Skip to main content

PA28 Activator alpha Subunit/PSME1 Antibody (29D5) - BSA Free

Novus Biologicals, part of Bio-Techne | Catalog # NBP3-26364

Recombinant monoclonal antibody expressed in HEK293F cells
Novus Biologicals, part of Bio-Techne
Catalog #
Availability
Size / Price
Qty
Loading...
NBP3-26364-100ul
NBP3-26364-50ul

Key Product Details

Species Reactivity

Human

Applications

ELISA, Flow Cytometry, Immunocytochemistry/ Immunofluorescence, Immunohistochemistry, Western Blot

Label

Unconjugated

Antibody Source

Recombinant Monoclonal Rabbit IgG Clone # 29D5 expressed in HEK293

Format

BSA Free

Concentration

Please see the vial label for concentration. If unlisted please contact technical services.

Product Specifications

Immunogen

A synthesized peptide derived from Human PA28 Activator alpha Subunit/PSME1 [UniProt Q06323]

Clonality

Monoclonal

Host

Rabbit

Isotype

IgG

Description

Novus Biologicals Rabbit PA28 Activator alpha Subunit/PSME1 Antibody (29D5) - BSA Free (NBP3-26364) is a recombinant monoclonal antibody validated for use in IHC, WB, ELISA, Flow and ICC/IF. All Novus Biologicals antibodies are covered by our 100% guarantee.

Scientific Data Images for PA28 Activator alpha Subunit/PSME1 Antibody (29D5) - BSA Free

PA28 Activator alpha Subunit/PSME1 Antibody (29D5)

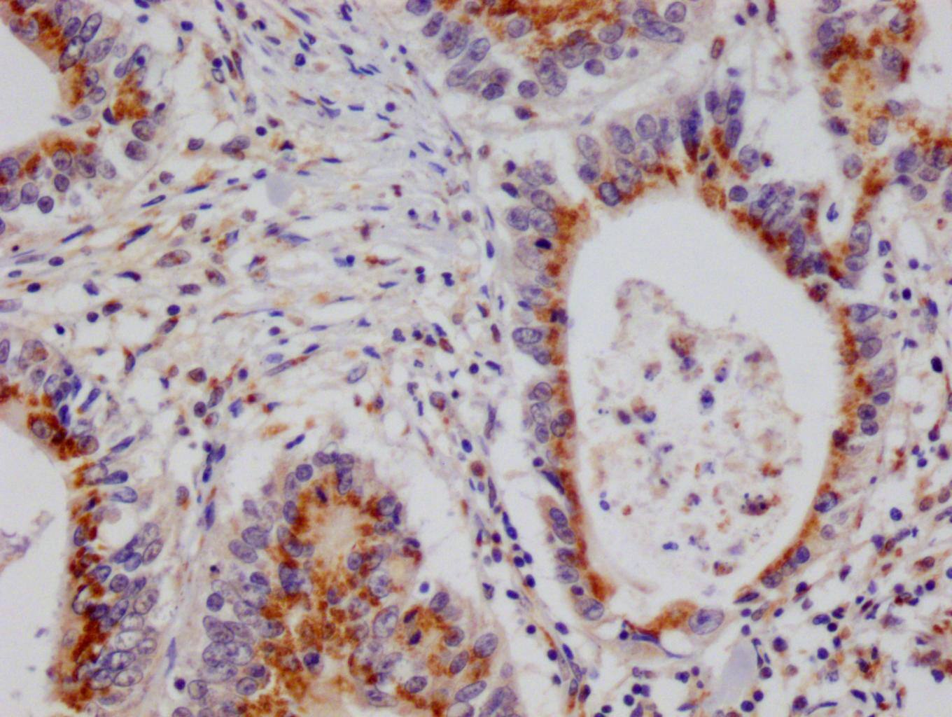
Immunohistochemistry: PA28 Activator alpha Subunit/PSME1 Antibody (29D5) [NBP3-26364] -

Immunohistochemistry: PA28 Activator alpha Subunit/PSME1 Antibody (29D5) [NBP3-26364] - Image of PA28 Activator alpha Subunit/PSME1 Antibody (29D5) diluted at 1:100 and staining in paraffin-embedded human small intestine tissue performed. After dewaxing and hydration, antigen retrieval was mediated by high pressure in a citrate buffer (pH 6.0). Section was blocked with 10% normal goat serum 30min at RT. Then primary antibody (1% BSA) was incubated at 4C overnight. The primary is detected by a Goat anti-rabbit polymer IgG labeled by HRP and visualized using 0.05% DAB.
PA28 Activator alpha Subunit/PSME1 Antibody (29D5)

