Skip to main content

PABPC3 Antibody - BSA Free

Novus Biologicals, part of Bio-Techne | Catalog # NBP3-47234

Novus Biologicals, part of Bio-Techne
Catalog #
Availability
Size / Price
Qty
Loading...
NBP3-47234

Key Product Details

Species Reactivity

Human, Mouse, Rat

Applications

Immunohistochemistry, Western Blot, ELISA

Label

Unconjugated

Antibody Source

Polyclonal Rabbit IgG

Format

BSA Free

Concentration

Please see the vial label for concentration. If unlisted please contact technical services.

Product Specifications

Immunogen

poly(A) binding protein, cytoplasmic 3. (Uniprot# Q9H361)

Clonality

Polyclonal

Host

Rabbit

Isotype

IgG

Theoretical MW

70 kDa.
Disclaimer note: The observed molecular weight of the protein may vary from the listed predicted molecular weight due to post translational modifications, post translation cleavages, relative charges, and other experimental factors.

Description

Novus Biologicals Rabbit PABPC3 Antibody - BSA Free (NBP3-47234) is a polyclonal antibody validated for use in IHC, WB and ELISA. All Novus Biologicals antibodies are covered by our 100% guarantee.

Scientific Data Images for PABPC3 Antibody - BSA Free

PABPC3 Antibody - BSA Free

Western Blot: PABPC3 Antibody - BSA Free [NBP3-47234] -

Western Blot: PABPC3 Antibody - BSA Free [NBP3-47234] - Mouse testis tissue were subjected to SDS PAGE followed by western blot with (PABPC3 antibody) at dilution of 1:300
PABPC3 Antibody - BSA Free

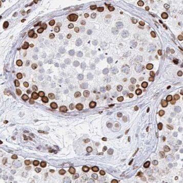
Immunohistochemistry: PABPC3 Antibody - BSA Free [NBP3-47234] -

Immunohistochemistry: PABPC3 Antibody - BSA Free [NBP3-47234] - Immunohistochemistry of paraffin-embedded human testis using (PABPC3 antibody) at dilution of 1:50

Applications for PABPC3 Antibody - BSA Free

Application
Recommended Usage

Immunohistochemistry

1:20-1:200

Western Blot

1:500-1:2000

Formulation, Preparation, and Storage

Purification

Immunogen affinity purified

Formulation

PBS, 50% Glycerol, pH (7.3)

Format

BSA Free

Preservative

0.02% Sodium Azide

Concentration

Please see the vial label for concentration. If unlisted please contact technical services.

Shipping

The product is shipped with polar packs. Upon receipt, store it immediately at the temperature recommended below.

Stability & Storage

Store at -20C. Avoid freeze-thaw cycles.

Background: PABPC3

Messenger RNA stability and translation initiation are extensively under the control of poly(A)-binding proteins (PABP). See PABPC1 (MIM 604679) for background information.[supplied by OMIM]

Alternate Names

PABP-3, PABP3polyadenylate-binding protein 3, PABPL3testis PABP, poly(A) binding protein, cytoplasmic 3, Poly(A)-binding protein 3, poly(A)-binding protein, cytoplasmic 3, poly(A)-binding protein-like 3, Testis-specific poly(A)-binding protein, testis-specific poly(A)-binding protein (PABP), testis-specific poly(A)-binding protein 3, tPABP

Gene Symbol

PABPC3

Additional PABPC3 Products

Product Documents for PABPC3 Antibody - BSA Free

Certificate of Analysis

To download a Certificate of Analysis, please enter a lot number in the search box below.

Product Specific Notices for PABPC3 Antibody - BSA Free

This product is for research use only and is not approved for use in humans or in clinical diagnosis. Primary Antibodies are guaranteed for 1 year from date of receipt.

Loading...
Loading...
Loading...
Loading...