Skip to main content

P4HA3 Antibody - BSA Free

Novus Biologicals, part of Bio-Techne | Catalog # NBP1-84396

Novus Biologicals, part of Bio-Techne
Catalog #
Availability
Size / Price
Qty
Loading...
NBP1-84396
NBP1-84396-25ul

Key Product Details

Species Reactivity

Validated:

Human

Predicted:

Mouse (93%), Rat (92%). Backed by our 100% Guarantee.

Applications

Immunohistochemistry, Immunohistochemistry-Paraffin

Label

Unconjugated

Antibody Source

Polyclonal Rabbit IgG

Format

BSA Free

Concentration

Concentrations vary lot to lot. See vial label for concentration. If unlisted please contact technical services.

Product Specifications

Immunogen

This antibody was developed against Recombinant Protein corresponding to amino acids: TTPVANPLLAFTLIKRLQSDWRNVVHSLEASENIRALKDGYEKVEQDLPAFEDLEGAARALMRLQDVYMLNVKGLARGVFQRVTGSAITDLYSPKRLFSLTGDDCFQVGKV

Clonality

Polyclonal

Host

Rabbit

Isotype

IgG

Description

Novus Biologicals Rabbit P4HA3 Antibody - BSA Free (NBP1-84396) is a polyclonal antibody validated for use in IHC. All Novus Biologicals antibodies are covered by our 100% guarantee.

Scientific Data Images for P4HA3 Antibody - BSA Free

Immunohistochemistry-Paraffin: P4HA3 Antibody [NBP1-84396]

Immunohistochemistry-Paraffin: P4HA3 Antibody [NBP1-84396]

Immunohistochemistry-Paraffin: P4HA3 Antibody [NBP1-84396] - Staining of human uterus shows moderate cytoplasmic positivity in smooth muscle cells.
Immunohistochemistry-Paraffin: P4HA3 Antibody [NBP1-84396]

Immunohistochemistry-Paraffin: P4HA3 Antibody [NBP1-84396]

Immunohistochemistry-Paraffin: P4HA3 Antibody [NBP1-84396] - Staining of human smooth muscle shows strong cytoplasmic positivity in smooth muscle cells.
Immunohistochemistry-Paraffin: P4HA3 Antibody [NBP1-84396]

Immunohistochemistry-Paraffin: P4HA3 Antibody [NBP1-84396]

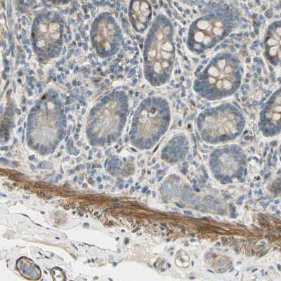
Immunohistochemistry-Paraffin: P4HA3 Antibody [NBP1-84396] - Staining of human pancreas shows no positivity in exocrine glandular cells as expected.

Applications for P4HA3 Antibody - BSA Free

Application
Recommended Usage

Immunohistochemistry

1:50 - 1:200

Immunohistochemistry-Paraffin

1:50 - 1:200
Application Notes
HIER pH6 retrieval is recommended.

Reviewed Applications

Read 1 review rated 5 using NBP1-84396 in the following applications:

Formulation, Preparation, and Storage

Purification

Immunogen affinity purified

Formulation

PBS (pH 7.2) and 40% Glycerol

Format

BSA Free

Preservative

0.02% Sodium Azide

Concentration

Concentrations vary lot to lot. See vial label for concentration. If unlisted please contact technical services.

Shipping

The product is shipped with polar packs. Upon receipt, store it immediately at the temperature recommended below.

Stability & Storage

Store at 4C short term. Aliquot and store at -20C long term. Avoid freeze-thaw cycles.

Background: P4HA3

The P4HA3 gene encodes a component of prolyl 4-hydroxylase, a key enzyme in collagen synthesis composed of two identical alpha subunits and two beta subunits. The encoded protein is one of several different types of alpha subunits and provides the major part o

Alternate Names

2-oxoglutarate-4-dioxygenase subunit alpha-3, 4-PH alpha-3, alpha polypeptide III, collagen prolyl 4-hydroxylase alpha(III), C-P4H alpha III, C-P4Halpha(III), EC 1.14.11.2, Procollagen-proline, procollagen-proline, 2-oxoglutarate 4-dioxygenase (proline 4-hydroxylase), prolyl 4-hydroxylase subunit alpha-3, prolyl 4-hydroxylase, alpha polypeptide III

Gene Symbol

P4HA3

Additional P4HA3 Products

Product Documents for P4HA3 Antibody - BSA Free

Certificate of Analysis

To download a Certificate of Analysis, please enter a lot number in the search box below.

Product Specific Notices for P4HA3 Antibody - BSA Free

This product is for research use only and is not approved for use in humans or in clinical diagnosis. Primary Antibodies are guaranteed for 1 year from date of receipt.

Loading...
Loading...
Loading...
Loading...