PARS2 Antibody - BSA Free
Novus Biologicals, part of Bio-Techne | Catalog # NBP2-33912
Key Product Details
Species Reactivity
Human
Applications
Immunohistochemistry, Immunohistochemistry-Paraffin, Western Blot
Label
Unconjugated
Antibody Source
Polyclonal Rabbit IgG
Format
BSA Free
Concentration
Concentrations vary lot to lot. See vial label for concentration. If unlisted please contact technical services.
Product Specifications
Immunogen
This antibody was developed against a recombinant protein corresponding to amino acids: YGLGVTRILAAAIEVLSTEDCVRWPSLLAPYQACLIPPKKGSKEQAASELIGQLYDHITEAVPQLHGEVLLDDRTHLTIGNRLKDANKFGYP
Reactivity Notes
Immunogen displays the following percentage of sequence identity for non-tested species: Mouse (85%), Rat (85%)
Clonality
Polyclonal
Host
Rabbit
Isotype
IgG
Description
Novus Biologicals Rabbit PARS2 Antibody - BSA Free (NBP2-33912) is a polyclonal antibody validated for use in IHC and WB. All Novus Biologicals antibodies are covered by our 100% guarantee.
Scientific Data Images for PARS2 Antibody - BSA Free
Western Blot: PARS2 Antibody [NBP2-33912]
Western Blot: PARS2 Antibody [NBP2-33912] - Lane 1: Marker [kDa] 230, 130, 95, 72, 56, 36, 28, 17, 11Lane 2: Human cell line RT-4
Lane 3: Human cell line U-251MG sp
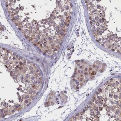
Immunohistochemistry-Paraffin: PARS2 Antibody [NBP2-33912]
Immunohistochemistry-Paraffin: PARS2 Antibody [NBP2-33912] - Staining of human testis shows cytoplasmic positivity in cells in seminiferous ducts and Leydig cells.Applications for PARS2 Antibody - BSA Free
Application
Recommended Usage
Immunohistochemistry
1:500 - 1:1000
Immunohistochemistry-Paraffin
1:500 - 1:1000
Western Blot
0.04-0.4 ug/ml
Application Notes
For IHC-Paraffin, HIER pH 6 retrieval is recommended.
Formulation, Preparation, and Storage
Purification
Affinity purified
Formulation
PBS (pH 7.2) and 40% Glycerol
Format
BSA Free
Preservative
0.02% Sodium Azide
Concentration
Concentrations vary lot to lot. See vial label for concentration. If unlisted please contact technical services.
Shipping
The product is shipped with polar packs. Upon receipt, store it immediately at the temperature recommended below.
Stability & Storage
Store at 4C short term. Aliquot and store at -20C long term. Avoid freeze-thaw cycles.
Background: PARS2
Alternate Names
DKFZp727A071, EC 6.1.1.15, MGC14416, MGC19467, MT-PRORS, probable prolyl-tRNA synthetase, mitochondrial, proline tRNA ligase 2, mitochondrial (putative), Proline--tRNA ligase, prolyl-tRNA synthetase (mitochondrial)(putative), prolyl-tRNA synthetase 2, mitochondrial (putative), prolyl-tRNA synthetase, mitochondrial (putative), proRS
Gene Symbol
PARS2
UniProt
Additional PARS2 Products
Product Documents for PARS2 Antibody - BSA Free
Product Specific Notices for PARS2 Antibody - BSA Free
This product is for research use only and is not approved for use in humans or in clinical diagnosis. Primary Antibodies are guaranteed for 1 year from date of receipt.
Loading...
Loading...
Loading...
Loading...