Immunohistochemistry: PA28 Activator alpha Subunit/PSME1 Antibody (29D5) [NBP3-26364] -

Immunohistochemistry: PA28 Activator alpha Subunit/PSME1 Antibody (29D5) [NBP3-26364] - Image of PA28 Activator alpha Subunit/PSME1 Antibody (29D5) diluted at 1:100 and staining in paraffin-embedded human small intestine tissue performed. After dewaxing and hydration, antigen retrieval was mediated by high pressure in a citrate buffer (pH 6.0). Section was blocked with 10% normal goat serum 30min at RT. Then primary antibody (1% BSA) was incubated at 4°C overnight. The primary is detected by a Goat anti-rabbit polymer IgG labeled by HRP and visualized using 0.05% DAB.
PA28 Activator alpha Subunit/PSME1 Antibody (29D5)

Western Blot: PA28 Activator alpha Subunit/PSME1 Antibody (29D5) [NBP3-26364] -

Western Blot: PA28 Activator alpha Subunit/PSME1 Antibody (29D5) [NBP3-26364] - Positive Western Blot detected in: Jurkat whole cell lysate, HepG2 whole cell lysate, MCF-7 whole cell lysate, A549 whole cell lysate, PC3 whole cell lysate, Hela whole cell lysate, Ntera-2 whole cell lysate, U251 whole cell lysate.
All lanes: PA28 Activator alpha Subunit/PSME1 Antibody at 1: 2000
Secondary: Goat polyclonal to rabbit IgG at 1/50000 dilution.
Predicted band size: 29, 27 kDa
Observed band size: 28-30, 55-72 kDa

Applications for PA28 Activator alpha Subunit/PSME1 Antibody (29D5) - BSA Free

Application
Recommended Usage

Flow Cytometry

1:50-1:200

Immunocytochemistry/ Immunofluorescence

1:50-1:200

Immunohistochemistry

1:50-1:200

Western Blot

1:500-1:2000

Formulation, Preparation, and Storage

Purification

Affinity purified

Formulation

PBS, pH 7.4, 150mM NaCl, and 50% glycerol

Format

BSA Free

Preservative

0.02% Sodium Azide

Concentration

Please see the vial label for concentration. If unlisted please contact technical services.

Shipping

The product is shipped with polar packs. Upon receipt, store it immediately at the temperature recommended below.

Stability & Storage

Store at -20 to -70C. Avoid freeze-thaw cycles.

Background: PA28 Activator alpha Subunit

The 26S proteasome is a multicatalytic proteinase complex with a highly ordered structure composed of 2 complexes, a 20S core and a 19S regulator. The 20S core is composed of 4 rings of 28 non-identical subunits; 2 rings are composed of 7 alpha subunits and 2 rings are composed of 7 beta subunits. The 19S regulator is composed of a base, which contains 6 ATPase subunits and 2 non-ATPase subunits, and a lid, which contains up to 10 non-ATPase subunits. Proteasomes are distributed throughout eukaryotic cells at a high concentration and cleave peptides in an ATP/ubiquitin-dependent process in a non-lysosomal pathway. An essential function of a modified proteasome, the immunoproteasome, is the processing of class I MHC peptides. The immunoproteasome contains an alternate regulator, referred to as the 11S regulator or PA28, that replaces the 19S regulator. Three subunits (alpha, beta and gamma) of the 11S regulator have been identified. This gene encodes the alpha subunit of the 11S regulator, one of the two 11S subunits that is induced by gamma-interferon. Three alpha and three beta subunits combine to form a heterohexameric ring. Two transcripts encoding different isoforms have been identified.

Long Name

Proteasome (Prosome, Macropain) Activator Subunit 1

Alternate Names

11S Regulator Complex Subunit alpha, IFI5111, PSME1, REG alpha

Gene Symbol

PSME1

Additional PA28 Activator alpha Subunit Products

Product Documents for PA28 Activator alpha Subunit/PSME1 Antibody (29D5) - BSA Free

Certificate of Analysis

To download a Certificate of Analysis, please enter a lot number in the search box below.

Product Specific Notices for PA28 Activator alpha Subunit/PSME1 Antibody (29D5) - BSA Free

This product is for research use only and is not approved for use in humans or in clinical diagnosis. Primary Antibodies are guaranteed for 1 year from date of receipt.

Loading...
Loading...
Loading...
Loading...
Loading...