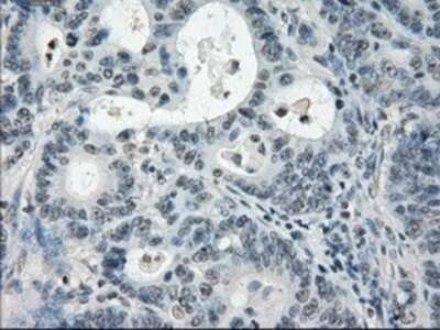
Immunohistochemistry: PDE10A Antibody (OTI1C9) - Azide and BSA Free [NBP2-73273]

Immunohistochemistry: PDE10A Antibody (OTI1C9) - Azide and BSA Free [NBP2-73273] - Staining of paraffin-embedded Adenocarcinoma of breast tissue using anti-PDE10Amouse monoclonal antibody.

Applications for PDE10A Antibody (OTI1C9) - Azide and BSA Free

Application
Recommended Usage

Immunohistochemistry

1:50

Western Blot

1:500

Formulation, Preparation, and Storage

Purification

Immunogen affinity purified

Reconstitution

we recommend adding 100uL distilled water to a final antibody concentration of about 1 mg/mL. To use this carrier-free antibody for conjugation experiment, we strongly recommend performing another round of desalting process.

Formulation

Lyophilized from PBS (pH 7.3) with 8% Trehalose

Format

Azide and BSA Free

Preservative

No Preservative

Concentration

LYOPH mg/ml

Shipping

The product is shipped with polar packs. Upon receipt, store it immediately at the temperature recommended below.

Stability & Storage

Store at -20C. Avoid freeze-thaw cycles.

Background: PDE10A

One of the many phosphodiesterases that compartmentalize and hydrolyze cAMP and cGMP into AMP and GMP is PDE10. Only one member of the cAMP and cGMP-specific PDE10 family has been cloned and characterized. The PDE10A gene is expressed in at least two variant forms (PDE10A1, PDE10A2) generated by RNA splicing and/or the use of alternate initiation sites. PDE10A is widely expressed in the putamen and caudate nucleus in the brain, thyroid and testis. The expression of PDE10A is also abundant in Heart.

Long Name

cAMP and cAMP-inhibited cGMP 3',5'-cyclic phosphodiesterase 10A

Alternate Names

EC 3.1.4.17

Gene Symbol

PDE10A

Additional PDE10A Products

Product Documents for PDE10A Antibody (OTI1C9) - Azide and BSA Free

Certificate of Analysis

To download a Certificate of Analysis, please enter a lot number in the search box below.

Product Specific Notices for PDE10A Antibody (OTI1C9) - Azide and BSA Free

This product is for research use only and is not approved for use in humans or in clinical diagnosis. Primary Antibodies are guaranteed for 1 year from date of receipt.

Loading...
Loading...
Loading...
Loading...
Loading...