p57 Kip2 Antibody (KIP2/7083R) - Azide and BSA Free
Novus Biologicals, part of Bio-Techne | Catalog # NBP3-14222
Recombinant Monoclonal Antibody
Conjugate
Catalog #
Key Product Details
Species Reactivity
Human, Mouse
Applications
Immunohistochemistry-Paraffin
Label
Unconjugated
Antibody Source
Recombinant Monoclonal Rabbit IgG Clone # KIP2/7083R
Format
Azide and BSA Free
Concentration
1 mg/ml
Product Specifications
Immunogen
Recombinant full-length human p57 Kip2 protein (Uniprot: P49918)
Localization
Nuclear
Specificity
Recognizes a protein of 57kDa, identified as p57Kip2. It shows no cross-reaction with p27Kip1. p57Kip2 is a potent tight-binding inhibitor of several G1 cyclin complexes, and is a negative regulator of cell proliferation. Anti-p57 has been used as an aide in identification of complete hydatidiform mole (CHM) (no nuclear labeling of cytotrophoblasts and stromal cells) from partial hydatidiform mole (PHM) in which both cytotrophoblasts and stromal cells stain. The histological differentiation of complete mole, partial mole, and hydropic spontaneous abortion is problematic. Most complete hydatidiform moles are diploid, whereas most partial moles are triploid. Ploidy studies will identify partial moles, but will not differentiate complete moles from non-molar gestations. Complete moles carry a high risk of persistent disease and choriocarcinoma, while partial moles have a very low risk. In normal placenta, many cytotrophoblast nuclei and stromal cells are labeled with this antibody. Similar findings apply to PHM and hydropic abortus tissues. Intervillous trophoblastic islands (IVTIs) demonstrate nuclear labeling in all three entities and serve as an internal control.
Clonality
Monoclonal
Host
Rabbit
Isotype
IgG
Theoretical MW
57 kDa.
Disclaimer note: The observed molecular weight of the protein may vary from the listed predicted molecular weight due to post translational modifications, post translation cleavages, relative charges, and other experimental factors.
Disclaimer note: The observed molecular weight of the protein may vary from the listed predicted molecular weight due to post translational modifications, post translation cleavages, relative charges, and other experimental factors.
Description
1.0 mg/ml of antibody purified from Bioreactor Concentrate by Protein A/G. Prepared in 10mM PBS WITHOUT BSA & azide. Also available at 200 ug/ml WITH BSA & azide (NBP3-13832).
Antibody with azide - store at 2 to 8C. Antibody without azide - store at -20 to -80 C.
Antibody with azide - store at 2 to 8C. Antibody without azide - store at -20 to -80 C.
Scientific Data Images for p57 Kip2 Antibody (KIP2/7083R) - Azide and BSA Free
Immunohistochemistry-Paraffin: p57 Kip2 Antibody (KIP2/7083R) - Azide and BSA Free [NBP3-14222] -
Immunohistochemistry-Paraffin: p57 Kip2 Antibody (KIP2/7083R) - Azide and BSA Free [NBP3-14222] - IHC analysis of formalin-fixed, paraffin-embedded human kidney cancer. Strong nuclear staining using p57 Kip2 antibody (KIP2/7083R)at 2ug/ml in PBS for 30min RT. HIER: Tris/EDTA, pH9.0, 45min. HRP-polymer, 30min. DAB, 5min.Immunohistochemistry-Paraffin: p57 Kip2 Antibody (KIP2/7083R) - Azide and BSA Free [NBP3-14222] -
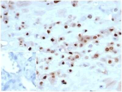
Immunohistochemistry-Paraffin: p57 Kip2 Antibody (KIP2/7083R) - Azide and BSA Free [NBP3-14222] - IHC analysis of formalin-fixed, paraffin-embedded human placenta. Strong nuclear staining using p57 Kip2 antibody (KIP2/7083R) at 2ug/ml in PBS for 30min RT. Inset: PBS instead of primary antibody; secondary only negative control.Applications for p57 Kip2 Antibody (KIP2/7083R) - Azide and BSA Free
Application
Recommended Usage
Immunohistochemistry-Paraffin
0.25-0.5 ug/ml
Application Notes
Immunohistochemistry (Formalin-fixed): 0.25-0.5ug/ml for 30 minutes at RT. Staining of formalin-fixed tissues requires heating tissue sections in 10mM Tris with 1mM EDTA, pH 9.0, for 45 min at 95C followed by cooling at RT for 20 minutes
Formulation, Preparation, and Storage
Purification
Protein A or G purified
Formulation
10mM PBS
Format
Azide and BSA Free
Preservative
No Preservative
Concentration
1 mg/ml
Shipping
The product is shipped with polar packs. Upon receipt, store it immediately at the temperature recommended below.
Stability & Storage
Store at -20 to -80C. Avoid freeze-thaw cycles.
Background: p57 Kip2
Alternate Names
Beckwith-Wiedemann syndrome, BWS, cyclin-dependent kinase inhibitor 1C, cyclin-dependent kinase inhibitor 1C (p57, Kip2), Cyclin-dependent kinase inhibitor p57, KIP2BWCR, p57, p57Kip2, WBS
Gene Symbol
CDKN1C
Additional p57 Kip2 Products
Product Documents for p57 Kip2 Antibody (KIP2/7083R) - Azide and BSA Free
Product Specific Notices for p57 Kip2 Antibody (KIP2/7083R) - Azide and BSA Free
This product is for research use only and is not approved for use in humans or in clinical diagnosis. Primary Antibodies are guaranteed for 1 year from date of receipt.
Loading...
Loading...
Loading...
Loading...