Skip to main content

P4HA1 Antibody

Novus Biologicals, part of Bio-Techne | Catalog # NBP2-19664

Novus Biologicals, part of Bio-Techne
Catalog #
Availability
Size / Price
Qty
Loading...
NBP2-19664

Key Product Details

Species Reactivity

Validated:

Human

Predicted:

Bovine (99%), Chicken (96%), Mouse (97%), Porcine (99%), Rat (95%). Backed by our 100% Guarantee.

Applications

Immunohistochemistry, Immunohistochemistry-Paraffin, Western Blot

Label

Unconjugated

Antibody Source

Polyclonal Rabbit IgG

Concentration

Concentrations vary lot to lot. See vial label for concentration. If unlisted please contact technical services.

Product Specifications

Immunogen

Recombinant protein encompassing a sequence within the C-terminus region of human P4HA1. The exact sequence is proprietary.

Localization

Endoplasmic reticulum lumen

Clonality

Polyclonal

Host

Rabbit

Isotype

IgG

Theoretical MW

61 kDa.
Disclaimer note: The observed molecular weight of the protein may vary from the listed predicted molecular weight due to post translational modifications, post translation cleavages, relative charges, and other experimental factors.

Description

Novus Biologicals Rabbit P4HA1 Antibody (NBP2-19664) is a polyclonal antibody validated for use in IHC and WB. All Novus Biologicals antibodies are covered by our 100% guarantee.

Scientific Data Images for P4HA1 Antibody

P4HA1 Antibody

Western Blot: P4HA1 Antibody [NBP2-19664] -

Western Blot: P4HA1 Antibody [NBP2-19664] - Whole cell extract (30 ug) was separated by 7.5% SDS-PAGE, and the membrane was blotted with P4HA1 antibody [C1C3] (NBP2-19664) diluted at 1:1000. The HRP-conjugated anti-rabbit IgG antibody was used to detect the primary antibody.
P4HA1 Antibody

Western Blot: P4HA1 Antibody [NBP2-19664] -

Western Blot: P4HA1 Antibody [NBP2-19664] - Whole cell extract (30 ug) was separated by 7.5% SDS-PAGE, and the membrane was blotted with P4HA1 antibody [C1C3] (NBP2-19664) diluted at 1:1000. The HRP-conjugated anti-rabbit IgG antibody was used to detect the primary antibody.
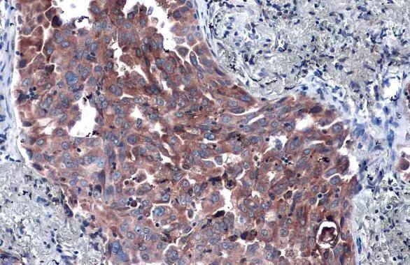
P4HA1 Antibody

Immunohistochemistry-Paraffin: P4HA1 Antibody [NBP2-19664] -

P4HA1 antibody [C1C3] detects P4HA1 protein at cytoplasm by immunohistochemical analysis.
Sample: Paraffin-embedded human lung cancer.
P4HA1 stained by P4HA1 antibody [C1C3] (NBP2-19664) diluted at 1:1000.
Antigen Retrieval: Citrate buffer, pH 6.0, 15 min

Applications for P4HA1 Antibody

Application
Recommended Usage

Immunohistochemistry

1:100-1:1000

Immunohistochemistry-Paraffin

1:100-1:1000

Western Blot

1:500-1:3000

Formulation, Preparation, and Storage

Purification

Antigen Affinity-purified

Formulation

PBS, 1% BSA, 20% Glycerol

Preservative

0.025% Proclin 300

Concentration

Concentrations vary lot to lot. See vial label for concentration. If unlisted please contact technical services.

Shipping

The product is shipped with polar packs. Upon receipt, store it immediately at the temperature recommended below.

Stability & Storage

Aliquot and store at -20C or -80C. Avoid freeze-thaw cycles.

Background: P4HA1

This gene encodes a component of prolyl 4-hydroxylase, a key enzyme in collagen synthesis composed of two identical alpha subunits and two beta subunits. The encoded protein is one of several different types of alpha subunits and provides the major part of the catalytic site of the active enzyme. In collagen and related proteins, prolyl 4-hydroxylase catalyzes the formation of 4-hydroxyproline that is essential to the proper three-dimensional folding of newly synthesized procollagen chains. Alternatively spliced transcript variants encoding different isoforms have been described. [provided by RefSeq]

Long Name

Prolyl 4-Hydroxylase Subunit Alpha 1

Alternate Names

4-PH Alpha-1, P4HA

Gene Symbol

P4HA1

UniProt

Additional P4HA1 Products

Product Documents for P4HA1 Antibody

Certificate of Analysis

To download a Certificate of Analysis, please enter a lot number in the search box below.

Product Specific Notices for P4HA1 Antibody

This product is for research use only and is not approved for use in humans or in clinical diagnosis. Primary Antibodies are guaranteed for 1 year from date of receipt.

Loading...
Loading...
Loading...
Loading...

⚠ WARNING: This product can expose you to chemicals including mercury, which is known to the State of California to cause reproductive toxicity with developmental effects.  For more information go to www.P65Warnings.ca.gov.