Skip to main content

PARD6B Antibody - BSA Free

Novus Biologicals, part of Bio-Techne | Catalog # NBP1-87337

Novus Biologicals, part of Bio-Techne
Catalog #
Availability
Size / Price
Qty
Loading...
NBP1-87337-25ul
NBP1-87337

Key Product Details

Species Reactivity

Validated:

Human

Cited:

Human, Mouse

Predicted:

Rat (96%). Backed by our 100% Guarantee.

Applications

Validated:

Immunohistochemistry, Immunohistochemistry-Paraffin, Immunocytochemistry/ Immunofluorescence

Cited:

Immunocytochemistry/ Immunofluorescence, Chemotaxis, IF/IHC

Label

Unconjugated

Antibody Source

Polyclonal Rabbit IgG

Format

BSA Free

Concentration

Concentrations vary lot to lot. See vial label for concentration. If unlisted please contact technical services.

Product Specifications

Immunogen

This antibody was developed against Recombinant Protein corresponding to amino acids: NYHKAVSTANPLLRIFIQKKEEADYSAFGTDTLIKKKNVLTNVLRPDNHRKKPHIVISMPQDFRPVSSIIDVDILPETHRRV

Clonality

Polyclonal

Host

Rabbit

Isotype

IgG

Scientific Data Images for PARD6B Antibody - BSA Free

Immunocytochemistry/ Immunofluorescence: PARD6B Antibody [NBP1-87337]

Immunocytochemistry/ Immunofluorescence: PARD6B Antibody [NBP1-87337]

Immunocytochemistry/Immunofluorescence: PARD6B Antibody [NBP1-87337] - Staining of human cell line U-2 OS shows localization to cytosol. Antibody staining is shown in green. Antibody staining is shown in green.
Immunohistochemistry-Paraffin: PARD6B Antibody [NBP1-87337]

Immunohistochemistry-Paraffin: PARD6B Antibody [NBP1-87337]

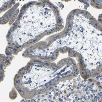
Immunohistochemistry-Paraffin: PARD6B Antibody [NBP1-87337] - Staining of human placenta shows weak cytoplasmic positivity in trophoblastic cells.
Immunohistochemistry-Paraffin: PARD6B Antibody [NBP1-87337]

Immunohistochemistry-Paraffin: PARD6B Antibody [NBP1-87337]

Immunohistochemistry-Paraffin: PARD6B Antibody [NBP1-87337] - Staining of human pancreas shows very weak positivity in exocrine glandular cells.

Applications for PARD6B Antibody - BSA Free

Application
Recommended Usage

Immunocytochemistry/ Immunofluorescence

0.25-2 ug/ml

Immunohistochemistry

1:20 - 1:50

Immunohistochemistry-Paraffin

1:20 - 1:50
Application Notes
For IHC-Paraffin, HIER pH 6 retrieval is recommended. ICC/IF Fixation Permeabilization: Use PFA/Triton X-100.

Formulation, Preparation, and Storage

Purification

Affinity purified

Formulation

PBS (pH 7.2) and 40% Glycerol

Format

BSA Free

Preservative

0.02% Sodium Azide

Concentration

Concentrations vary lot to lot. See vial label for concentration. If unlisted please contact technical services.

Shipping

The product is shipped with polar packs. Upon receipt, store it immediately at the temperature recommended below.

Stability & Storage

Store at 4C short term. Aliquot and store at -20C long term. Avoid freeze-thaw cycles.

Background: PARD6B

The PARD6B gene is a member of the PAR6 family and encodes a protein with a PSD95/Discs-large/ZO1 (PDZ) domain, an OPR domain and a semi-Cdc42/Rac interactive binding (CRIB) domain. This cytoplasmic protein is involved in asymmetrical cell division and cell pol

Alternate Names

par-6 (partitioning defective 6, C.elegans) homolog beta, PAR-6 beta, par-6 partitioning defective 6 homolog beta (C. elegans), PAR6B, PAR-6B, partitioning defective 6 homolog beta

Gene Symbol

PARD6B

Additional PARD6B Products

Product Documents for PARD6B Antibody - BSA Free

Certificate of Analysis

To download a Certificate of Analysis, please enter a lot number in the search box below.

Product Specific Notices for PARD6B Antibody - BSA Free

This product is for research use only and is not approved for use in humans or in clinical diagnosis. Primary Antibodies are guaranteed for 1 year from date of receipt.

Loading...
Loading...
Loading...
Loading...