Skip to main content

PD-ECGF/Thymidine Phosphorylase Antibody (SPM322) - Azide and BSA Free

Novus Biologicals, part of Bio-Techne | Catalog # NBP2-54403

Novus Biologicals, part of Bio-Techne

Key Product Details

Species Reactivity

Human, Mouse, Rat

Applications

Immunohistochemistry, Immunohistochemistry-Paraffin, Western Blot, Immunoprecipitation

Label

Unconjugated

Antibody Source

Monoclonal Mouse IgG1 kappa Clone # SPM322

Format

Azide and BSA Free

Concentration

1 mg/ml

Product Specifications

Immunogen

Recombinant full-length human PD-ECGF/Thymidine Phosphorylase protein (Uniprot: P19971)

Localization

Cytoplasmic and Nuclear

Specificity

Recognizes a protein (amino acid 482) of 55kDa (in vivo 110kDa homodimer), identified as platelet-derived endothelial growth factor (PD-ECGF), same as thymidine phosphorylase (TP) or gliostatin. In the presence of inorganic orthophosphate, it catalyzes the reversible phospholytic cleavage of thymidine and deoxyuridine to their corresponding bases and 2-deoxyribose-1-phosphate. It is both chemotactic and mitogenic for endothelial cells and a non-heparin binding angiogenic factor present in platelets. Its enzymatic activity is crucial for angiogenic activity (metabolite is angiogenic). Higher levels of serum TP/PD-ECGF are observed in cancer patients. It is also involved in transformation of fluoropyrimidines, cytotoxic agents used in the treatment of a variety of malignancies, into active cytotoxic metabolites (e.g. 5-deoxy-5-fluorouridine to 5-FU). High intra-cellular levels of TP/PD-ECGF are associated with increased chemosensitivity to such antimetabolites.

Marker

Angiogenesis Marker

Clonality

Monoclonal

Host

Mouse

Isotype

IgG1 kappa

Theoretical MW

55 kDa.
Disclaimer note: The observed molecular weight of the protein may vary from the listed predicted molecular weight due to post translational modifications, post translation cleavages, relative charges, and other experimental factors.

Description

1.0 mg/ml of antibody purified from Bioreactor Concentrate by Protein A/G. Prepared in 10mM PBS WITHOUT BSA & azide. Also available at 200 ug/ml WITH BSA & azide (NBP2-53396).

Antibody with azide - store at 2 to 8C. Antibody without azide - store at -20 to -80C.

Scientific Data Images

Western Blot: PD-ECGF/Thymidine Phosphorylase Antibody (SPM322)Azide and BSA Free [NBP2-54403]

Western Blot: PD-ECGF/Thymidine Phosphorylase Antibody (SPM322)Azide and BSA Free [NBP2-54403]

Western Blot: PD-ECGF/Thymidine Phosphorylase Antibody (SPM322) - Azide and BSA Free [NBP2-54403] - Western Blot Analysis of human spleen tissue lysate using PD-ECGF/Thymidine Phosphorylase Monoclonal Antibody (SPM322).
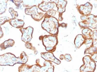
Immunohistochemistry-Paraffin: PD-ECGF/Thymidine Phosphorylase Antibody (SPM322) - Azide and BSA Free [NBP2-54403]

Immunohistochemistry-Paraffin: PD-ECGF/Thymidine Phosphorylase Antibody (SPM322) - Azide and BSA Free [NBP2-54403]

Immunohistochemistry-Paraffin: PD-ECGF/Thymidine Phosphorylase Antibody (SPM322) - Azide and BSA Free [NBP2-54403] - Formalin-fixed, paraffin-embedded human Placenta stained with Thymidine Phosphorylase / PD-ECGF Monoclonal Antibody (SPM322).

Applications

Application
Recommended Usage

Immunohistochemistry-Paraffin

1 - 2 ug/ml

Immunoprecipitation

0.5 - 1 ug

Western Blot

0.5 - 1 ug/ml
Application Notes
Immunohistochemistry (Formalin-fixed): 1-2ug/ml for 30 minutes at RT. Staining of formalin-fixed tissues requires heating tissue sections in 10mM Tris with 1mM EDTA, pH 9.0, for 45 min at 95C followed by cooling at RT for 20 minutes.
Optimal dilution for a specific application should be determined.

Formulation, Preparation, and Storage

Purification

Protein A or G purified

Formulation

10 mM PBS

Format

Azide and BSA Free

Preservative

No Preservative

Concentration

1 mg/ml

Shipping

The product is shipped with polar packs. Upon receipt, store it immediately at the temperature recommended below.

Stability & Storage

Store at -20 to -80C. Avoid freeze-thaw cycles.

Background: PD-ECGF/Thymidine Phosphorylase

Thymidine Phosphorylase encodes an angiogenic factor which promotes angiogenesis in vivo and stimulates the in vitro growth of a variety of endothelial cells. It has a highly restricted target cell specificity acting only on endothelial cells. Mutations in this gene have been associated with mitochondrial neurogastrointestinal encephalomyopathy. Multiple alternatively spliced variants, encoding the same protein, have been identified. [provided by RefSeq]

Long Name

Platelet-derived Endothelial Cell Growth Factor

Alternate Names

dThdPase, ECGF1, Gliostatin, MEDPS1, MNGIE, MTDPS1, PDECGF, TdRPase, Thymidine Phosphorylase, TPase, TYMP

Gene Symbol

TYMP

Additional PD-ECGF/Thymidine Phosphorylase Products

Product Documents

Certificate of Analysis

To download a Certificate of Analysis, please enter a lot number in the search box below.

Product Specific Notices

This product is for research use only and is not approved for use in humans or in clinical diagnosis. Primary Antibodies are guaranteed for 1 year from date of receipt.

Loading...
Loading...
Loading...
Loading...