Skip to main content

p62/SQSTM1 Antibody - BSA Free

Novus Biologicals, part of Bio-Techne | Catalog # NBP1-49954

Novus Biologicals, part of Bio-Techne

Key Product Details

Validated by

Independent Antibodies, Biological Validation

Species Reactivity

Validated:

Human, Mouse, Canine

Cited:

Human, Mouse, Canine

Predicted:

Orangutan (100%), Rat (100%). Backed by our 100% Guarantee.

Applications

Validated:

Immunohistochemistry, Immunohistochemistry-Paraffin, Western Blot, Simple Western, Immunoprecipitation

Cited:

Western Blot

Label

Unconjugated

Antibody Source

Polyclonal Rabbit IgG

Format

BSA Free

Concentration

1.0 mg/ml

Product Specifications

Immunogen

The immunogen for this product maps to a region between residue 325 and 375 of human p62/SQSTM1 using the numbering given in entry NP_003891.1 (GeneID 8878).

Reactivity Notes

Canine reactivity reported in scientific literature (PMID: 29513363).

Clonality

Polyclonal

Host

Rabbit

Isotype

IgG

Theoretical MW

47.7 kDa.
Disclaimer note: The observed molecular weight of the protein may vary from the listed predicted molecular weight due to post translational modifications, post translation cleavages, relative charges, and other experimental factors.

Description

Novus Biologicals Rabbit p62/SQSTM1 Antibody - BSA Free (NBP1-49954) is a polyclonal antibody validated for use in IHC, WB, Simple Western and IP. Anti-p62/SQSTM1 Antibody: Cited in 6 publications. All Novus Biologicals antibodies are covered by our 100% guarantee.

Scientific Data Images for p62/SQSTM1 Antibody - BSA Free

Western Blot: p62/SQSTM1 Antibody [NBP1-49954]

Western Blot: p62/SQSTM1 Antibody [NBP1-49954]

Western Blot: p62/SQSTM1 Antibody [NBP1-49954] - Human AC16 under normoxic and hypoxic conditions. WB image submitted by a verified customer review.
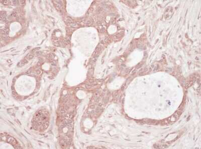
Immunohistochemistry-Paraffin: p62/SQSTM1 Antibody [NBP1-49954]

Immunohistochemistry-Paraffin: p62/SQSTM1 Antibody [NBP1-49954]

Immunohistochemistry-Paraffin: p62/SQSTM1 Antibody [NBP1-49954] - Sample: FFPE section of human breast carcinoma. Antibody: Affinity purified rabbit anti- Sequestosome-1 used at a dilution of 1:1,000 (1ug/ml). Detection: Vector Laboratories ImmPACT NovaRED Peroxidase Substrate
Western Blot: p62/SQSTM1 Antibody [NBP1-49954]

Western Blot: p62/SQSTM1 Antibody [NBP1-49954]

Western Blot: p62/SQSTM1 Antibody [NBP1-49954] - Detection of Human and Mouse Sequestosome-1 by Western Blot (h&m) and Immunoprecipitation (h). Samples: Whole cell lysate from HeLa (5, 15 and 50 mcg for WB; 1 mg for IP, 20% of IP loaded), 293T (T; 50 mcg), and mouse NIH3T3 (M; 50 mcg) cells. Antibodies: Affinity purified rabbit anti-Sequestosome-1 antibody used for WB at 0.1 mcg/ml (A) and 0.4 mcg/ml (B) and used for IP at 3 mcg/mg lysate. Sequestosome-1 was also immunoprecipitated by rabbit anti-Sequestosome-1 antibodies which recognize downstream epitopes. For blotting immunoprecipitated Sequestosome-1 was used. Detection: Chemiluminescence with exposure times of 30 seconds (A) and 3 seconds (B).

Applications for p62/SQSTM1 Antibody - BSA Free

Application
Recommended Usage

Immunohistochemistry

1:500 to 1:2000

Immunohistochemistry-Paraffin

1:500 to 1:2000

Immunoprecipitation

2-5 ug/mg lysate

Simple Western

1:40

Western Blot

1:2000-1:10000
Application Notes
In Simple Western only 10 - 15 uL of the recommended dilution is used per data point.
See Simple Western Antibody Database for Simple Western validation: Tested in HeLa lysate 0.5 mg/mL, separated by Size, antibody dilution of 1:40, apparent MW was 64 kDa. Immunohistochemistry 1:500 - 1:2,000. Epitope retrieval with citrate buffer pH 6.0 is recommended for FFPE tissue sections.

Reviewed Applications

Read 1 review rated 4 using NBP1-49954 in the following applications:

Formulation, Preparation, and Storage

Purification

Immunogen affinity purified

Formulation

Tris-Citrate/Phosphate (pH 7.0 - 8.0)

Format

BSA Free

Preservative

0.09% Sodium Azide

Concentration

1.0 mg/ml

Shipping

The product is shipped with polar packs. Upon receipt, store it immediately at the temperature recommended below.

