Skip to main content

P4HA2 Antibody (CL0351) - Azide and BSA Free

Novus Biologicals, part of Bio-Techne | Catalog # NBP3-43972

Novus Biologicals, part of Bio-Techne
Catalog #
Availability
Size / Price
Qty
Loading...
NBP3-43972

Key Product Details

Validated by

Knockout/Knockdown, Orthogonal Validation

Species Reactivity

Human

Applications

Immunohistochemistry-Paraffin, Western Blot

Label

Unconjugated

Antibody Source

Monoclonal Mouse IgG1 Clone # CL0351

Format

Azide and BSA Free

Concentration

LYOPH mg/ml

Product Specifications

Immunogen

This antibody was generated using a recombinant protein sequence of O15460, with the exact immunogen sequence remaining proprietary.

Clonality

Monoclonal

Host

Mouse

Isotype

IgG1

Description

Novus Biologicals Mouse P4HA2 Antibody (CL0351) - Azide and BSA Free (NBP2-52922) is a monoclonal antibody validated for use in IHC and WB. All Novus Biologicals antibodies are covered by our 100% guarantee.

Scientific Data Images for P4HA2 Antibody (CL0351) - Azide and BSA Free

P4HA2 Antibody (CL0351) - Azide and BSA Free Western Blot: P4HA2 Antibody [NBP3-43972]

Western Blot: P4HA2 Antibody [NBP3-43972]

Lane 1: Marker [kDa]
Lane 2: Human cell line U-251 MG
P4HA2 Antibody (CL0351) - Azide and BSA Free Immunohistochemistry-Paraffin: P4HA2 Antibody [NBP3-43972]

Immunohistochemistry-Paraffin: P4HA2 Antibody [NBP3-43972]

Analysis in human epididymis and skeletal muscle tissues using NBP3-43972 antibody. Corresponding P4HA2 RNA-seq data are presented for the same tissues.
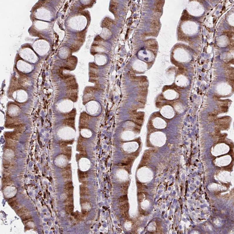
P4HA2 Antibody (CL0351) - Azide and BSA Free Immunohistochemistry-Paraffin: P4HA2 Antibody [NBP3-43972]

Immunohistochemistry-Paraffin: P4HA2 Antibody [NBP3-43972]

Staining of human fallopian tube shows moderate to strong cytoplasmic positivity in glandular cells.

Applications for P4HA2 Antibody (CL0351) - Azide and BSA Free

Application
Recommended Usage

Immunohistochemistry-Paraffin

1:200 - 1:500

Western Blot

1 ug/ml
Application Notes
For IHC-Paraffin, HIER pH 6 retrieval is recommended.

Formulation, Preparation, and Storage

Purification

Protein A purified

Reconstitution

Centrifuge the vial of lyophilized antibody at 12,000 x g for 20 seconds. Reconstitute by adding sterile, distilled water to achieve a final antibody concentration of 1mg/ml.

Formulation

Lyophilized from a 0.2 um filtered solution in PBS with Trehalose

Format

Azide and BSA Free

Preservative

No Preservative

Concentration

LYOPH mg/ml

Shipping

The product is shipped at ambient temperature. Upon receipt, store it immediately at the temperature recommended below.

Stability & Storage

Store at 4C short term. Aliquot and store at -20C long term. Avoid freeze-thaw cycles.

Background: P4HA2

P4HA2 encodes a component of prolyl 4-hydroxylase, a key enzyme in collagen synthesis composed of two identical alpha subunits and two beta subunits. The encoded protein is one of several different types of alpha subunits and provides the major part of the catalytic site of the active enzyme. In collagen and related proteins, prolyl 4-hydroxylase catalyzes the formation of 4-hydroxyproline that is essential to the proper three-dimensional folding of newly synthesized procollagen chains. Alternatively spliced transcript variants encoding different isoforms have been described.

Alternate Names

2-oxoglutarate-4-dioxygenase subunit alpha-2, 4-PH alpha 2, 4-PH alpha-2, alpha polypeptide II, collagen prolyl 4-hydroxylase alpha(II), C-P4Halpha(II), EC 1.14.11.2, Procollagen-proline, procollagen-proline, 2-oxoglutarate 4-dioxygenase (proline 4-hydroxylase), prolyl 4-hydroxylase subunit alpha-2, prolyl 4-hydroxylase, alpha polypeptide II

Gene Symbol

P4HA2

Additional P4HA2 Products

Product Documents for P4HA2 Antibody (CL0351) - Azide and BSA Free

Certificate of Analysis

To download a Certificate of Analysis, please enter a lot number in the search box below.

Product Specific Notices for P4HA2 Antibody (CL0351) - Azide and BSA Free

This product is for research use only and is not approved for use in humans or in clinical diagnosis. Primary Antibodies are guaranteed for 1 year from date of receipt.

Loading...
Loading...
Loading...
Loading...
Loading...