Skip to main content

p73 Antibody - BSA Free

Novus Biologicals, part of Bio-Techne | Catalog # NB100-420

Catalog #
Availability
Size / Price
Qty
Loading...
NB100-420
Conjugate
Catalog #

Key Product Details

Species Reactivity

Human

Applications

Western Blot, Immunoprecipitation

Label

Unconjugated

Antibody Source

Polyclonal Rabbit IgG

Format

BSA Free

Concentration

1.0 mg/ml

Product Specifications

Immunogen

A synthetic peptide mapping to a region between residues 1 and 62 of human tumor protein p73 using the numbering given in Swiss-Prot entry O15350 (GeneID 7161).

Specificity

The epitope is found in isoforms alpha, beta, gamma, delta, epsilon, zeta, and kappa of human p73. The antibody is not expected to react with deltaNp73.

Clonality

Polyclonal

Host

Rabbit

Isotype

IgG

Scientific Data Images for p73 Antibody - BSA Free

Western Blot: p73 Antibody [NB100-420]

Western Blot: p73 Antibody [NB100-420]

Western Blot: p73 Antibody [NB100-420] - Whole cell lysate (50 ug) from HEK293T, HeLa, and RKO cells prepared using NETN lysis buffer. Antibody: Affinity purified rabbit anti-p73 antibody used for WB at 0.1 ug/ml. Detection: Chemiluminescence with an exposure time of 75 seconds.
Western Blot: p73 Antibody [NB100-420]

Western Blot: p73 Antibody [NB100-420]

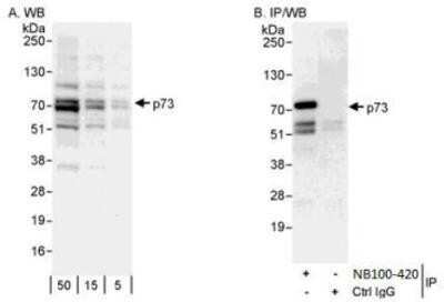
Western Blot: p73 Antibody [NB100-420] - Detection of Human p73 by Western Blot and Immunoprecipitation. Samples: Whole cell lysate (5, 15 and 50 ug for WB; 1 mg for IP, 20% of IP loaded) from 293T cells. Antibodies: Affinity purified rabbit anti-p73 antibody NB100-420 used for WB at 1 ug/ml (A and B) and used for IP at 3 ug/mg lysate. Detection: Chemiluminescence with exposure times of 10 seconds (A) and 30 seconds (B).

Applications for p73 Antibody - BSA Free

Application
Recommended Usage

Immunoprecipitation

2-10 ug/mg of lysate

Western Blot

1:2000 - 1:10000

Formulation, Preparation, and Storage

Purification

Immunogen affinity purified

Formulation

Tris-Citrate/Phosphate (pH 7.0 - 8.0)

Format

BSA Free

Preservative

0.09% Sodium Azide

Concentration

1.0 mg/ml

Shipping

The product is shipped with polar packs. Upon receipt, store it immediately at the temperature recommended below.

Stability & Storage

Store at 4C. Do not freeze.

Background: p73

p73 maps to chromosome 1p36, a region frequently deleted in certain tumors and believed to contain tumor suppressor genes. In addition, p73 shares considerable homology with the tumor suppressor p53. This homology is as follows: amino acids 1-45 (transactivation domain) 29%; residues 113-290 (DNA-binding region) 63%; and residues 319-363 (oligomerization region) 38%. This strong homology suggests functional similarities as seen by p73 transactivating the p53 target gene p21WAF1 and apoptosis when overexpressed.

Long Name

Tumor Protein p73

Alternate Names

TP73

Entrez Gene IDs

7161 (Human)

Gene Symbol

TP73

UniProt

Additional p73 Products

Product Documents for p73 Antibody - BSA Free

Certificate of Analysis

To download a Certificate of Analysis, please enter a lot number in the search box below.

Product Specific Notices for p73 Antibody - BSA Free

This product is for research use only and is not approved for use in humans or in clinical diagnosis. Primary Antibodies are guaranteed for 1 year from date of receipt.

Loading...
Loading...
Loading...
Loading...