Skip to main content

p53R2 Antibody

Novus Biologicals, part of Bio-Techne | Catalog # NBP2-19668

Novus Biologicals, part of Bio-Techne
Catalog #
Availability
Size / Price
Qty
Loading...
NBP2-19668

Key Product Details

Species Reactivity

Human, Mouse

Applications

Immunohistochemistry, Immunohistochemistry-Paraffin, Western Blot

Label

Unconjugated

Antibody Source

Polyclonal Rabbit IgG

Concentration

Concentrations vary lot to lot. See vial label for concentration. If unlisted please contact technical services.

Product Specifications

Immunogen

Recombinant protein encompassing a sequence within the center region of human p53R2. The exact sequence is proprietary.

Localization

Cytoplasm; Nucleus

Clonality

Polyclonal

Host

Rabbit

Isotype

IgG

Theoretical MW

41 kDa.
Disclaimer note: The observed molecular weight of the protein may vary from the listed predicted molecular weight due to post translational modifications, post translation cleavages, relative charges, and other experimental factors.

Description

Novus Biologicals Rabbit p53R2 Antibody (NBP2-19668) is a polyclonal antibody validated for use in IHC and WB. All Novus Biologicals antibodies are covered by our 100% guarantee.

Scientific Data Images for p53R2 Antibody

Western Blot: p53R2 Antibody [NBP2-19668]

Western Blot: p53R2 Antibody [NBP2-19668]

Western Blot: p53R2 Antibody [NBP2-19668] - Sample (50 ug of whole cell lysate) A: Mouse Brain, 10% SDS PAGE gel, diluted at 1:1000.
Western Blot: p53R2 Antibody [NBP2-19668]

Western Blot: p53R2 Antibody [NBP2-19668]

Western Blot: p53R2 Antibody [NBP2-19668] - Sample (30 ug of whole cell lysate) A: IMR32 10% SDS PAGE gel, diluted at 1:1000.
p53R2 Antibody

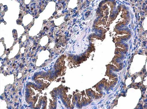
Immunohistochemistry-Paraffin: p53R2 Antibody [NBP2-19668] -

Immunohistochemistry-Paraffin: p53R2 Antibody [NBP2-19668] - p53R2 antibody [N1C3] detects p53R2 protein at cytoplasm in mouse lung by immunohistochemical analysis.
Sample: Paraffin-embedded mouse lung.
p53R2 antibody [N1C3] (NBP2-19668) diluted at 1:500.

Antigen Retrieval: Citrate buffer, pH 6.0, 15 min

Applications for p53R2 Antibody

Application
Recommended Usage

Immunohistochemistry

10 - 1:500

Immunohistochemistry-Paraffin

1:100-1:1000

Western Blot

1:500-1:3000

Formulation, Preparation, and Storage

Purification

Antigen Affinity-purified

Formulation

PBS, 1% BSA, 20% Glycerol

Preservative

0.01% Thimerosal

Concentration

Concentrations vary lot to lot. See vial label for concentration. If unlisted please contact technical services.

Shipping

The product is shipped with polar packs. Upon receipt, store it immediately at the temperature recommended below.

Stability & Storage

Aliquot and store at -20C or -80C. Avoid freeze-thaw cycles.

Background: p53R2

This gene encodes the small subunit of a p53-inducible ribonucleotide reductase. This heterotetrameric enzyme catalyzes the conversion of ribonucleoside diphosphates to deoxyribonucleoside diphosphates. The product of this reaction is necessary for DNA synthesis. Mutations in this gene have been associated with autosomal recessive mitochondrial DNA depletion syndrome, autosomal dominant progressive external ophthalmoplegia-5, and mitochondrial neurogastrointestinal encephalopathy. Alternatively spliced transcript variants have been described.

Alternate Names

RRM2B

Gene Symbol

RRM2B

UniProt

Additional p53R2 Products

Product Documents for p53R2 Antibody

Certificate of Analysis

To download a Certificate of Analysis, please enter a lot number in the search box below.

Product Specific Notices for p53R2 Antibody

This product is for research use only and is not approved for use in humans or in clinical diagnosis. Primary Antibodies are guaranteed for 1 year from date of receipt.

Loading...
Loading...
Loading...
Loading...

⚠ WARNING: This product can expose you to chemicals including mercury, which is known to the State of California to cause reproductive toxicity with developmental effects.  For more information go to www.P65Warnings.ca.gov.