Skip to main content

p67phox/NOXA2 Antibody (7J7N3)

Novus Biologicals, part of Bio-Techne | Catalog # NBP3-16257

Recombinant Monoclonal Antibody
Novus Biologicals, part of Bio-Techne
Catalog #
Availability
Size / Price
Qty
Loading...
NBP3-16257-20ul
NBP3-16257-100ul

Key Product Details

Species Reactivity

Mouse, Rat

Applications

Immunohistochemistry, Immunohistochemistry-Paraffin, Western Blot, ELISA

Label

Unconjugated

Antibody Source

Recombinant Monoclonal Rabbit IgG Clone # 7J7N3 expressed in HEK293

Concentration

Please see the vial label for concentration. If unlisted please contact technical services.

Product Specifications

Immunogen

Recombinant fusion protein containing a sequence corresponding to amino acids 200-300 of human p67phox/NOXA2 (P19878). GKATVVASVVDQDSFSGFAPLQPQAAEPPPRPKTPEIFRALEGEAHRVLFGFVPETKEELQVMPGNIVFVLKKGNDNWATVMFNGQKGLVPCNYLEPVELR

Clonality

Monoclonal

Host

Rabbit

Isotype

IgG

Theoretical MW

60 kDa.
Disclaimer note: The observed molecular weight of the protein may vary from the listed predicted molecular weight due to post translational modifications, post translation cleavages, relative charges, and other experimental factors.

Scientific Data Images for p67phox/NOXA2 Antibody (7J7N3)

Western Blot: p67phox/NOXA2 Antibody (7J7N3) [NBP3-16257]

Western Blot: p67phox/NOXA2 Antibody (7J7N3) [NBP3-16257]

Western Blot: p67phox/NOXA2 Antibody (7J7N3) [NBP3-16257] - Western blot analysis of extracts of various cell lines, using p67phox/NOXA2 Rabbit mAb (NBP3-16257) at 1:1000 dilution. Secondary antibody: HRP Goat Anti-Rabbit IgG (H+L) at 1:10000 dilution. Lysates/proteins: 25ug per lane. Blocking buffer: 3% nonfat dry milk in TBST. Detection: ECL Basic Kit. Exposure time: 30s.
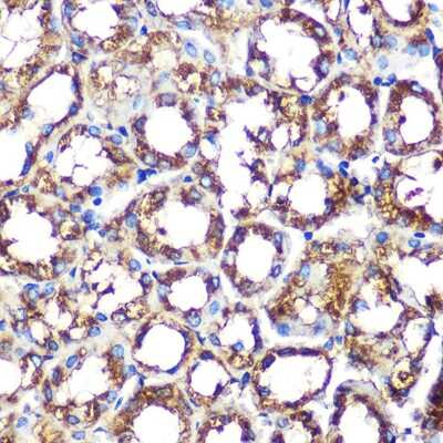
Immunohistochemistry-Paraffin: p67phox/NOXA2 Antibody (7J7N3) [NBP3-16257]

Immunohistochemistry-Paraffin: p67phox/NOXA2 Antibody (7J7N3) [NBP3-16257]

Immunohistochemistry-Paraffin: p67phox/NOXA2 Antibody (7J7N3) [NBP3-16257] - Immunohistochemistry of paraffin-embedded mouse kidney using p67phox/NOXA2 Rabbit mAb (NBP3-16257) at dilution of 1:100 (40x lens).Perform microwave antigen retrieval with 10 mM PBS buffer pH 7.2 before commencing with IHC staining protocol.

Applications for p67phox/NOXA2 Antibody (7J7N3)

Application
Recommended Usage

Immunohistochemistry

1:50 - 1:200

Western Blot

1:500 - 1:1000

Formulation, Preparation, and Storage

Purification

Affinity purified

Formulation

PBS (pH 7.3), 50% glycerol, 0.05% BSA

Preservative

0.02% Sodium Azide

Concentration

Please see the vial label for concentration. If unlisted please contact technical services.

Shipping

The product is shipped with polar packs. Upon receipt, store it immediately at the temperature recommended below.

Stability & Storage

Store at -20C. Avoid freeze-thaw cycles.

Background: p67phox

NOXA2 encodes neutrophil cytosolic factor 2, the 67-kilodalton cytosolic subunit of the multi-protein NADPH oxidase complex found in neutrophils. This oxidase produces a burst of superoxide which is delivered to the lumen of the neutrophil phagosome. Mutations in this gene, as well as in other NADPH oxidase subunits, can result in chronic granulomatous disease, a disease that causes recurrent infections by catalase-positive organisms. Alternative splicing results in two transcript variants that encode the same protein.

Alternate Names

NCF2, NOXA2

Gene Symbol

NCF2

Additional p67phox Products

Product Documents for p67phox/NOXA2 Antibody (7J7N3)

Certificate of Analysis

To download a Certificate of Analysis, please enter a lot number in the search box below.

Product Specific Notices for p67phox/NOXA2 Antibody (7J7N3)

This product is for research use only and is not approved for use in humans or in clinical diagnosis. Primary Antibodies are guaranteed for 1 year from date of receipt.

Loading...
Loading...
Loading...
Loading...