PCLKC Antibody - BSA Free
Novus Biologicals, part of Bio-Techne | Catalog # NBP1-92247
Key Product Details
Validated by
Orthogonal Validation
Species Reactivity
Human
Applications
Immunohistochemistry, Immunohistochemistry-Paraffin
Label
Unconjugated
Antibody Source
Polyclonal Rabbit IgG
Format
BSA Free
Concentration
Concentrations vary lot to lot. See vial label for concentration. If unlisted please contact technical services.
Product Specifications
Immunogen
This antibody was developed against Recombinant Protein corresponding to amino acids: DVSLDYETQPVFNLTVSAENPDPQGGETIVDVCVNVKDVNDNPPTLDVASLRGIRVAENGSQHGQVAVVVASDVDTSAQLEIQLVNILCTKAGVDVGSLCWGWFSVAANGSVYINQSKAIDYEACDLVTLVVRACDLATDP
Clonality
Polyclonal
Host
Rabbit
Isotype
IgG
Scientific Data Images for PCLKC Antibody - BSA Free
Immunohistochemistry-Paraffin: PCLKC Antibody [NBP1-92247]
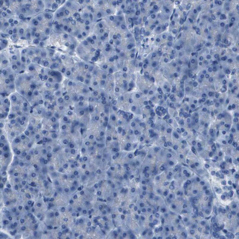
Immunohistochemistry-Paraffin: PCLKC Antibody [NBP1-92247] - Staining of human pancreas shows low expression as expected.Immunohistochemistry: PCLKC Antibody [NBP1-92247]
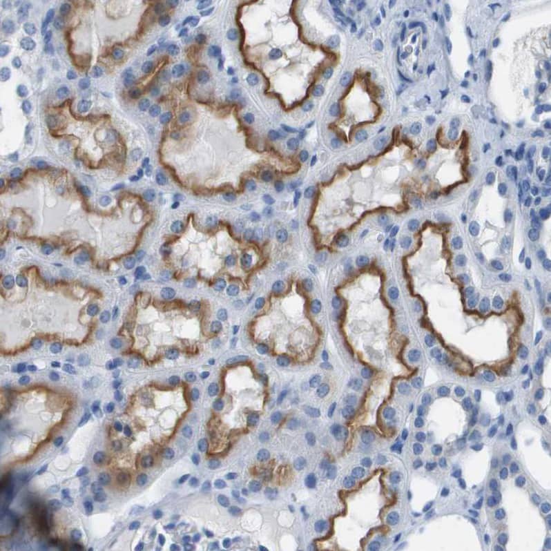
Immunohistochemistry: PCLKC Antibody [NBP1-92247] - Staining of human kidney shows strong membranous positivity in proximal tubules.Immunohistochemistry-Paraffin: PCLKC Antibody [NBP1-92247]
Immunohistochemistry-Paraffin: PCLKC Antibody [NBP1-92247] - Staining of human duodenum shows high expression.Applications for PCLKC Antibody - BSA Free
Application
Recommended Usage
Immunohistochemistry
1:500 - 1:1000
Immunohistochemistry-Paraffin
1:500 - 1:1000
Application Notes
For IHC-Paraffin, HIER pH 6 retrieval is recommended.
Formulation, Preparation, and Storage
Purification
Affinity purified
Formulation
PBS (pH 7.2) and 40% Glycerol
Format
BSA Free
Preservative
0.02% Sodium Azide
Concentration
Concentrations vary lot to lot. See vial label for concentration. If unlisted please contact technical services.
Shipping
The product is shipped with polar packs. Upon receipt, store it immediately at the temperature recommended below.
Stability & Storage
Store at 4C short term. Aliquot and store at -20C long term. Avoid freeze-thaw cycles.
Background: PCLKC
Alternate Names
cadherin-related family member 2, FLJ20383, MGC163154, PCDH24, PC-LKC, PCLKCFLJ20124, protocadherin 24, Protocadherin LKC, Protocadherin-24
Gene Symbol
CDHR2
Additional PCLKC Products
Product Documents for PCLKC Antibody - BSA Free
Product Specific Notices for PCLKC Antibody - BSA Free
This product is for research use only and is not approved for use in humans or in clinical diagnosis. Primary Antibodies are guaranteed for 1 year from date of receipt.
Loading...
Loading...
Loading...
Loading...