p66 alpha Antibody - BSA Free
Novus Biologicals, part of Bio-Techne | Catalog # NBP1-87359
Key Product Details
Validated by
Independent Antibodies
Species Reactivity
Validated:
Human, Mouse, Rat
Cited:
Human, Mouse
Applications
Validated:
Immunohistochemistry, Immunohistochemistry-Paraffin, Western Blot, Immunocytochemistry/ Immunofluorescence, Immunoprecipitation
Cited:
Western Blot, Immunoprecipitation, Chemotaxis
Label
Unconjugated
Antibody Source
Polyclonal Rabbit IgG
Format
BSA Free
Concentration
Concentrations vary lot to lot. See vial label for concentration. If unlisted please contact technical services.
Product Specifications
Immunogen
This antibody was developed against Recombinant Protein corresponding to amino acids: RRKLAFRSGEARDWSNGAVLQASSQLSRGSATTPRGVLHTFSPSPKLQNSASATALVSRTGRHSERTVSAGKGSATSNWKKTPLSTGGTLAFVSPSLAVHKSSSAVDRQREYLLDMIPPRSIP
Reactivity Notes
Human reactivity reported in scientific literature (PMID: 25190814).
Clonality
Polyclonal
Host
Rabbit
Isotype
IgG
Theoretical MW
68 kDa.
Disclaimer note: The observed molecular weight of the protein may vary from the listed predicted molecular weight due to post translational modifications, post translation cleavages, relative charges, and other experimental factors.
Disclaimer note: The observed molecular weight of the protein may vary from the listed predicted molecular weight due to post translational modifications, post translation cleavages, relative charges, and other experimental factors.
Scientific Data Images for p66 alpha Antibody - BSA Free
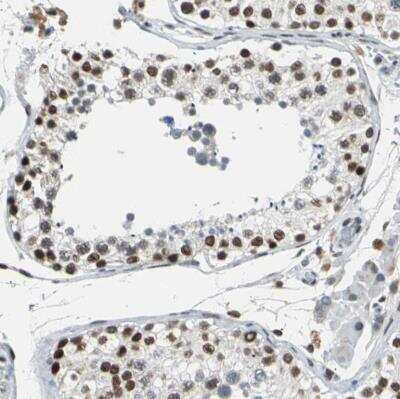
Immunohistochemistry-Paraffin: p66 alpha Antibody [NBP1-87359]
Immunohistochemistry-Paraffin: p66 alpha Antibody [NBP1-87359] - Staining of human colon, placenta, skeletal muscle and testis using Anti-p66 alpha antibody NBP1-87359 (A) shows similar protein distribution across tissues to independent antibody NBP1-87360 (B).Western Blot: p66 alpha Antibody [NBP1-87359]
Western Blot: p66 alpha Antibody [NBP1-87359] - Analysis in mouse cell line NIH-3T3 and rat cell line NBT-II.Immunocytochemistry/ Immunofluorescence: p66 alpha Antibody [NBP1-87359]
Immunocytochemistry/Immunofluorescence: p66 alpha Antibody [NBP1-87359] - Staining of human cell line U-2 OS shows localization to nucleoplasm. Antibody staining is shown in green.Applications for p66 alpha Antibody - BSA Free
Application
Recommended Usage
Immunocytochemistry/ Immunofluorescence
0.25-2 ug/ml
Immunohistochemistry
1:20 - 1:50
Immunohistochemistry-Paraffin
1:20 - 1:50
Western Blot
0.04-0.4 ug/ml
Application Notes
IP, WB reported in scientific literature (PMID: 25190814). Use in CHIP reported in scientific literature (PMID:31934863). For IHC-Paraffin, HIER pH 6 retrieval is recommended. ICC/IF Fixation Permeabilization: PFA/Triton X-100
Formulation, Preparation, and Storage
Purification
Affinity purified
Formulation
PBS (pH 7.2) and 40% Glycerol
Format
BSA Free
Preservative
0.02% Sodium Azide
Concentration
Concentrations vary lot to lot. See vial label for concentration. If unlisted please contact technical services.
Shipping
The product is shipped with polar packs. Upon receipt, store it immediately at the temperature recommended below.
Stability & Storage
Store at 4C short term. Aliquot and store at -20C long term. Avoid freeze-thaw cycles.
Background: p66 alpha
Alternate Names
FLJ20085, FLJ21017, GATA zinc finger domain containing 2A, GATA zinc finger domain-containing protein 2A, Hp66alpha, p66 alpha, p66alpha, transcriptional repressor p66-alpha
Entrez Gene IDs
54815 (Human)
Gene Symbol
GATAD2A
UniProt
Additional p66 alpha Products
Product Documents for p66 alpha Antibody - BSA Free
Product Specific Notices for p66 alpha Antibody - BSA Free
This product is for research use only and is not approved for use in humans or in clinical diagnosis. Primary Antibodies are guaranteed for 1 year from date of receipt.
Loading...
Loading...
Loading...
Loading...