Skip to main content

PARP14 Antibody (HL1178) - Azide and BSA Free

Novus Biologicals, part of Bio-Techne | Catalog # NBP3-25591

Recombinant Monoclonal Antibody
Novus Biologicals, part of Bio-Techne
Catalog #
Availability
Size / Price
Qty
Loading...
NBP3-25591

Key Product Details

Validated by

Orthogonal Validation

Species Reactivity

Human, Mouse, Rat

Applications

Immunohistochemistry, Immunohistochemistry-Paraffin, Western Blot

Label

Unconjugated

Antibody Source

Recombinant Monoclonal Rabbit IgG Clone # HL1178 expressed in HEK293

Format

Azide and BSA Free

Concentration

Concentrations vary lot to lot. See vial label for concentration. If unlisted please contact technical services.

Product Specifications

Immunogen

Recombinant protein encompassing a sequence within the C-terminus region of human PARP14. The exact sequence is proprietary.

Clonality

Monoclonal

Host

Rabbit

Isotype

IgG

Theoretical MW

203 kDa.
Disclaimer note: The observed molecular weight of the protein may vary from the listed predicted molecular weight due to post translational modifications, post translation cleavages, relative charges, and other experimental factors.

Description

Novus Biologicals Rabbit PARP14 Antibody (HL1178) - Azide and BSA Free (NBP3-25591) is a recombinant monoclonal antibody validated for use in IHC and WB. All Novus Biologicals antibodies are covered by our 100% guarantee.

Scientific Data Images for PARP14 Antibody (HL1178) - Azide and BSA Free

PARP14 Antibody (HL1178) - Azide and BSA Free

Immunohistochemistry-Paraffin: PARP14 Antibody (HL1178) - Azide and BSA Free [NBP3-25591] -

Immunohistochemistry-Paraffin: PARP14 Antibody (HL1178) - Azide and BSA Free [NBP3-25591] - PARP14 antibody [HL1178] detects PARP14 protein by immunohistochemical analysis. Sample: Paraffin-embedded rat tissue. PARP14 stained by PARP14 antibody [HL1178] (NBP3-25591) diluted at 1:100. Antigen Retrieval: Citrate buffer, pH 6.0, 15 min
PARP14 Antibody (HL1178) - Azide and BSA Free

Immunohistochemistry-Paraffin: PARP14 Antibody (HL1178) - Azide and BSA Free [NBP3-25591] -

Immunohistochemistry-Paraffin: PARP14 Antibody (HL1178) - Azide and BSA Free [NBP3-25591] - PARP14 antibody [HL1178] detects PARP14 protein by immunohistochemical analysis. Sample: Paraffin-embedded mouse tissue. PARP14 stained by PARP14 antibody [HL1178] (NBP3-25591) diluted at 1:100. Antigen Retrieval: Citrate buffer, pH 6.0, 15 min
PARP14 Antibody (HL1178) - Azide and BSA Free

Immunohistochemistry-Paraffin: PARP14 Antibody (HL1178) - Azide and BSA Free [NBP3-25591] -

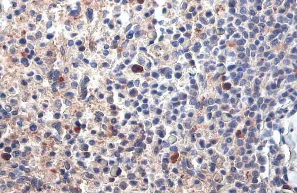
Immunohistochemistry-Paraffin: PARP14 Antibody (HL1178) - Azide and BSA Free [NBP3-25591] - PARP14 antibody [HL1178] detects PARP14 protein at cytoplasm by immunohistochemical analysis. Sample: Paraffin-embedded human spleen. PARP14 stained by PARP14 antibody [HL1178] (NBP3-25591) diluted at 1:100. Antigen Retrieval: Citrate buffer, pH 6.0, 15 min

Applications for PARP14 Antibody (HL1178) - Azide and BSA Free

Application
Recommended Usage

Immunohistochemistry-Paraffin

1:100-1:1000

Western Blot

Assay dependent

Formulation, Preparation, and Storage

Purification

Protein A purified

Formulation

PBS

Format

Azide and BSA Free

Preservative

No Preservative

Concentration

Concentrations vary lot to lot. See vial label for concentration. If unlisted please contact technical services.

Shipping

The product is shipped with polar packs. Upon receipt, store it immediately at the temperature recommended below.

Stability & Storage

Store at 4C short term. Aliquot and store at -20C long term. Avoid freeze-thaw cycles.

Background: PARP14

Long Name

Protein mono-ADP-ribosyltransferase PARP14

Alternate Names

ARTD8, BAL2, KIAA1268, PARP-14

Gene Symbol

PARP14

Additional PARP14 Products

Product Documents for PARP14 Antibody (HL1178) - Azide and BSA Free

Certificate of Analysis

To download a Certificate of Analysis, please enter a lot number in the search box below.

Product Specific Notices for PARP14 Antibody (HL1178) - Azide and BSA Free

This product is for research use only and is not approved for use in humans or in clinical diagnosis. Primary Antibodies are guaranteed for 1 year from date of receipt.

Loading...
Loading...
Loading...
Loading...