p57 Kip2 Antibody (KIP2/7187) - Azide and BSA Free
Novus Biologicals, part of Bio-Techne | Catalog # NBP3-20895
Conjugate
Catalog #
Key Product Details
Species Reactivity
Human, Mouse
Applications
Immunohistochemistry-Paraffin
Label
Unconjugated
Antibody Source
Monoclonal Mouse IgG Kappa Clone # KIP2/7187
Format
Azide and BSA Free
Concentration
1 mg/ml
Product Specifications
Immunogen
Recombinant full-length human p57 Kip2 protein
Localization
Nucleus.
Specificity
Recognizes a protein of 57kDa, identified as p57 Kip2 It shows no cross-reaction with p27Kip1
Clonality
Monoclonal
Host
Mouse
Isotype
IgG Kappa
Description
Positive Controls: Raji, HT29 or SK-BR3 cells. Human colon or prostate carcinomas.
Antibody with azide - store at 2 to 8C. Antibody without azide - store at -20 to -80C. Non-hazardous. No MSDS required.
Antibody with azide - store at 2 to 8C. Antibody without azide - store at -20 to -80C. Non-hazardous. No MSDS required.
Scientific Data Images for p57 Kip2 Antibody (KIP2/7187) - Azide and BSA Free
p57 Kip2 Antibody (KIP2/7187)
IHC analysis of formalin-fixed, paraffin-embedded human complete mole (CM). Strong nuclear staining using p57 Kip2 antibody (KIP2/7187) at 2ug/ml in PBS for 30min RT.p57 Kip2 Antibody (KIP2/7187)
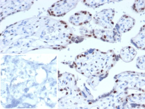
IHC analysis of formalin-fixed, paraffin-embedded human placenta. Strong nuclear staining using p57 Kip2 antibody (KIP2/7187) at 2ug/ml in PBS for 30min RT. Inset: PBS instead of primary antibody; secondary only negative control.Applications for p57 Kip2 Antibody (KIP2/7187) - Azide and BSA Free
Application
Recommended Usage
Immunohistochemistry-Paraffin
0.25-0.5 ug/ml
Application Notes
Immunohistochemistry (Formalin-fixed): 0.25-0.5ug/ml for 30 minutes. at RT. Staining of formalin-fixed tissues requires heating tissue sections in 10mM Tris with 1mM EDTA, pH 9.0, for 45 min at 95C followed by cooling at RT for 20 minutes.
Optimal dilution for a specific application should be determined.
Optimal dilution for a specific application should be determined.
Formulation, Preparation, and Storage
Purification
Protein A or G purified
Formulation
10mM PBS
Format
Azide and BSA Free
Preservative
No Preservative
Concentration
1 mg/ml
Shipping
The product is shipped with polar packs. Upon receipt, store it immediately at the temperature recommended below.
Stability & Storage
Store at -20 to -70C. Avoid freeze-thaw cycles.
Background: p57 Kip2
Alternate Names
Beckwith-Wiedemann syndrome, BWS, cyclin-dependent kinase inhibitor 1C, cyclin-dependent kinase inhibitor 1C (p57, Kip2), Cyclin-dependent kinase inhibitor p57, KIP2BWCR, p57, p57Kip2, WBS
Gene Symbol
CDKN1C
Additional p57 Kip2 Products
Product Documents for p57 Kip2 Antibody (KIP2/7187) - Azide and BSA Free
Product Specific Notices for p57 Kip2 Antibody (KIP2/7187) - Azide and BSA Free
This product is for research use only and is not approved for use in humans or in clinical diagnosis. Primary Antibodies are guaranteed for 1 year from date of receipt.
Loading...
Loading...
Loading...
Loading...