Skip to main content

p66 alpha Antibody - BSA Free

Novus Biologicals, part of Bio-Techne | Catalog # NBP1-87360

Novus Biologicals, part of Bio-Techne
Catalog #
Availability
Size / Price
Qty
Loading...
NBP1-87360
NBP1-87360-25ul

Key Product Details

Validated by

Knockout/Knockdown, Independent Antibodies

Species Reactivity

Human

Applications

Immunohistochemistry, Immunohistochemistry-Paraffin, Western Blot, Immunocytochemistry/ Immunofluorescence, Chromatin Immunoprecipitation-exo-Seq, Knockdown Validated

Label

Unconjugated

Antibody Source

Polyclonal Rabbit IgG

Format

BSA Free

Concentration

Concentrations vary lot to lot. See vial label for concentration. If unlisted please contact technical services.

Product Specifications

Immunogen

This antibody was developed against Recombinant Protein corresponding to amino acids: LERDPTEDDVESKKIKMERGLLASDLNTDGDMRVTPEPGAGPTQGLLRATEATAMAMGRGEGLVGDGPVDMRTSHSDMKSERRPPSPDVIVLSDNEQPSSPRVNGLTTVALKETSTE

Clonality

Polyclonal

Host

Rabbit

Isotype

IgG

Scientific Data Images for p66 alpha Antibody - BSA Free

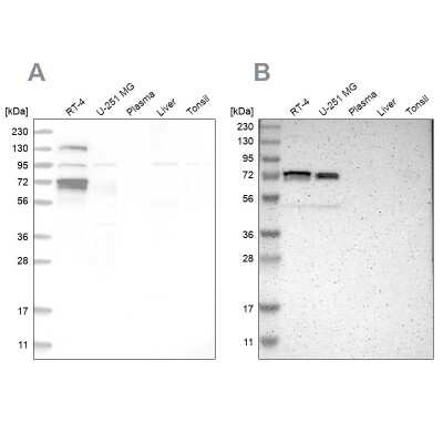
Western Blot: p66 alpha Antibody [NBP1-87360]

Western Blot: p66 alpha Antibody [NBP1-87360]

Western Blot: p66 alpha Antibody [NBP1-87360] - Analysis in U-138MG cells transfected with control siRNA, target specific siRNA probe #1 and #2,. Remaining relative intensity is presented. Loading control: Anti-GAPDH.
Immunocytochemistry/ Immunofluorescence: p66 alpha Antibody [NBP1-87360]

Immunocytochemistry/ Immunofluorescence: p66 alpha Antibody [NBP1-87360]

Immunocytochemistry/Immunofluorescence: p66 alpha Antibody [NBP1-87360] - Staining of human cell line A-431 shows localization to nucleoplasm. Antibody staining is shown in green.
Immunohistochemistry-Paraffin: p66 alpha Antibody [NBP1-87360]

Immunohistochemistry-Paraffin: p66 alpha Antibody [NBP1-87360]

Immunohistochemistry-Paraffin: p66 alpha Antibody [NBP1-87360] - Staining of human testis shows moderate nuclear positivity in cells in seminiferous ducts.

Applications for p66 alpha Antibody - BSA Free

Application
Recommended Usage

Chromatin Immunoprecipitation-exo-Seq

1-10ug per reaction

Immunocytochemistry/ Immunofluorescence

0.25-2 ug/ml

Immunohistochemistry

1:200 - 1:500

Immunohistochemistry-Paraffin

1:200 - 1:500

Western Blot

0.04-0.4 ug/ml
Application Notes
For IHC-Paraffin, HIER pH 6 retrieval is recommended. ICC/IF Fixation Permeabilization: Use PFA/Triton X-100.

Formulation, Preparation, and Storage

Purification

Affinity purified

Formulation

PBS (pH 7.2) and 40% Glycerol

Format

BSA Free

Preservative

0.02% Sodium Azide

Concentration

Concentrations vary lot to lot. See vial label for concentration. If unlisted please contact technical services.

Shipping

The product is shipped with polar packs. Upon receipt, store it immediately at the temperature recommended below.

Stability & Storage

Store at 4C short term. Aliquot and store at -20C long term. Avoid freeze-thaw cycles.

Background: p66 alpha

Methylation of cytosine at CpG dinucleotides is a common feature of many higher eukaryotic genomes (1-3). Increasing evidence indicates that recruitement of histone deacetylase complexes by methyl-CpG-binding proteins (MeCP) is a major mechanism of methylated DNA silencing. P66, a zinc finger-containing protein is one of the components of the MeCP1 complex (4). P66 and p68, the two components of MeCP1 are different forms of the same zinc finger-containing protein and are conserved from C.elegans to humans. Homologs of p66 from different organisms revealed two highly conserved regions, CR1 and CR2. While CR1 is involved in the association of p66 with other MeCP1 components, CR2 plays an important role in targeting p66 and MBD3 to specific loci (4).

Alternate Names

FLJ20085, FLJ21017, GATA zinc finger domain containing 2A, GATA zinc finger domain-containing protein 2A, Hp66alpha, p66 alpha, p66alpha, transcriptional repressor p66-alpha

Gene Symbol

GATAD2A

Additional p66 alpha Products

Product Documents for p66 alpha Antibody - BSA Free

Certificate of Analysis

To download a Certificate of Analysis, please enter a lot number in the search box below.

Product Specific Notices for p66 alpha Antibody - BSA Free

This product is for research use only and is not approved for use in humans or in clinical diagnosis. Primary Antibodies are guaranteed for 1 year from date of receipt.

Loading...
Loading...
Loading...
Loading...