Skip to main content

PBXIP1 Antibody - BSA Free

Novus Biologicals, part of Bio-Techne | Catalog # NBP3-05982

Novus Biologicals, part of Bio-Techne

Key Product Details

Species Reactivity

Human

Applications

Immunohistochemistry, Immunohistochemistry-Paraffin, Western Blot, Immunoprecipitation

Label

Unconjugated

Antibody Source

Polyclonal Rabbit IgG

Format

BSA Free

Concentration

Please see the vial label for concentration. If unlisted please contact technical services.

Product Specifications

Immunogen

Produced in rabbits immunized with E. coli-derived Human PBXIP1 fragment.

Clonality

Polyclonal

Host

Rabbit

Isotype

IgG

Description

This antibody can be stored at 2C-8C for one month without detectable loss of activity. Antibody products are stable for twelve months from date of receipt when stored at -20C to -80C. Avoid repeated freeze-thaw cycles.

Scientific Data Images for PBXIP1 Antibody - BSA Free

Western Blot: PBXIP1 Antibody [NBP3-05982]

Western Blot: PBXIP1 Antibody [NBP3-05982]

Western Blot: PBXIP1 Antibody [NBP3-05982] - Lane A: Hela Whole Cell LysateLysates/proteins at 30 ug per lane.SecondaryGoat Anti-Rabbit IgG (H+L)/HRP at 1/10000 dilution.Developed using the ECL technique.Performed under reducing conditions.Predicted band size:81 kDaObserved band size:97 kDa
Immunohistochemistry-Paraffin: PBXIP1 Antibody [NBP3-05982]

Immunohistochemistry-Paraffin: PBXIP1 Antibody [NBP3-05982]

Immunohistochemistry-Paraffin: PBXIP1 Antibody [NBP3-05982] - Staining of human PBXIP1 in human skeletal muscle with rabbit polyclonal antibody at 1:2000 dilution.
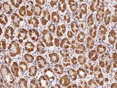
Immunohistochemistry-Paraffin: PBXIP1 Antibody [NBP3-05982]

Immunohistochemistry-Paraffin: PBXIP1 Antibody [NBP3-05982]

Immunohistochemistry-Paraffin: PBXIP1 Antibody [NBP3-05982] - Staining of human PBXIP1 in human stomach with rabbit polyclonal antibody at 1:2000 dilution.

Applications for PBXIP1 Antibody - BSA Free

Application
Recommended Usage

Immunohistochemistry-Paraffin

1:1000-1:5000

Immunoprecipitation

1-5uL/mg of lysate

Western Blot

1:500-1:2000

Formulation, Preparation, and Storage

Purification

Antigen and protein A Affinity-purified

Formulation

PBS

Format

BSA Free

Preservative

0.03% Proclin 300

Concentration

Please see the vial label for concentration. If unlisted please contact technical services.

Shipping

The product is shipped with polar packs. Upon receipt, store it immediately at the temperature recommended below.

Stability & Storage

Store at 4C short term. Aliquot and store at -20C long term. Avoid freeze-thaw cycles.

Background: PBXIP1

Hematopoietic PBX-interacting protein (HPIP) was identified in a yeast two-hybrid screen for factors that interact with PBX1, a homeodomain protein that regulates gene transcription during development and differentiation. Recently, HPIP has been reported to interact with estrogen receptor alpha (ERalpha) and estrogen receptor beta (ERbeta) and modulate ER target gene expression. Alternate names for HPIP include pre-b-cell leukemia transcription factor-interacting protein 1, hematopoietic PBX-interacting protein, and PBKIP1.

Alternate Names

Hematopoietic PBX-interacting protein, HPIPpre-B-cell leukemia transcription factor interacting protein 1, pre-B-cell leukemia homeobox interacting protein 1, pre-B-cell leukemia transcription factor-interacting protein 1

Gene Symbol

PBXIP1

Additional PBXIP1 Products

Product Documents for PBXIP1 Antibody - BSA Free

Certificate of Analysis

To download a Certificate of Analysis, please enter a lot number in the search box below.

Product Specific Notices for PBXIP1 Antibody - BSA Free

This product is for research use only and is not approved for use in humans or in clinical diagnosis. Primary Antibodies are guaranteed for 1 year from date of receipt.

Loading...
Loading...
Loading...
Loading...