Skip to main content

PARP14 Antibody - BSA Free

Novus Biologicals, part of Bio-Techne | Catalog # NBP3-13051

Novus Biologicals, part of Bio-Techne
Catalog #
Availability
Size / Price
Qty
Loading...
NBP3-13051

Key Product Details

Species Reactivity

Human

Applications

Immunohistochemistry, Immunohistochemistry-Paraffin, Western Blot, Immunocytochemistry/ Immunofluorescence, Immunoprecipitation

Label

Unconjugated

Antibody Source

Polyclonal Rabbit IgG

Format

BSA Free

Concentration

Concentrations vary lot to lot. See vial label for concentration. If unlisted please contact technical services.

Product Specifications

Immunogen

Recombinant protein encompassing a sequence within the C-terminus region of human PARP14. The exact sequence is proprietary.

Clonality

Polyclonal

Host

Rabbit

Isotype

IgG

Theoretical MW

203 kDa.
Disclaimer note: The observed molecular weight of the protein may vary from the listed predicted molecular weight due to post translational modifications, post translation cleavages, relative charges, and other experimental factors.

Description

Centrifuge briefly prior to opening.

Scientific Data Images for PARP14 Antibody - BSA Free

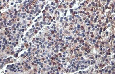
Immunohistochemistry-Paraffin: PARP14 Antibody [NBP3-13051]

Immunohistochemistry-Paraffin: PARP14 Antibody [NBP3-13051]

Immunohistochemistry-Paraffin: PARP14 Antibody [NBP3-13051] - PARP14 antibody detects PARP14 protein at cell membrane and cytoplasm by immunohistochemical analysis. Sample: Paraffin-embedded human spleen. PARP14 stained by PARP14 antibody (NBP3-13051) diluted at 1:500. Antigen Retrieval: Citrate buffer, pH 6.0, 15 min
Immunohistochemistry-Paraffin: PARP14 Antibody [NBP3-13051]

Immunohistochemistry-Paraffin: PARP14 Antibody [NBP3-13051]

Immunohistochemistry-Paraffin: PARP14 Antibody [NBP3-13051] - PARP14 antibody detects PARP14 protein at cell membrane and cytoplasm by immunohistochemical analysis. Sample: Paraffin-embedded human spleen. PARP14 stained by PARP14 antibody (NBP3-13051) diluted at 1:500. Antigen Retrieval: Citrate buffer, pH 6.0, 15 min
Immunoprecipitation: PARP14 Antibody [NBP3-13051]

Immunoprecipitation: PARP14 Antibody [NBP3-13051]

Immunoprecipitation: PARP14 Antibody [NBP3-13051] - Immunoprecipitation of PARP14 protein from SK-N-SH whole cell extracts using 5 ug of PARP14 antibody (NBP3-13051). Western blot analysis was performed using PARP14 antibody (NBP3-13051). EasyBlot anti-Rabbit IgG was used as a secondary reagent.

Applications for PARP14 Antibody - BSA Free

Application
Recommended Usage

Immunocytochemistry/ Immunofluorescence

Assay dependent

Immunohistochemistry

Assay dependent

Immunohistochemistry-Paraffin

Assay dependent

Immunoprecipitation

1:100-1:500

Western Blot

1:500-1:3000

Formulation, Preparation, and Storage

Purification

Antigen Affinity-purified

Formulation

PBS, 20% Glycerol

Format

BSA Free

Preservative

0.025% Proclin 300

Concentration

Concentrations vary lot to lot. See vial label for concentration. If unlisted please contact technical services.

Shipping

The product is shipped with polar packs. Upon receipt, store it immediately at the temperature recommended below.

Stability & Storage

Store at 4C short term. Aliquot and store at -20C long term. Avoid freeze-thaw cycles.

Background: PARP14

Long Name

Protein mono-ADP-ribosyltransferase PARP14

Alternate Names

ARTD8, BAL2, KIAA1268, PARP-14

Gene Symbol

PARP14

Additional PARP14 Products

Product Documents for PARP14 Antibody - BSA Free

Certificate of Analysis

To download a Certificate of Analysis, please enter a lot number in the search box below.

Product Specific Notices for PARP14 Antibody - BSA Free

This product is for research use only and is not approved for use in humans or in clinical diagnosis. Primary Antibodies are guaranteed for 1 year from date of receipt.

Loading...
Loading...
Loading...
Loading...