Skip to main content

PAUF/ZG16B Antibody - BSA Free

Novus Biologicals, part of Bio-Techne | Catalog # NBP2-49089

Novus Biologicals, part of Bio-Techne
Catalog #
Availability
Size / Price
Qty
Loading...
NBP2-49089-25ul
NBP2-49089

Key Product Details

Validated by

Orthogonal Validation, Independent Antibodies

Species Reactivity

Human

Applications

Immunohistochemistry, Immunohistochemistry-Paraffin, Immunocytochemistry/ Immunofluorescence

Label

Unconjugated

Antibody Source

Polyclonal Rabbit IgG

Format

BSA Free

Concentration

Concentrations vary lot to lot. See vial label for concentration. If unlisted please contact technical services.

Product Specifications

Immunogen

This antibody was developed against a recombinant protein corresponding to amino acids: AFLRGMVMYTSKDRYFYFGKLDGQISSAYPSQEGQVLVGIYGQYQLLGIKSIGFEWNYPLEEPTTEPPVNLTYSANSPVG

Clonality

Polyclonal

Host

Rabbit

Isotype

IgG

Description

Novus Biologicals Rabbit PAUF/ZG16B Antibody - BSA Free (NBP2-49089) is a polyclonal antibody validated for use in IHC and ICC/IF. All Novus Biologicals antibodies are covered by our 100% guarantee.

Scientific Data Images for PAUF/ZG16B Antibody - BSA Free

Immunohistochemistry-Paraffin: PAUF/ZG16B Antibody [NBP2-49089]

Immunohistochemistry-Paraffin: PAUF/ZG16B Antibody [NBP2-49089]

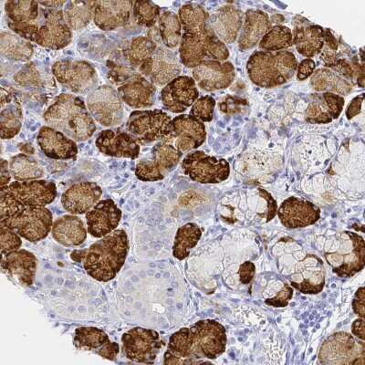
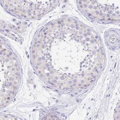
Immunohistochemistry-Paraffin: PAUF/ZG16B Antibody [NBP2-49089] - Analysis in human salivary gland and testis tissues using NBP2-49089 antibody. Corresponding ZG16B RNA-seq data are presented for the same tissues.
Immunohistochemistry-Paraffin: PAUF/ZG16B Antibody [NBP2-49089]

Immunohistochemistry-Paraffin: PAUF/ZG16B Antibody [NBP2-49089]

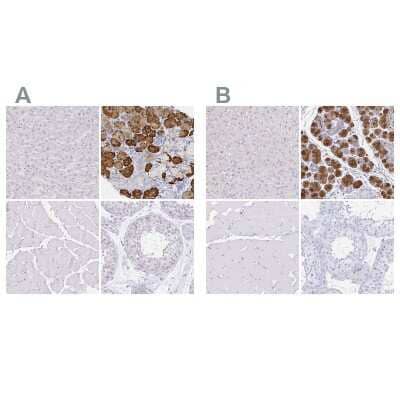
Immunohistochemistry-Paraffin: PAUF/ZG16B Antibody [NBP2-49089] - Staining of human liver, salivary gland, skeletal muscle and testis using Anti-ZG16B antibody NBP2-49089 (A) shows similar protein distribution across tissues to independent antibody NBP1-81699 (B).
Immunocytochemistry/ Immunofluorescence: PAUF/ZG16B Antibody [NBP2-49089]

Immunocytochemistry/ Immunofluorescence: PAUF/ZG16B Antibody [NBP2-49089]

Immunocytochemistry/Immunofluorescence: PAUF/ZG16B Antibody [NBP2-49089] - Immunofluorescent staining of human cell line PC-3 shows localization to nucleoplasm & vesicles.

Applications for PAUF/ZG16B Antibody - BSA Free

Application
Recommended Usage

Immunocytochemistry/ Immunofluorescence

0.25-2 ug/ml

Immunohistochemistry

1:50 - 1:200

Immunohistochemistry-Paraffin

1:50 - 1:200
Application Notes
For IHC-Paraffin, HIER pH 6 retrieval is recommended. ICC/IF, Fixation Permeabilization: Use PFA/Triton X-100.

Formulation, Preparation, and Storage

Purification

Affinity purified

Formulation

PBS (pH 7.2) and 40% Glycerol

Format

BSA Free

Preservative

0.02% Sodium Azide

Concentration

Concentrations vary lot to lot. See vial label for concentration. If unlisted please contact technical services.

Shipping

The product is shipped with polar packs. Upon receipt, store it immediately at the temperature recommended below.

Stability & Storage

Store at 4C short term. Aliquot and store at -20C long term. Avoid freeze-thaw cycles.

Background: PAUF/ZG16B

LOC124220( AAH09722, 18 a.a. - 173 a.a.) full-length recombinant protein with GST.

Long Name

Pancreatic Adenocarcinoma Upregulated Factor

Alternate Names

EECP, HRPE773, JCLN2, LOC124220, PRO1567, ZG16B

Gene Symbol

ZG16B

Additional PAUF/ZG16B Products

Product Documents for PAUF/ZG16B Antibody - BSA Free

Certificate of Analysis

To download a Certificate of Analysis, please enter a lot number in the search box below.

Product Specific Notices for PAUF/ZG16B Antibody - BSA Free

This product is for research use only and is not approved for use in humans or in clinical diagnosis. Primary Antibodies are guaranteed for 1 year from date of receipt.

Loading...
Loading...
Loading...
Loading...