Skip to main content

Pancreatic Lipase Antibody (PNLIP/8916)

Novus Biologicals, part of Bio-Techne | Catalog # NBP3-26712

Novus Biologicals, part of Bio-Techne
Catalog #
Availability
Size / Price
Qty
Loading...
NBP3-26712-100ug
NBP3-26712-20ug

Key Product Details

Species Reactivity

Human

Applications

ELISA, Immunohistochemistry-Paraffin

Label

Unconjugated

Antibody Source

Monoclonal Mouse IgG1 kappa Clone # PNLIP/8916

Concentration

0.2 mg/ml

Product Specifications

Immunogen

Recombinant fragment (around aa 1-200) of human Pancreatic Lipase protein (exact sequence is proprietary)

Localization

Secreted

Clonality

Monoclonal

Host

Mouse

Isotype

IgG1 kappa

Description

Antibody with azide - store at 2 to 8C. Antibody without azide - store at -20 to -80C. Non-hazardous. No MSDS required.

Scientific Data Images for Pancreatic Lipase Antibody (PNLIP/8916)

Pancreatic Lipase Antibody (PNLIP/8916)

Western Blot: Pancreatic Lipase Antibody (PNLIP/8916) [NBP3-26712 ] -

Western Blot Analysis of Human Pancreas lysate using PNLIP Mouse Monoclonal Antibody (PNLIP/8916).
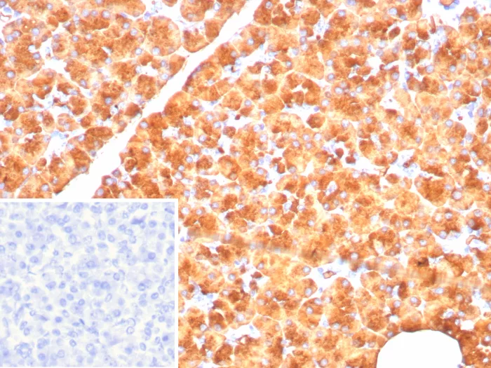
Pancreatic Lipase Antibody (PNLIP/8916)

Immunohistochemistry-Paraffin: Pancreatic Lipase Antibody (PNLIP/8916) [NBP3-26712 ] -

Formalin-fixed, paraffin-embedded human pancreas stained with Pancreatic Lipase Antibody (PNLIP/8916). Inset: PBS instead of primary antibody; secondary only negative control.

Applications for Pancreatic Lipase Antibody (PNLIP/8916)

Application
Recommended Usage

Immunohistochemistry-Paraffin

1-2ug/ml for 30 minutes at RT
Application Notes
ELISA: For coating, order antibody without BSA. Immunohistochemistry-Paraffin 1-2ug/ml for 30 minutes at RT. Optimal dilution for a specific application should be determined.. Staining of formalin-fixed tissues requires heating tissue sections in 10mM Tris with 1mM EDTA, pH 9.0, for 45 min at 95C followed by cooling at RT for 20 minutes

Formulation, Preparation, and Storage

Purification

Protein A or G purified

Formulation

10mM PBS with 0.05% BSA

Preservative

0.05% Sodium Azide

Concentration

0.2 mg/ml

Shipping

The product is shipped with polar packs. Upon receipt, store it immediately at the temperature recommended below.

Stability & Storage

Store at 4C.

Background: Pancreatic Lipase

Pancreatic Lipase is a member of the lipase gene family. It encodes a carboxyl esterase that hydrolyzes insoluble, emulsified triglycerides, and is essential for the efficient digestion of dietary fats. This gene is expressed specifically in the pancreas.

Long Name

Pancreatic triacylglycerol lipase

Alternate Names

PNLIP, PTL

Gene Symbol

PNLIP

Additional Pancreatic Lipase Products

Product Documents for Pancreatic Lipase Antibody (PNLIP/8916)

Certificate of Analysis

To download a Certificate of Analysis, please enter a lot number in the search box below.

Product Specific Notices for Pancreatic Lipase Antibody (PNLIP/8916)

This product is for research use only and is not approved for use in humans or in clinical diagnosis. Primary Antibodies are guaranteed for 1 year from date of receipt.

Loading...
Loading...
Loading...
Loading...