PCNA Antibody - BSA Free
Novus Biologicals, part of Bio-Techne | Catalog # NB100-456
Conjugate
Catalog #
Key Product Details
Validated by
Independent Antibodies, Biological Validation
Species Reactivity
Validated:
Human, Mouse
Cited:
Human, Rat
Predicted:
Bovine (100%), Chicken (100%), Rat (100%). Backed by our 100% Guarantee.
Applications
Validated:
Immunohistochemistry, Immunohistochemistry-Paraffin, Western Blot, Flow Cytometry, Immunoprecipitation
Cited:
Western Blot
Label
Unconjugated
Antibody Source
Polyclonal Rabbit IgG
Format
BSA Free
Concentration
1.0 mg/ml
Product Specifications
Immunogen
The immunogen this antibody was made to, maps to a region between residues 75-125 of human proliferating cell nuclear antigen using the SwissProt entry P12004 (GeneID 5111).
Marker
Proliferation Marker
Clonality
Polyclonal
Host
Rabbit
Isotype
IgG
Description
Novus Biologicals Rabbit PCNA Antibody - BSA Free (NB100-456) is a polyclonal antibody validated for use in IHC, WB, Flow and IP. Anti-PCNA Antibody: Cited in 7 publications. All Novus Biologicals antibodies are covered by our 100% guarantee.
Scientific Data Images for PCNA Antibody - BSA Free
Western Blot: PCNA Antibody [NB100-456]
Western Blot: PCNA Antibody [NB100-456] - Detection of Human and Mouse PCNA by Western Blot. Samples: Whole cell lysate (50 ug) from 293T and mouse NIH3T3 cells prepared using NETN lysis buffer. Antibody: Affinity purified rabbit anti-PCNA antibody NB100-456 used for WB at 0.1 ug/ml. Detection: Chemiluminescence with an exposure time of 3 minutes.Immunohistochemistry: PCNA Antibody [NB100-456]
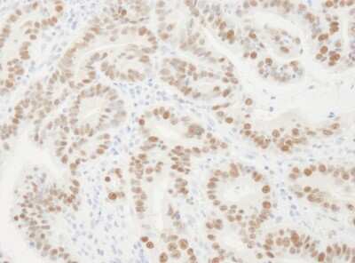
Immunohistochemistry: PCNA Antibody [NB100-456] - Sample: FFPE section of human stomach carcinoma. Antibody: Affinity purified rabbit anti- PCNA used at a dilution of 1:10,000 (0.1ug/ml). Detection: DABFlow Cytometry: PCNA Antibody [NB100-456]
Flow Cytometry: PCNA Antibody [NB100-456] - Detection of PCNA Versus DNA Content. Asynchronous Jurkat cells were fixed and permeabilized in a sequential treatment of FACS buffer (PBS, 0.5% triton-X-100, 0.5mM EDTA, 1% BSA) and 100% methanol. 1 X106 cells were stained with 0.03 ug anti-PCNA . Secondary detection was performed with FITC conjugated Goat F(ab')2 anti-rabbit antibody], and DNA stained with PI.Applications for PCNA Antibody - BSA Free
Application
Recommended Usage
Flow Cytometry
1:10-1:1000
Immunohistochemistry
1:2000 - 1:10000
Immunohistochemistry-Paraffin
1:2000 - 1:10000
Immunoprecipitation
2-5 ug/mg lysate
Western Blot
1:1000-1:10000
Application Notes
Epitope retrieval with citrate buffer pH6.0 is recommended for FFPE tissue sections.
Formulation, Preparation, and Storage
Purification
Immunogen affinity purified
Formulation
Tris-Citrate/Phosphate (pH 7.0 - 8.0)
Format
BSA Free
Preservative
0.09% Sodium Azide
Concentration
1.0 mg/ml
Shipping
The product is shipped with polar packs. Upon receipt, store it immediately at the temperature recommended below.
Stability & Storage
Store at 4C. Do not freeze.
Background: PCNA
Long Name
Proliferating Cell Nuclear Antigen
Alternate Names
cyclin, DNA polymerase delta auxiliary protein, MGC8367, proliferating cell nuclear antigen
Entrez Gene IDs
5111 (Human)
Gene Symbol
PCNA
UniProt
Additional PCNA Products
Product Documents for PCNA Antibody - BSA Free
Product Specific Notices for PCNA Antibody - BSA Free
This product is for research use only and is not approved for use in humans or in clinical diagnosis. Primary Antibodies are guaranteed for 1 year from date of receipt.
Loading...
Loading...
Loading...
Loading...
Loading...