Stability & Storage

Store at 4C. Do not freeze.

Background: p62/SQSTM1

p62/SQSTM1 (ubiquitin-binding protein p62/Sequestrosome-1) is an intracellular protein (theoretical molecular weight 47.7 kDa) which localizes to the cytoplasm, nucleus, autophagosomes and lysosomes in all tissues (1). Structurally, p62/SQSTM1 consists of multiple domains (e.g., Phox1 and Bem1p-PB1, zinc finger-ZZ, TRAF6 binding domain-TB, Keap1-interacting region-KIR, LC3 interacting region-LIR and ubiquitin-associated domain-UBA) for interaction with various protein targets. Additional domains include nuclear export (NES) and nuclear localization signals (NLS1 and NLS2). p62/SQSTM1 is a multifunctional scaffold protein which forms oligomers with itself or with other proteins through interactions with PB1 domains.

Abnormal function of p62/SQSTM1 is associated with a range of disease states such as neurodegeneration, cancer, and metabolic disorders (2). Mutations in the p62/SQSTM1 sequence have been linked to Paget's disease of the bone, amyotrophic lateral sclerosis, and frontotemporal lobar degeneration. In Parkinson's disease, p62/SQSTM1 has been linked to microglia activation and subsequent neuroinflammation (3). Functionally, p62/SQSTM1 is involved in a broad range of cellular processes such as amino acid sensing by interaction with mTORC1, oxidative stress response through interaction with Keap1, and targeting cargo for autophagy by interacting with ubiquitin labeled proteins (1).

To induce selective autophagy, p62/SQSTM1 forms long oligomers or helical filaments which interact with LC3 and ubiquitin labeled proteins and lead to the initiation of the autophagosome formation (2). p62/SQSTM1 is not only a selective autophagy receptor but also an autophagy substrate, as its engulfed by the autophagosome and degraded by the autophagolysosome. Monitoring LC3 levels is the standard for assessing autophagic flux, however monitoring p62/SQSTM1 levels by Western blot in the presence and absence of autophagy inhibitors (e.g., Chloroquine) is also a common practice (4). Besides its activity as a selective autophagy receptor, p62/SQSTM1 also plays a role as an adaptor in signaling cascades leading to NFkB activation downstream of TNF-R, IL-1 beta R, TrkA and p75NTR. Briefly, for NFkB signaling downstream of the TNF-R activation, p62/SQSTM1 engages RIP1 kinase and PKC iota/lambda through the ZZ and PB1 domains, respectively (5).

References

1.Katsuragi, Y., Ichimura, Y., & Komatsu, M. (2015). P62/SQSTM1 functions as a signaling hub and an autophagy adaptor. FEBS Journal. https://doi.org/10.1111/febs.13540

2. Sanchez-Martin, P., & Komatsu, M. (2018). p62/SQSTM1 - Steering the cell through health and disease. Journal of Cell Science. https://doi.org/10.1242/jcs.222836

3. Yao, L., Zhu, Z., Wu, J., Zhang, Y., Zhang, H., Sun, X., ... Lu, G. (2019). MicroRNA-124 regulates the expression of p62/p38 and promotes autophagy in the inflammatory pathogenesis of Parkinson's disease. The FASEB Journal. https://doi.org/10.1096/fj.201900363r

4 Klionsky, D. J., Abdelmohsen, K., Abe, A., Abedin, M. J., Abeliovich, H., Arozena, A. A., ... Zughaier, S. M. (2016). Guidelines for the use and interpretation of assays for monitoring autophagy (3rd edition). Autophagy. https://doi.org/10.1080/15548627.2015.1100356

5. Bitto, A., Lerner, C. A., Nacarelli, T., Crowe, E., Torres, C., & Sell, C. (2014). p62/SQSTM1 at the interface of aging, autophagy, and disease. Age. https://doi.org/10.1007/s11357-014-9626-3

Long Name

Sequestosome 1

Alternate Names

A170, EBIAP, ORCA, OSIL, PDB3, Sequestosome 1, SQSTM1, ZIP3

Entrez Gene IDs

8878 (Human)

Gene Symbol

SQSTM1

UniProt

Additional p62/SQSTM1 Products

Product Documents for p62/SQSTM1 Antibody - BSA Free

Certificate of Analysis

To download a Certificate of Analysis, please enter a lot number in the search box below.

Product Specific Notices for p62/SQSTM1 Antibody - BSA Free

This product is for research use only and is not approved for use in humans or in clinical diagnosis. Primary Antibodies are guaranteed for 1 year from date of receipt.

Loading...
Loading...
Loading...
Loading...