Skip to main content

p57 Kip2 Antibody (KIP2/880) - Azide and BSA Free

Novus Biologicals, part of Bio-Techne | Catalog # NBP2-47766

Novus Biologicals, part of Bio-Techne
Catalog #
Availability
Size / Price
Qty
Loading...
NBP2-47766-0.1mg

Key Product Details

Species Reactivity

Human, Mouse

Applications

Immunohistochemistry, Immunohistochemistry-Paraffin, Flow Cytometry, Immunofluorescence, Immunocytochemistry/ Immunofluorescence, CyTOF-ready

Label

Unconjugated

Antibody Source

Monoclonal Mouse IgG2b Kappa Clone # KIP2/880

Format

Azide and BSA Free

Concentration

1.0 mg/ml

Product Specifications

Immunogen

Recombinant full-length human p57 Kip2 protein (Uniprot: P49918)

Localization

Nuclear

Specificity

Recognizes a protein of 57kDa, identified as p57Kip2. It shows no cross-reaction with p27Kip1. p57Kip2 is a potent tight-binding inhibitor of several G1 cyclin complexes, and is a negative regulator of cell proliferation. Anti-p57 has been used as an aide in identification of complete hydatidiform mole (CHM) (no nuclear labeling of cytotrophoblasts and stromal cells) from partial hydatidiform mole (PHM) in which both cytotrophoblasts and stromal cells stain. The histological differentiation of complete mole, partial mole, and hydropic spontaneous abortion is problematic. Most complete hydatidiform moles are diploid, whereas most partial moles are triploid. Ploidy studies will identify partial moles, but will not differentiate complete moles from non-molar gestations. Complete moles carry a high risk of persistent disease and choriocarcinoma, while partial moles have a very low risk. In normal placenta, many cytotrophoblast nuclei and stromal cells are labeled with this antibody. Similar findings apply to PHM and hydropic abortus tissues. Intervillous trophoblastic islands (IVTIs) demonstrate nuclear labeling in all three entities and serve as an internal control.

Clonality

Monoclonal

Host

Mouse

Isotype

IgG2b Kappa

Theoretical MW

57 kDa.
Disclaimer note: The observed molecular weight of the protein may vary from the listed predicted molecular weight due to post translational modifications, post translation cleavages, relative charges, and other experimental factors.

Description

1.0 mg/ml of antibody purified from Bioreactor Concentrate by Protein A/G. Prepared in 10mM PBS WITHOUT BSA & azide. Also available at 200 ug/ml WITH BSA & azide (NBP2-44490).

Antibody with azide - store at 2 to 8C. Antibody without azide - store at -20 to -80C.

Scientific Data Images for p57 Kip2 Antibody (KIP2/880) - Azide and BSA Free

Immunohistochemistry-Paraffin: p57 Kip2 Antibody (KIP2/880) - Azide and BSA Free [NBP2-47766]

Immunohistochemistry-Paraffin: p57 Kip2 Antibody (KIP2/880) - Azide and BSA Free [NBP2-47766]

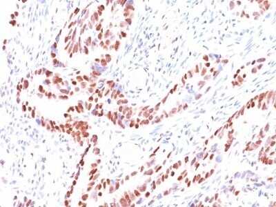
Immunohistochemistry-Paraffin: p57 Kip2 Antibody (KIP2/880) - Azide and BSA Free [NBP2-47766] - Human Prostate Carcinoma stained with p57 Monoclonal Antibody (KIP2/880).
Immunohistochemistry-Paraffin: p57 Kip2 Antibody (KIP2/880) - Azide and BSA Free [NBP2-47766]

Immunohistochemistry-Paraffin: p57 Kip2 Antibody (KIP2/880) - Azide and BSA Free [NBP2-47766]

Immunohistochemistry-Paraffin: p57 Kip2 Antibody (KIP2/880) - Azide and BSA Free [NBP2-47766] - Human Colon Carcinoma stained with p57 Monoclonal Antibody (KIP2/880).

Applications for p57 Kip2 Antibody (KIP2/880) - Azide and BSA Free

Application
Recommended Usage

Flow Cytometry

0.5 - 1 ug/million cells in 0.1 ml

Immunocytochemistry/ Immunofluorescence

1-2 ug/ml

Immunofluorescence

0.5 - 1.0 ug/ml

Immunohistochemistry-Paraffin

0.25 - 0.5 ug/ml
Application Notes
Immunohistochemistry (Formalin-fixed): 0.25-0.5ug/ml for 30 minutes at RT. Staining of formalin-fixed tissues requires heating tissue sections in 10mM Tris with 1mM EDTA, pH 9.0, for 45 min at 95C followed by cooling at RT for 20 minutes.
Optimal dilution for a specific application should be determined.

Formulation, Preparation, and Storage

Purification

Protein A or G purified

Formulation

10 mM PBS

Format

Azide and BSA Free

Preservative

No Preservative

Concentration

1.0 mg/ml

Shipping

The product is shipped with polar packs. Upon receipt, store it immediately at the temperature recommended below.

Stability & Storage

Store at -20 to -80C. Avoid freeze-thaw cycles.

Background: p57 Kip2

p57kip2 is a tight-binding, strong inhibitor of several G1 cyclin/Cdk complexes and a negative regulator of cell proliferation. Mutations in this gene are implicated in sporadic cancers and Beckwith-Wiedemann syndorome, suggesting that this gene is a tumor suppressor candidate.

Alternate Names

Beckwith-Wiedemann syndrome, BWS, cyclin-dependent kinase inhibitor 1C, cyclin-dependent kinase inhibitor 1C (p57, Kip2), Cyclin-dependent kinase inhibitor p57, KIP2BWCR, p57, p57Kip2, WBS

Gene Symbol

CDKN1C

Additional p57 Kip2 Products

Product Documents for p57 Kip2 Antibody (KIP2/880) - Azide and BSA Free

Certificate of Analysis

To download a Certificate of Analysis, please enter a lot number in the search box below.

Product Specific Notices for p57 Kip2 Antibody (KIP2/880) - Azide and BSA Free

This product is for research use only and is not approved for use in humans or in clinical diagnosis. Primary Antibodies are guaranteed for 1 year from date of receipt.

Loading...
Loading...
Loading...
Loading...
Loading...