Skip to main content

p14ARF/CDKN2A Antibody (4C6/4) - Azide and BSA Free

Novus Biologicals, part of Bio-Techne | Catalog # NBP3-08233

Novus Biologicals, part of Bio-Techne
Catalog #
Availability
Size / Price
Qty
Loading...
NBP3-08233

Key Product Details

Species Reactivity

Human, Rat

Applications

Immunohistochemistry, Immunohistochemistry-Paraffin, Western Blot, Flow Cytometry, Immunocytochemistry/ Immunofluorescence

Label

Unconjugated

Antibody Source

Monoclonal Mouse IgG2a Kappa Clone # 4C6/4

Format

Azide and BSA Free

Concentration

1 mg/ml

Product Specifications

Immunogen

Recombinant full-length human p14ARF/CDKN2A protein (Uniprot: P42771)

Localization

Nuclear and Cytoplasmic

Clonality

Monoclonal

Host

Mouse

Isotype

IgG2a Kappa

Theoretical MW

14 kDa.
Disclaimer note: The observed molecular weight of the protein may vary from the listed predicted molecular weight due to post translational modifications, post translation cleavages, relative charges, and other experimental factors.

Description

1.0 mg/ml of antibody purified from Bioreactor Concentrate by Protein A/G. Prepared in 10mM PBS WITHOUT BSA & azide. Also available at 200 ug/ml WITH BSA & azide (NBP3-07234).

Antibody with azide - store at 2 to 8C. Antibody without azide - store at -20 to -80C.

Scientific Data Images for p14ARF/CDKN2A Antibody (4C6/4) - Azide and BSA Free

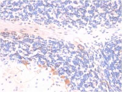
Immunohistochemistry-Paraffin: p14ARF/CDKN2A Antibody (4C6/4) - Azide and BSA Free [NBP3-08233]

Immunohistochemistry-Paraffin: p14ARF/CDKN2A Antibody (4C6/4) - Azide and BSA Free [NBP3-08233]

Immunohistochemistry-Paraffin: p16INK4a/CDKN2A Antibody (4C6/4) - Azide and BSA Free [NBP3-08233] - Formalin-fixed, paraffin-embedded human Brain stained with p16INK4a/CDKN2A Mouse Monoclonal Antibody (4C6/4).
Immunohistochemistry-Paraffin: p14ARF/CDKN2A Antibody (4C6/4) - Azide and BSA Free [NBP3-08233]

Immunohistochemistry-Paraffin: p14ARF/CDKN2A Antibody (4C6/4) - Azide and BSA Free [NBP3-08233]

Immunohistochemistry-Paraffin: p16INK4a/CDKN2A Antibody (4C6/4) - Azide and BSA Free [NBP3-08233] - Formalin-fixed, paraffin-embedded rat Brain stained with p16INK4a/CDKN2A Mouse Monoclonal Antibody (4C6/4).

Applications for p14ARF/CDKN2A Antibody (4C6/4) - Azide and BSA Free

Application
Recommended Usage

Flow Cytometry

1-2 ug/million cells

Immunocytochemistry/ Immunofluorescence

1-2 ug/ml

Western Blot

1-2 ug/ml
Application Notes
Immunohistochemistry Formalin-fixed: 1-2ug/ml for 30 minutes at RT. Staining of formalin-fixed tissues requires heating tissue sections in 10mM Tris with 1mM EDTA, pH 9.0, for 45 min at 95C followed by cooling at RT for 20 minutes.

Formulation, Preparation, and Storage

Purification

Protein A or G purified

Formulation

10 mM PBS

Format

Azide and BSA Free

Preservative

No Preservative

Concentration

1 mg/ml

Shipping

The product is shipped with polar packs. Upon receipt, store it immediately at the temperature recommended below.

Stability & Storage

Store at -20 to -80C. Avoid freeze-thaw cycles.

Background: p14ARF/CDKN2A

P14ARF is an alternate reading frame (ARF) product of the CDKN2A locus, which acts as a tumor suppressor by inducing cell cycle arrest in G1 and G2 phases and apoptosis.

The INK4a-ARF locus is comprised of two tumor suppressors, p16INK4a and p14ARF. These two proteins are encoded by differential splicing of alternative first exons. The p16INK4a (exon 1 alpha) protein inhibits the cyclin D-dependent kinases (CDK) that control the phosphorylation of the Rb protein and cell proliferation. The p14ARF protein complexes with MDM2 within the nucleus, thus modulating the activity of the p53 protein. P14ARF is a potent tumor suppressor in the presence of wild-type p53, while mutant p53 substantially reduces growth inhibition by p14ARF.

Alternate Names

ARF, CDK4 inhibitor p16-INK4, CDK4IP14ARF, CDKN2, cell cycle negative regulator beta, CMM2P16-INK4A, Cyclin-dependent kinase 4 inhibitor A, cyclin-dependent kinase inhibitor 2A, cyclin-dependent kinase inhibitor 2A (melanoma, p16, inhibits CDK4), INK4, INK4a, MLMP16INK4, MTS-1, MTS1P14, Multiple tumor suppressor 1, p14, p14ARF, P16, p16-INK4, p16INK4a, p16-INK4a, P19, P19ARF, TP16

Gene Symbol

CDKN2A

Additional p14ARF/CDKN2A Products

Product Documents for p14ARF/CDKN2A Antibody (4C6/4) - Azide and BSA Free

Certificate of Analysis

To download a Certificate of Analysis, please enter a lot number in the search box below.

Product Specific Notices for p14ARF/CDKN2A Antibody (4C6/4) - Azide and BSA Free

This product is for research use only and is not approved for use in humans or in clinical diagnosis. Primary Antibodies are guaranteed for 1 year from date of receipt.

Loading...
Loading...
Loading...
Loading...
Loading...