Skip to main content

PA28 Activator alpha Subunit/PSME1 Antibody

Novus Biologicals, part of Bio-Techne | Catalog # NBP2-19992

Novus Biologicals, part of Bio-Techne
Catalog #
Availability
Size / Price
Qty
Loading...
NBP2-19992

Key Product Details

Species Reactivity

Validated:

Human

Predicted:

Bovine (96%), Monkey (99%), Mouse (95%), Porcine (98%), Rat (96%). Backed by our 100% Guarantee.

Applications

Western Blot

Label

Unconjugated

Antibody Source

Polyclonal Rabbit IgG

Concentration

Concentrations vary lot to lot. See vial label for concentration. If unlisted please contact technical services.

Product Specifications

Immunogen

Recombinant protein encompassing a sequence within the center region of human PA28 Activator alpha Subunit/PSME1. The exact sequence is proprietary.

Reactivity Notes

Rhesus Monkey (99%).

Clonality

Polyclonal

Host

Rabbit

Isotype

IgG

Theoretical MW

29 kDa.
Disclaimer note: The observed molecular weight of the protein may vary from the listed predicted molecular weight due to post translational modifications, post translation cleavages, relative charges, and other experimental factors.

Description

Novus Biologicals Rabbit PA28 Activator alpha Subunit/PSME1 Antibody (NBP2-19992) is a polyclonal antibody validated for use in WB. All Novus Biologicals antibodies are covered by our 100% guarantee.

Scientific Data Images for PA28 Activator alpha Subunit/PSME1 Antibody

PA28 Activator alpha Subunit/PSME1 Antibody

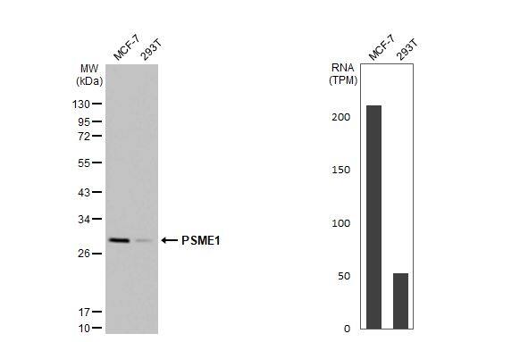
Western Blot: PA28 Activator alpha Subunit/PSME1 Antibody [NBP2-19992] -

Various whole cell extracts (30 ug) were separated by 12% SDS-PAGE, and the membrane was blotted with PSME1 antibody [N1C3] (NBP2-19992) diluted at 1:5000. The HRP-conjugated anti-rabbit IgG antibody was used to detect the primary antibody. Corresponding RNA expression data for the same cell lines are based on Human Protein Atlas program.

Applications for PA28 Activator alpha Subunit/PSME1 Antibody

Application
Recommended Usage

Western Blot

1:1000-1:10000

Formulation, Preparation, and Storage

Purification

Antigen Affinity-purified

Formulation

PBS, 1% BSA, 20% Glycerol

Preservative

0.01% Thimerosal

Concentration

Concentrations vary lot to lot. See vial label for concentration. If unlisted please contact technical services.

Shipping

The product is shipped with polar packs. Upon receipt, store it immediately at the temperature recommended below.

Stability & Storage

Aliquot and store at -20C or -80C. Avoid freeze-thaw cycles.

Background: PA28 Activator alpha Subunit

The 26S proteasome is a multicatalytic proteinase complex with a highly ordered structure composed of 2 complexes, a 20S core and a 19S regulator. The 20S core is composed of 4 rings of 28 non-identical subunits; 2 rings are composed of 7 alpha subunits and 2 rings are composed of 7 beta subunits. The 19S regulator is composed of a base, which contains 6 ATPase subunits and 2 non-ATPase subunits, and a lid, which contains up to 10 non-ATPase subunits. Proteasomes are distributed throughout eukaryotic cells at a high concentration and cleave peptides in an ATP/ubiquitin-dependent process in a non-lysosomal pathway. An essential function of a modified proteasome, the immunoproteasome, is the processing of class I MHC peptides. The immunoproteasome contains an alternate regulator, referred to as the 11S regulator or PA28, that replaces the 19S regulator. Three subunits (alpha, beta and gamma) of the 11S regulator have been identified. This gene encodes the alpha subunit of the 11S regulator, one of the two 11S subunits that is induced by gamma-interferon. Three alpha and three beta subunits combine to form a heterohexameric ring. Two transcripts encoding different isoforms have been identified. [provided by RefSeq]

Long Name

Proteasome (Prosome, Macropain) Activator Subunit 1

Alternate Names

11S Regulator Complex Subunit alpha, IFI5111, PSME1, REG alpha

Gene Symbol

PSME1

UniProt

Additional PA28 Activator alpha Subunit Products

Product Documents for PA28 Activator alpha Subunit/PSME1 Antibody

Certificate of Analysis

To download a Certificate of Analysis, please enter a lot number in the search box below.

Product Specific Notices for PA28 Activator alpha Subunit/PSME1 Antibody

This product is for research use only and is not approved for use in humans or in clinical diagnosis. Primary Antibodies are guaranteed for 1 year from date of receipt.

Loading...
Loading...
Loading...
Loading...

⚠ WARNING: This product can expose you to chemicals including mercury, which is known to the State of California to cause reproductive toxicity with developmental effects.  For more information go to www.P65Warnings.ca.gov.