Skip to main content

p70 S6 Kinase/S6K Antibody (OTI1G4)

Novus Biologicals, part of Bio-Techne | Catalog # NBP2-00754

Novus Biologicals, part of Bio-Techne
Catalog #
Availability
Size / Price
Qty
Loading...
NBP2-00754

Key Product Details

Species Reactivity

Human, Mouse, Rat

Applications

Immunohistochemistry, Immunohistochemistry-Paraffin, Western Blot, Flow Cytometry, Immunocytochemistry/ Immunofluorescence

Label

Unconjugated

Antibody Source

Monoclonal Mouse IgG1 Clone # OTI1G4

Concentration

0.71 mg/ml

Product Specifications

Immunogen

Full length human recombinant protein of human RPS6KB1(NP_003152) produced in HEK293T cell.

Reactivity Notes

Please note that this antibody is reactive to Mouse and derived from the same host, Mouse. Mouse-On-Mouse blocking reagent may be needed for IHC and ICC experiments to reduce high background signal. You can find these reagents under catalog numbers PK-2200-NB and MP-2400-NB. Please contact Technical Support if you have any questions.

Clonality

Monoclonal

Host

Mouse

Isotype

IgG1

Theoretical MW

59 kDa.
Disclaimer note: The observed molecular weight of the protein may vary from the listed predicted molecular weight due to post translational modifications, post translation cleavages, relative charges, and other experimental factors.

Description

Novus Biologicals Mouse p70 S6 Kinase/S6K Antibody (OTI1G4) (NBP2-00754) is a monoclonal antibody validated for use in IHC, WB, Flow and ICC/IF. All Novus Biologicals antibodies are covered by our 100% guarantee.

Scientific Data Images for p70 S6 Kinase/S6K Antibody (OTI1G4)

Western Blot: S6K Antibody (1G4) [NBP2-00754] Analysis of extracts (35ug) from 9 different cell lines by using anti-S6K monoclonal antibody.
Immunocytochemistry/ Immunofluorescence: p70 S6 Kinase/S6K Antibody (OTI1G4) [NBP2-00754]

Immunocytochemistry/ Immunofluorescence: p70 S6 Kinase/S6K Antibody (OTI1G4) [NBP2-00754]

Immunocytochemistry/Immunofluorescence: S6K Antibody (1G4) [NBP2-00754] - Staining of COS7 cells transiently transfected by pCMV6-ENTRY S6K.
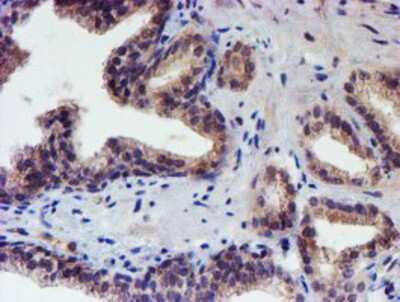
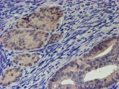
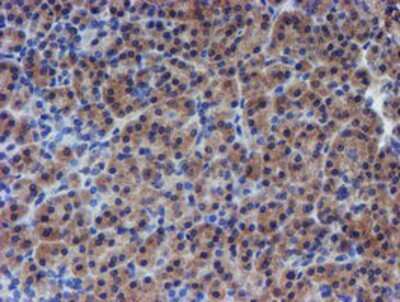
Immunohistochemistry-Paraffin: p70 S6 Kinase/S6K Antibody (OTI1G4) [NBP2-00754]

Immunohistochemistry-Paraffin: p70 S6 Kinase/S6K Antibody (OTI1G4) [NBP2-00754]

Immunohistochemistry-Paraffin: S6K Antibody (1G4) [NBP2-00754] - Staining of paraffin-embedded Human pancreas tissue using anti-S6K mouse monoclonal antibody.

Applications for p70 S6 Kinase/S6K Antibody (OTI1G4)

Application
Recommended Usage

Flow Cytometry

1:100

Immunocytochemistry/ Immunofluorescence

1:100

Immunohistochemistry

1:150

Immunohistochemistry-Paraffin

1:150

Western Blot

1:500-2000

Formulation, Preparation, and Storage

Purification

Immunogen affinity purified

Formulation

PBS (pH 7.3), 1.0% BSA and 50% Glycerol

Preservative

0.02% Sodium Azide

Concentration

0.71 mg/ml

Shipping

The product is shipped with polar packs. Upon receipt, store it immediately at the temperature recommended below.

Stability & Storage

Store at -20C. Avoid freeze-thaw cycles.

Background: p70 S6 Kinase

This gene encodes a member of the RSK (ribosomal S6 kinase) family of serine/threonine kinases. This kinase contains 2 non-identical kinase catalytic domains and phosphorylates several residues of the S6 ribosomal protein. The kinase activity of this protein leads to an increase in protein synthesis and cell proliferation. Amplification of the region of DNA encoding this gene and overexpression of this kinase are seen in some breast cancer cell lines. Alternate translational start sites have been described and alternate transcriptional splice variants have been observed but have not been thoroughly characterized. [provided by RefSeq].

Alternate Names

p70-alpha, RPS6KB1, S6K1, STK14A

Entrez Gene IDs

6198 (Human)

Gene Symbol

RPS6KB1

Additional p70 S6 Kinase Products

Product Documents for p70 S6 Kinase/S6K Antibody (OTI1G4)

Certificate of Analysis

To download a Certificate of Analysis, please enter a lot number in the search box below.

Product Specific Notices for p70 S6 Kinase/S6K Antibody (OTI1G4)

This product is for research use only and is not approved for use in humans or in clinical diagnosis. Primary Antibodies are guaranteed for 1 year from date of receipt.

Loading...
Loading...
Loading...
Loading...
Loading...