Skip to main content

PALS1/MPP5 Antibody - BSA Free

Novus Biologicals, part of Bio-Techne | Catalog # NBP1-83716

Novus Biologicals, part of Bio-Techne
Catalog #
Availability
Size / Price
Qty
Loading...
NBP1-83716-25ul
NBP1-83716

Key Product Details

Validated by

Independent Antibodies

Species Reactivity

Validated:

Human

Predicted:

Mouse (93%), Rat (95%). Backed by our 100% Guarantee.

Applications

Immunohistochemistry, Immunohistochemistry-Paraffin

Label

Unconjugated

Antibody Source

Polyclonal Rabbit IgG

Format

BSA Free

Concentration

Concentrations vary lot to lot. See vial label for concentration. If unlisted please contact technical services.

Product Specifications

Immunogen

This antibody was developed against Recombinant Protein corresponding to amino acids: EDMRRRREEEGKKQELDLNSSMRLKKLAQIPPKTGIDNPMFDTEEGIVLESPHYAVKILEIEDLFSSLKHIQHTLVDSQSQEDISLLLQLVQNKDFQNAFKIHNAITVHMNKASPPFPLISNAQDLAQEVQTVLKPVHHKEGQELTAL

Clonality

Polyclonal

Host

Rabbit

Isotype

IgG

Description

Novus Biologicals Rabbit PALS1/MPP5 Antibody - BSA Free (NBP1-83716) is a polyclonal antibody validated for use in IHC. Anti-PALS1/MPP5 Antibody: Cited in 1 publication. All Novus Biologicals antibodies are covered by our 100% guarantee.

Scientific Data Images for PALS1/MPP5 Antibody - BSA Free

Immunohistochemistry-Paraffin: PALS1/MPP5 Antibody [NBP1-83716]

Immunohistochemistry-Paraffin: PALS1/MPP5 Antibody [NBP1-83716]

Immunohistochemistry-Paraffin: PALS1/MPP5 Antibody [NBP1-83716] - Staining of human lymph node.
Immunohistochemistry-Paraffin: PALS1/MPP5 Antibody [NBP1-83716]

Immunohistochemistry-Paraffin: PALS1/MPP5 Antibody [NBP1-83716]

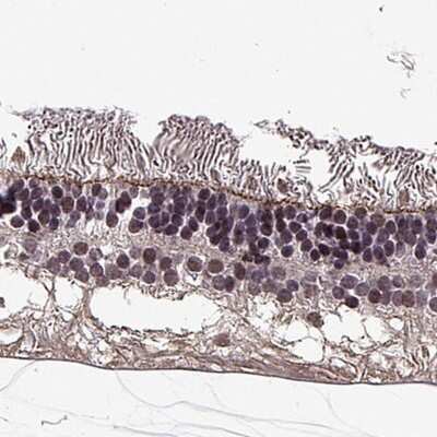
Immunohistochemistry-Paraffin: PALS1/MPP5 Antibody [NBP1-83716] - Staining of human retina shows positivity in outer limiting membrane.
Immunohistochemistry-Paraffin: PALS1/MPP5 Antibody [NBP1-83716]

Immunohistochemistry-Paraffin: PALS1/MPP5 Antibody [NBP1-83716]

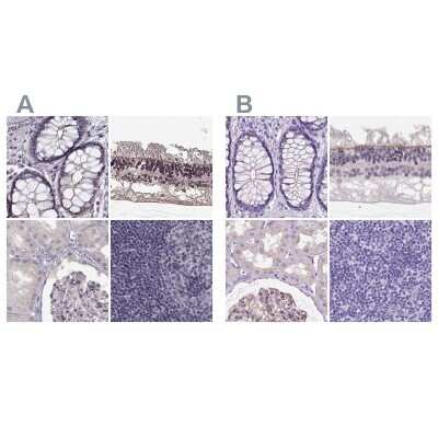
Immunohistochemistry-Paraffin: PALS1/MPP5 Antibody [NBP1-83716] - Staining of human colon, eye, retina, kidney and lymph node using Anti-MPP5 antibody NBP1-83716 (A) shows similar protein distribution across tissues to independent antibody NBP2-68812 (B).

Applications for PALS1/MPP5 Antibody - BSA Free

Application
Recommended Usage

Immunohistochemistry

1:200 - 1:500

Immunohistochemistry-Paraffin

1:200 - 1:500
Application Notes
For IHC-Paraffin, HIER pH 6 retrieval is recommended.

Formulation, Preparation, and Storage

Purification

Immunogen affinity purified

Formulation

PBS (pH 7.2) and 40% Glycerol

Format

BSA Free

Preservative

0.02% Sodium Azide

Concentration

Concentrations vary lot to lot. See vial label for concentration. If unlisted please contact technical services.

Shipping

The product is shipped with polar packs. Upon receipt, store it immediately at the temperature recommended below.

Stability & Storage

Store at 4C short term. Aliquot and store at -20C long term. Avoid freeze-thaw cycles.

Background: PALS1/MPP5

Members of the peripheral membrane-associated guanylate kinase (MAGUK) family function in tumor suppression and receptor clustering by forming multiprotein complexes containing distinct sets of transmembrane, cytoskeletal, and cytoplasmic signaling proteins. All MAGUKs contain a PDZ-SH3-GUK core and are divided into 4 subfamilies, DLG-like (see DLG1; MIM 601014), ZO1-like (see TJP1; MIM 601009), p55-like (see MPP1; MIM 305360), and LIN2-like (see CASK; MIM 300172), based on their size and the presence of additional domains (Tseng et al., 2001). MPP5 is a member of the p55-like MAGUK subfamily.

Long Name

Protein Associated with Lin Seven 1

Alternate Names

MPP5, Stardust

Entrez Gene IDs

64398 (Human)

Gene Symbol

MPP5

UniProt

Additional PALS1/MPP5 Products

Product Documents for PALS1/MPP5 Antibody - BSA Free

Certificate of Analysis

To download a Certificate of Analysis, please enter a lot number in the search box below.

Product Specific Notices for PALS1/MPP5 Antibody - BSA Free

This product is for research use only and is not approved for use in humans or in clinical diagnosis. Primary Antibodies are guaranteed for 1 year from date of receipt.

Loading...
Loading...
Loading...
Loading...