Skip to main content

PCYT2 Antibody - BSA Free

Novus Biologicals, part of Bio-Techne | Catalog # NBP1-83951

Novus Biologicals, part of Bio-Techne
Catalog #
Availability
Size / Price
Qty
Loading...
NBP1-83951
NBP1-83951-25ul

Key Product Details

Validated by

Independent Antibodies

Species Reactivity

Human

Applications

Immunohistochemistry, Immunohistochemistry-Paraffin, Western Blot, Immunocytochemistry/ Immunofluorescence

Label

Unconjugated

Antibody Source

Polyclonal Rabbit IgG

Format

BSA Free

Concentration

Concentrations vary lot to lot. See vial label for concentration. If unlisted please contact technical services.

Product Specifications

Immunogen

This antibody was developed against Recombinant Protein corresponding to amino acids: TAELLSHFKVDLVCHGKTEIIPDRDGSDPYQEPKRRGIFRQIDSGSNLTTDLIVQRIITNRLEYEARNQKKEAKELAFLEAARQQAAQPLGERDGDF

Reactivity Notes

Immunogen displays the following percentage of sequence identity for non-tested species: Mouse (86%), Rat (87%)

Clonality

Polyclonal

Host

Rabbit

Isotype

IgG

Scientific Data Images for PCYT2 Antibody - BSA Free

Immunohistochemistry-Paraffin: PCYT2 Antibody [NBP1-83951]

Immunohistochemistry-Paraffin: PCYT2 Antibody [NBP1-83951]

Immunohistochemistry-Paraffin: PCYT2 Antibody [NBP1-83951] - Staining of human gastrointestinal, kidney, liver and testis using Anti-PCYT2 antibody NBP1-83951 (A) shows similar protein distribution across tissues to independent antibody NBP1-83952 (B).
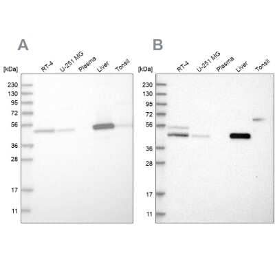
Western Blot: PCYT2 Antibody [NBP1-83951]

Western Blot: PCYT2 Antibody [NBP1-83951]

Western Blot: PCYT2 Antibody [NBP1-83951] - Analysis using Anti-PCYT2 antibody NBP1-83951 (A) shows similar pattern to independent antibody NBP1-83952 (B).
Immunocytochemistry/ Immunofluorescence: PCYT2 Antibody [NBP1-83951]

Immunocytochemistry/ Immunofluorescence: PCYT2 Antibody [NBP1-83951]

Immunocytochemistry/Immunofluorescence: PCYT2 Antibody [NBP1-83951] - Immunofluorescent staining of human cell line U-251 MG shows localization to centrosome.

Applications for PCYT2 Antibody - BSA Free

Application
Recommended Usage

Immunocytochemistry/ Immunofluorescence

0.25-2 ug/ml

Immunohistochemistry

1:500 - 1:1000

Immunohistochemistry-Paraffin

1:500-1:1000

Western Blot

0.04-0.4 ug/ml
Application Notes
For IHC-Paraffin, HIER pH 6 retrieval is recommended. ICC/IF, Fixation/Permeabilization: PFA/Triton X-100

Formulation, Preparation, and Storage

Purification

Affinity purified

Formulation

PBS (pH 7.2) and 40% Glycerol

Format

BSA Free

Preservative

0.02% Sodium Azide

Concentration

Concentrations vary lot to lot. See vial label for concentration. If unlisted please contact technical services.

Shipping

The product is shipped with polar packs. Upon receipt, store it immediately at the temperature recommended below.

Stability & Storage

Store at 4C short term. Aliquot and store at -20C long term. Avoid freeze-thaw cycles.

Background: PCYT2

ECT (ethanolamine phosphate cytidyltransferase) is an important regulatory enzyme in the pathway for phosphatidylethanolamine (PE) biosynthesis. PE functions in cell signalling, membrane fusion, platelet activation, and cell cycle progression. Specialized forms of PE exist as plasmologens, natural cannabinoid anadimade, and glycosylated PE. The ECT enzyme acts in the second of three catalysis steps to produce CDP-ethanolamine from phosphoethanolamine (P-Etn). Study of ECT could help determine the role of plasmologens in disease, specifically lipid disorders such as peroxisomal diseases as well as neuronal degeneration associated with Alzheimer's disease.

Long Name

Ethanolamine-phosphate cytidylyltransferase

Alternate Names

EC 2.7.7.14

Gene Symbol

PCYT2

Additional PCYT2 Products

Product Documents for PCYT2 Antibody - BSA Free

Certificate of Analysis

To download a Certificate of Analysis, please enter a lot number in the search box below.

Product Specific Notices for PCYT2 Antibody - BSA Free

This product is for research use only and is not approved for use in humans or in clinical diagnosis. Primary Antibodies are guaranteed for 1 year from date of receipt.

Loading...
Loading...
Loading...
Loading...