Skip to main content

p63/TP73L Antibody (SC06-31)

Novus Biologicals, part of Bio-Techne | Catalog # NBP3-32703

Recombinant Monoclonal Antibody
Novus Biologicals, part of Bio-Techne
Catalog #
Availability
Size / Price
Qty
Loading...
NBP3-32703

Key Product Details

Species Reactivity

Human, Mouse, Rat

Applications

Flow Cytometry, Immunocytochemistry/ Immunofluorescence, Immunohistochemistry, Immunohistochemistry-Paraffin, Western Blot

Label

Unconjugated

Antibody Source

Recombinant Monoclonal Rabbit IgG Clone # SC06-31 expressed in HEK293

Concentration

1 mg/ml

Product Specifications

Immunogen

Recombinant protein within human p63/TP73L aa 1-250. (Uniprot: Q9H3D4)

Localization

Nucleus.

Clonality

Monoclonal

Host

Rabbit

Isotype

IgG

Theoretical MW

77 kDa.
Disclaimer note: The observed molecular weight of the protein may vary from the listed predicted molecular weight due to post translational modifications, post translation cleavages, relative charges, and other experimental factors.

Description

Novus Biologicals Rabbit p63/TP73L Antibody (SC06-31) (NBP3-32703) is a recombinant monoclonal antibody validated for use in IHC, WB, Flow and ICC/IF. All Novus Biologicals antibodies are covered by our 100% guarantee.

Scientific Data Images for p63/TP73L Antibody (SC06-31)

p63/TP73L Antibody (SC06-31)

Western Blot: p63/TP73L Antibody (SC06-31) [NBP3-32703]

Western Blot: p63/TP73L Antibody (SC06-31) [NBP3-32703] - Western blot analysis of p63/TP73L on A431 cell lysates. Proteins were transferred to a PVDF membrane and blocked with 5% BSA in PBS for 1 hour at room temperature. The primary antibody (NBP3-32703, 1/500) was used in 5% BSA at room temperature for 2 hours. Goat Anti-Rabbit IgG - HRP Secondary Antibody at 1:5,000 dilution was used for 1 hour at room temperature.
p63/TP73L Antibody (SC06-31)

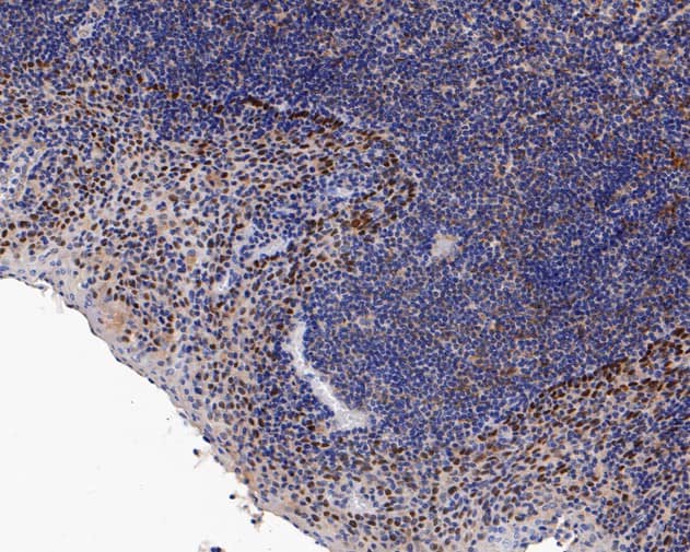
Immunohistochemistry: p63/TP73L Antibody (SC06-31) [NBP3-32703]

Immunohistochemistry: p63/TP73L Antibody (SC06-31) [NBP3-32703] - Immunohistochemical analysis of paraffin-embedded human tonsil tissue using anti-p63/TP73L antibody. The section was pre-treated using heat mediated antigen retrieval with sodium citrate buffer (pH 6.0) for 20 minutes. The tissues were blocked in 5% BSA for 30 minutes at room temperature, washed with ddH2O and PBS, and then probed with the primary antibody (NBP3-32703, 1/50) for 30 minutes at room temperature. The detection was performed using an HRP conjugated compact polymer system. DAB was used as the chromogen. Tissues were counterstained with hematoxylin and mounted with DPX.
p63/TP73L Antibody (SC06-31)

Immunocytochemistry/ Immunofluorescence: p63/TP73L Antibody (SC06-31) [NBP3-32703]

Immunocytochemistry/ Immunofluorescence: p63/TP73L Antibody (SC06-31) [NBP3-32703] - ICC staining of p63/TP73L in A431 cells (green). Formalin fixed cells were permeabilized with 0.1% Triton X-100 in TBS for 10 minutes at room temperature and blocked with 1% Blocker BSA for 15 minutes at room temperature. Cells were probed with the primary antibody (NBP3-32703, 1/50) for 1 hour at room temperature, washed with PBS. Alexa Fluor®488 Goat anti-Rabbit IgG was used as the secondary antibody at 1/1,000 dilution. The nuclear counter stain is DAPI (blue).

Applications for p63/TP73L Antibody (SC06-31)

Application
Recommended Usage

Flow Cytometry

1:50-1:100

Immunocytochemistry/ Immunofluorescence

1:50-1:200-1:200

Immunohistochemistry-Paraffin

1:50-1:800

Western Blot

1:1000-1:2000

Formulation, Preparation, and Storage

Purification

Protein A purified

Formulation

1*TBS (pH7.4), 0.05% BSA and 40% Glycerol

Preservative

0.05% Sodium Azide

Concentration

1 mg/ml

Shipping

The product is shipped with polar packs. Upon receipt, store it immediately at the temperature recommended below.

Stability & Storage

Store at 4C short term. Aliquot and store at -20C long term. Avoid freeze-thaw cycles.

Background: p63/TP73L

The p63 gene, a homologue of the tumor suppressor p53, is highly expressed in the basal or progenitor layers of many epithelial tissues. P63 shows remarkable structural similarity to p53 and to the related p73 gene. Unlike p53, the p63 gene encodes multiple isotypes with remarkably divergent abilities to transactivate p53 reporter genes and induce apoptosis.

Long Name

Tumor Protein 63

Alternate Names

EEC3, KET, OFC8, p40, p51, p73L, SHFM4, TP63, TP73L

Gene Symbol

TP63

Additional p63/TP73L Products

Product Documents for p63/TP73L Antibody (SC06-31)

Certificate of Analysis

To download a Certificate of Analysis, please enter a lot number in the search box below.

Product Specific Notices for p63/TP73L Antibody (SC06-31)

This product is for research use only and is not approved for use in humans or in clinical diagnosis. Primary Antibodies are guaranteed for 1 year from date of receipt.

Loading...
Loading...
Loading...
Loading...
Loading...