Skip to main content

p53R2 Antibody - Azide and BSA Free

Novus Biologicals, part of Bio-Techne | Catalog # NBP3-00079

Novus Biologicals, part of Bio-Techne

Key Product Details

Species Reactivity

Human

Applications

Immunohistochemistry, Immunohistochemistry-Paraffin, Western Blot, ELISA

Label

Unconjugated

Antibody Source

Polyclonal Rabbit IgG

Format

Azide and BSA Free

Concentration

Please see the vial label for concentration. If unlisted please contact technical services.

Product Specifications

Immunogen

Produced in rabbits immunized with purified, recombinant Human p53R2 (Uniprot#: Q7LG56-1; Met 1-Phe 351)

Clonality

Polyclonal

Host

Rabbit

Isotype

IgG

Description

This antibody can be stored at 2C to 8C for one month without detectable loss of activity. Antibody products are stable for twelve months from date of receipt when stored at -20C to -80C. Avoid repeated freeze-thaw cycles.

Scientific Data Images for p53R2 Antibody - Azide and BSA Free

Western Blot: p53R2 Antibody [NBP3-00079]

Western Blot: p53R2 Antibody [NBP3-00079]

Western Blot: p53R2 Antibody [NBP3-00079] - Anti-p53R2 rabbit polyclonal antibody at 1:500 dilution. Lane A: 293T Whole Cell Lysate. Lysates/proteins at 30 ug per lane. Secondary Goat Anti-Rabbit IgG H&L (Dylight 800) at 1/10000 dilution. Developed using the Odyssey technique. Performed under reducing conditions. Predicted band size: 41 kDa. Observed band size: 50 kDa (We are unsure as to the identity of these extra bands).
Immunohistochemistry-Paraffin: p53R2 Antibody [NBP3-00079]

Immunohistochemistry-Paraffin: p53R2 Antibody [NBP3-00079]

Immunohistochemistry-Paraffin: p53R2 Antibody [NBP3-00079] - Immunochemical staining of human RRM2B in human prostatic carcinomal with rabbit polyclonal antibody (1:1000, formalin-fixed paraffin embedded sections).
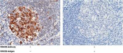
Immunohistochemistry-Paraffin: p53R2 Antibody [NBP3-00079]

Immunohistochemistry-Paraffin: p53R2 Antibody [NBP3-00079]

Immunohistochemistry-Paraffin: p53R2 Antibody [NBP3-00079] - Immunochemical staining of human p53R2 in human tonsil with rabbit polyclonal antibody (1:1000, formalin-fixed paraffin embedded sections). The left panel: tissue incubated with primary antibody; The right panel: tissue incubated with the mixture of primary antibody and antigen (recombinant protein).

Applications for p53R2 Antibody - Azide and BSA Free

Application
Recommended Usage

ELISA

1:5000-1:10000

Immunohistochemistry-Paraffin

1:500-1:2000

Western Blot

1:500-1:2000

Formulation, Preparation, and Storage

Purification

Antigen and protein A Affinity-purified

Formulation

0.2 um filtered solution in PBS

Format

Azide and BSA Free

Preservative

No Preservative

Concentration

Please see the vial label for concentration. If unlisted please contact technical services.

Shipping

The product is shipped with polar packs. Upon receipt, store it immediately at the temperature recommended below.

Stability & Storage

Store at 4C short term. Aliquot and store at -20C long term. Avoid freeze-thaw cycles.

Background: p53R2

The p53 tumor-suppressor gene integrates numerous signals that control cell life and death. Several novel molecules involved in p53 signaling, including p53R2, Chk2, p53AIP1, Noxa, PIDD, and PID/MTA2, were recently discovered. p53R2 is a p53 inducible gene that contains a p53 binding sequence and encodes a subunit of the enzyme ribonucleotide reductase. p53R2 is induced by the reagents, ultraviolet and g-irradiation that cause DNA damages. The product of p53R2 gene is directly involved in the p53 checkpoint for repair of damaged DNA. The isoform of the p53 family member p73 also induces p53R2 expression. p53R2 is an important target of p53 for tumour suppression.

Alternate Names

RRM2B

Gene Symbol

RRM2B

Additional p53R2 Products

Product Documents for p53R2 Antibody - Azide and BSA Free

Certificate of Analysis

To download a Certificate of Analysis, please enter a lot number in the search box below.

Product Specific Notices for p53R2 Antibody - Azide and BSA Free

This product is for research use only and is not approved for use in humans or in clinical diagnosis. Primary Antibodies are guaranteed for 1 year from date of receipt.

Loading...
Loading...
Loading...
Loading...