Skip to main content

Pannexin-1 Antibody (7E8T3)

Novus Biologicals, part of Bio-Techne | Catalog # NBP3-16578

Recombinant Monoclonal Antibody
Novus Biologicals, part of Bio-Techne
Catalog #
Availability
Size / Price
Qty
Loading...
NBP3-16578-100ul
NBP3-16578-20ul

Key Product Details

Species Reactivity

Human, Mouse, Rat

Applications

Immunohistochemistry, Immunohistochemistry-Paraffin, Western Blot

Label

Unconjugated

Antibody Source

Recombinant Monoclonal Rabbit IgG Clone # 7E8T3 expressed in HEK293

Concentration

Please see the vial label for concentration. If unlisted please contact technical services.

Product Specifications

Immunogen

A synthetic peptide corresponding to a sequence within amino acids 327-426 of human Pannexin-1 (Q96RD7). DLSLYNLFLEENISEVKSYKCLKVLENIKSSGQGIDPMLLLTNLGMIKMDVVDGKTPMSAEMREEQGNQTAELQGMNIDSETKANNGEKNARQRLLDSSC

Clonality

Monoclonal

Host

Rabbit

Isotype

IgG

Description

Novus Biologicals Rabbit Pannexin-1 Antibody (7E8T3) (NBP3-16578) is a recombinant monoclonal antibody validated for use in IHC and WB. All Novus Biologicals antibodies are covered by our 100% guarantee.

Scientific Data Images for Pannexin-1 Antibody (7E8T3)

Western Blot: Pannexin-1 Antibody (7E8T3) [NBP3-16578]

Western Blot: Pannexin-1 Antibody (7E8T3) [NBP3-16578]

Western Blot: Pannexin-1 Antibody (7E8T3) [NBP3-16578] - Analysis of extracts of various cell lines, using Pannexin-1 Rabbit mAb (NBP3-16578) at 1:1000 dilution. Secondary antibody: HRP Goat Anti-Rabbit IgG (H+L) at 1:10000 dilution. Lysates/proteins: 25ug per lane. Blocking buffer: 3% nonfat dry milk in TBST. Detection: ECL Basic Kit. Exposure time: 1s.
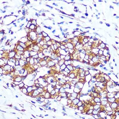
Immunohistochemistry-Paraffin: Pannexin-1 Antibody (7E8T3) [NBP3-16578]

Immunohistochemistry-Paraffin: Pannexin-1 Antibody (7E8T3) [NBP3-16578]

Immunohistochemistry-Paraffin: Pannexin-1 Antibody (7E8T3) [NBP3-16578] - Human esophageal cancer using Pannexin-1 Rabbit mAb (NBP3-16578) at dilution of 1:100 (40x lens).Perform microwave antigen retrieval with 10 mM PBS buffer pH 7.2 before commencing with IHC staining protocol.

Applications for Pannexin-1 Antibody (7E8T3)

Application
Recommended Usage

Immunohistochemistry

1:50 - 1:200

Western Blot

1:500 - 1:1000

Formulation, Preparation, and Storage

Purification

Affinity purified

Formulation

PBS (pH 7.3), 50% glycerol, 0.05% BSA

Preservative

0.02% Sodium Azide

Concentration

Please see the vial label for concentration. If unlisted please contact technical services.

Shipping

The product is shipped with polar packs. Upon receipt, store it immediately at the temperature recommended below.

Stability & Storage

Store at -20C. Avoid freeze-thaw cycles.

Background: Pannexin-1

The protein encoded by the Pannexin 1 gene belongs to the innexin family. Innexin family members are the structural components ofgap junctions. This protein and pannexin 2 are abundantly expressed in central nerve system (CNS) and are coexpressedin various neuronal populations. Studies in Xenopus oocytes suggest that this protein alone and in combination withpannexin 2 may form cell type-specific gap junctions with distinct properties. (provided by RefSeq)

Alternate Names

Innexin, MRS1, Pannexin1, PANX1, PX1

Gene Symbol

PANX1

Additional Pannexin-1 Products

Product Documents for Pannexin-1 Antibody (7E8T3)

Certificate of Analysis

To download a Certificate of Analysis, please enter a lot number in the search box below.

Product Specific Notices for Pannexin-1 Antibody (7E8T3)

This product is for research use only and is not approved for use in humans or in clinical diagnosis. Primary Antibodies are guaranteed for 1 year from date of receipt.

Loading...
Loading...
Loading...
Loading...