PCK1 Antibody (JU84-39)
Novus Biologicals, part of Bio-Techne | Catalog # NBP2-75609
Recombinant Monoclonal Antibody.
Key Product Details
Species Reactivity
Human
Applications
Immunocytochemistry/ Immunofluorescence, Immunohistochemistry, Immunohistochemistry-Paraffin, Western Blot
Label
Unconjugated
Antibody Source
Recombinant Monoclonal Rabbit IgG Clone # JU84-39 expressed in HEK293
Concentration
1 mg/ml
Product Specifications
Immunogen
Synthetic peptide within Human PCK1 aa 26-75 / 622. (SwissProt: P35558 Human)
Localization
Cytoplasm.
Clonality
Monoclonal
Host
Rabbit
Isotype
IgG
Theoretical MW
69 kDa.
Disclaimer note: The observed molecular weight of the protein may vary from the listed predicted molecular weight due to post translational modifications, post translation cleavages, relative charges, and other experimental factors.
Disclaimer note: The observed molecular weight of the protein may vary from the listed predicted molecular weight due to post translational modifications, post translation cleavages, relative charges, and other experimental factors.
Description
Novus Biologicals Rabbit PCK1 Antibody (JU84-39) (NBP2-75609) is a recombinant monoclonal antibody validated for use in IHC, WB and ICC/IF. All Novus Biologicals antibodies are covered by our 100% guarantee.
Scientific Data Images for PCK1 Antibody (JU84-39)
Immunocytochemistry/ Immunofluorescence: PCK1 Antibody (JU84-39) [NBP2-75609]
Immunocytochemistry/Immunofluorescence: PCK1 Antibody (JU84-39) [NBP2-75609] - Staining PCK1 in SH-SY5Y cells (green). The nuclear counter stain is DAPI (blue). Cells were fixed in paraformaldehyde, permeabilised with 0.25% Triton X100/PBS.Immunohistochemistry-Paraffin: PCK1 Antibody (JU84-39) [NBP2-75609]
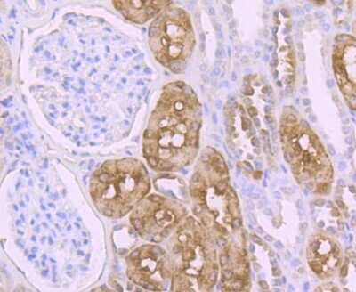
Immunohistochemistry-Paraffin: PCK1 Antibody (JU84-39) [NBP2-75609] - Analysis of paraffin-embedded human kidney tissue using anti-PCK1 antibody. Counter stained with hematoxylin.Immunocytochemistry/ Immunofluorescence: PCK1 Antibody (JU84-39) [NBP2-75609]
Immunocytochemistry/Immunofluorescence: PCK1 Antibody (JU84-39) [NBP2-75609] - Staining PCK1 in 293T cells (green). The nuclear counter stain is DAPI (blue). Cells were fixed in paraformaldehyde, permeabilised with 0.25% Triton X100/PBS.Applications for PCK1 Antibody (JU84-39)
Application
Recommended Usage
Immunocytochemistry/ Immunofluorescence
1:50-1:100
Immunohistochemistry-Paraffin
1:200
Western Blot
1:500
Formulation, Preparation, and Storage
Purification
Protein A purified
Formulation
TBS (pH7.4), 0.05% BSA, 40% Glycerol
Preservative
0.05% Sodium Azide
Concentration
1 mg/ml
Shipping
The product is shipped with polar packs. Upon receipt, store it immediately at the temperature recommended below.
Stability & Storage
Store at 4C short term. Aliquot and store at -20C long term. Avoid freeze-thaw cycles.
Background: PCK1
Long Name
Phosphoenolpyruvate Carboxykinase 1
Alternate Names
PEPCK-C, PEPCK1
Gene Symbol
PCK1
Additional PCK1 Products
Product Documents for PCK1 Antibody (JU84-39)
Product Specific Notices for PCK1 Antibody (JU84-39)
This product is for research use only and is not approved for use in humans or in clinical diagnosis. Primary Antibodies are guaranteed for 1 year from date of receipt.
Loading...
Loading...
Loading...
Loading...