Skip to main content

PAXX Antibody - BSA Free

Novus Biologicals, part of Bio-Techne | Catalog # NBP1-94172

Novus Biologicals, part of Bio-Techne
Catalog #
Availability
Size / Price
Qty
Loading...
NBP1-94172-25ul
NBP1-94172

Key Product Details

Validated by

Knockout/Knockdown

Species Reactivity

Validated:

Human, Mouse

Cited:

Human, Mouse

Applications

Validated:

Knockout Validated, Immunohistochemistry, Immunohistochemistry-Paraffin, Western Blot, Immunocytochemistry/ Immunofluorescence, Knockdown Validated

Cited:

Western Blot

Label

Unconjugated

Antibody Source

Polyclonal Rabbit IgG

Format

BSA Free

Concentration

Concentrations vary lot to lot. See vial label for concentration. If unlisted please contact technical services.

Product Specifications

Immunogen

This antibody was developed against Recombinant Protein corresponding to amino acids: LSKVPGPEAAPRLRALTLGLAKRVWSLERRLAAAEETAVSPRKSPRPAGPQLFLPDPDPQRGGPGPGVRRRCPGESLINPGFKSKKPAGGVDFDET

Reactivity Notes

Use in Mouse reported in scientific literature (PMID:29511619).

Clonality

Polyclonal

Host

Rabbit

Isotype

IgG

Scientific Data Images for PAXX Antibody - BSA Free

Immunocytochemistry/ Immunofluorescence: PAXX Antibody [NBP1-94172]

Immunocytochemistry/ Immunofluorescence: PAXX Antibody [NBP1-94172]

Immunocytochemistry/Immunofluorescence: PAXX Antibody [NBP1-94172] - Immunofluorescent staining of human cell line U-251 MG shows localization to nucleoplasm.
Immunohistochemistry-Paraffin: PAXX Antibody [NBP1-94172]

Immunohistochemistry-Paraffin: PAXX Antibody [NBP1-94172]

Immunohistochemistry-Paraffin: PAXX Antibody [NBP1-94172] - Staining of human skeletal muscle shows no positivity in myocytes as expected.
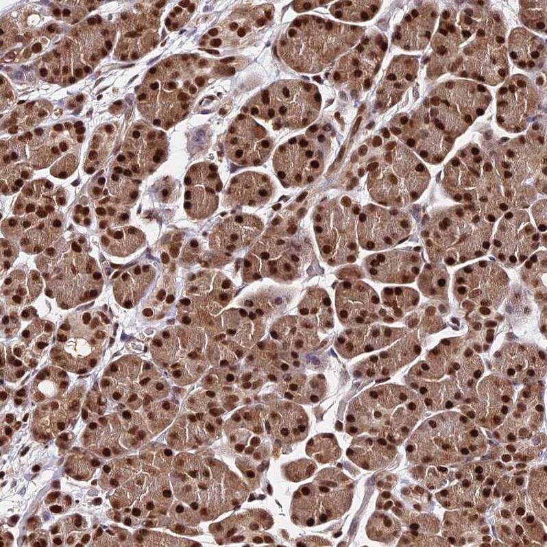
Immunohistochemistry-Paraffin: PAXX Antibody [NBP1-94172]

Immunohistochemistry-Paraffin: PAXX Antibody [NBP1-94172]

Immunohistochemistry-Paraffin: PAXX Antibody [NBP1-94172] - Staining of human pancreas shows strong nuclear positivity in exocrine glandular cells.

Applications for PAXX Antibody - BSA Free

Application
Recommended Usage

Immunocytochemistry/ Immunofluorescence

0.25-2 ug/ml

Immunohistochemistry

1:2500 - 1:5000

Immunohistochemistry-Paraffin

1:2500 - 1:5000

Western Blot

0.04-0.4 ug/ml
Application Notes
For IHC-Paraffin, HIER pH 6 retrieval is recommended. ICC/IF Fixation Permeabilization: Use PFA/Triton X-100.

Formulation, Preparation, and Storage

Purification

Affinity purified

Formulation

PBS (pH 7.2) and 40% Glycerol

Format

BSA Free

Preservative

0.02% Sodium Azide

Concentration

Concentrations vary lot to lot. See vial label for concentration. If unlisted please contact technical services.

Shipping

The product is shipped with polar packs. Upon receipt, store it immediately at the temperature recommended below.

Stability & Storage

Store at 4C short term. Aliquot and store at -20C long term. Avoid freeze-thaw cycles.

Background: PAXX

Alternate Names

chromosome 9 open reading frame 142, hypothetical protein LOC286257

Gene Symbol

PAXX

Additional PAXX Products

Product Documents for PAXX Antibody - BSA Free

Certificate of Analysis

To download a Certificate of Analysis, please enter a lot number in the search box below.

Product Specific Notices for PAXX Antibody - BSA Free

This product is for research use only and is not approved for use in humans or in clinical diagnosis. Primary Antibodies are guaranteed for 1 year from date of receipt.

Loading...
Loading...
Loading...
Loading...