Skip to main content

PA2G4/EBP1 Antibody

Novus Biologicals, part of Bio-Techne | Catalog # NBP1-71840

Novus Biologicals, part of Bio-Techne
Catalog #
Availability
Size / Price
Qty
Loading...
NBP1-71840

Key Product Details

Validated by

Independent Antibodies, Biological Validation

Species Reactivity

Human, Mouse

Applications

Immunohistochemistry, Immunohistochemistry-Paraffin, Western Blot, Immunoprecipitation

Label

Unconjugated

Antibody Source

Polyclonal Rabbit IgG

Concentration

0.2 mg/ml

Product Specifications

Immunogen

The immunogen for this product maps to a region between residue 345 and 394 of human ErbB-3 Binding Protein 1 using the numbering given in entry NP_006182.2 (GeneID 5036).

Clonality

Polyclonal

Host

Rabbit

Isotype

IgG

Scientific Data Images for PA2G4/EBP1 Antibody

Western Blot: PA2G4/EBP1 Antibody [NBP1-71840]

Western Blot: PA2G4/EBP1 Antibody [NBP1-71840]

Western Blot: PA2G4/EBP1 Antibody [NBP1-71840] - Whole cell lysate from HeLa (5, 15 and 50 mcg for WB; 1 mg for IP, 20% of IP loaded), 293T (T, 50 mcg) and mouse NIH3T3 (M; 50 mcg) cells. Affinity purified rabbit anti-EBP1 antibody used for WB at 0.04 mcg/ml (A) and 1 mcg/ml (B) and used for IP at 6 mcg/mg lysate. EBP1 was also immunoprecipitated by rabbit anti-EBP1 antibody NBP1-71839 which recognizes an upstream epitope.
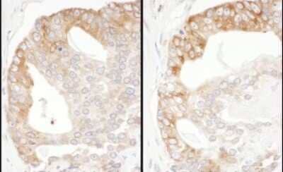
Immunohistochemistry-Paraffin: PA2G4/EBP1 Antibody [NBP1-71840]

Immunohistochemistry-Paraffin: PA2G4/EBP1 Antibody [NBP1-71840]

Immunohistochemistry-Paraffin: PA2G4/EBP1 Antibody [NBP1-71840] - Human prostate carcinoma. Antibody: Affinity purified rabbit anti- EBP1 used at a dilution of 1:200 (1ug/ml). Detection: DAB. Counterstain: hematoxylin (blue).

Applications for PA2G4/EBP1 Antibody

Application
Recommended Usage

Immunohistochemistry

1:100 - 1:500

Immunohistochemistry-Paraffin

1:100 - 1:500

Immunoprecipitation

2-5 mcg/mg

Western Blot

1:2000-1:10000
Application Notes
Epitope retrieval with citrate buffer pH6.0 is recommended for FFPE tissue sections.

Formulation, Preparation, and Storage

Purification

Immunogen affinity purified

Formulation

TBS and 0.1% BSA

Preservative

0.09% Sodium Azide

Concentration

0.2 mg/ml

Shipping

The product is shipped with polar packs. Upon receipt, store it immediately at the temperature recommended below.

Stability & Storage

Store at 4C. Do not freeze.

Background: PA2G4

This gene encodes an RNA-binding protein that is involved in growth regulation. This protein is present in pre-ribosomal ribonucleoprotein complexes and may be involved in ribosome assembly and the regulation of intermediate and late steps of rRNA processing. This protein can interact with the cytoplasmic domain of the ErbB3 receptor and may contribute to transducing growth regulatory signals. This protein is also a transcriptional co-repressor of androgen receptor-regulated genes and other cell cycle regulatory genes through its interactions with histone deacetylases. This protein has been implicated in growth inhibition and the induction of differentiation of human cancer cells. Six pseudogenes, located on chromosomes 3, 6, 9, 18, 20 and X, have been identified.

Long Name

Proliferation-Associated 2G4

Alternate Names

EBP1, HG4-1

Gene Symbol

PA2G4

Additional PA2G4 Products

Product Documents for PA2G4/EBP1 Antibody

Certificate of Analysis

To download a Certificate of Analysis, please enter a lot number in the search box below.

Product Specific Notices for PA2G4/EBP1 Antibody

This product is for research use only and is not approved for use in humans or in clinical diagnosis. Primary Antibodies are guaranteed for 1 year from date of receipt.

Loading...
Loading...
Loading...
Loading...