Skip to main content

Otx2 Antibody (PSH01-61)

Novus Biologicals, part of Bio-Techne | Catalog # NBP3-32683

Recombinant Monoclonal Antibody
Novus Biologicals, part of Bio-Techne
Catalog #
Availability
Size / Price
Qty
Loading...
NBP3-32683

Key Product Details

Species Reactivity

Human, Mouse, Rat

Applications

Immunohistochemistry, Immunohistochemistry-Paraffin, Western Blot, Flow Cytometry, Immunocytochemistry/ Immunofluorescence

Label

Unconjugated

Antibody Source

Recombinant Monoclonal Rabbit IgG Clone # PSH01-61 expressed in HEK293

Concentration

1 mg/ml

Product Specifications

Immunogen

Recombinant protein within human OTX2 aa 1-289. (Uniprot: P32243)

Localization

Nucleus.

Clonality

Monoclonal

Host

Rabbit

Isotype

IgG

Theoretical MW

32 kDa.
Disclaimer note: The observed molecular weight of the protein may vary from the listed predicted molecular weight due to post translational modifications, post translation cleavages, relative charges, and other experimental factors.

Description

Novus Biologicals Rabbit Otx2 Antibody (PSH01-61) (NBP3-32683) is a recombinant monoclonal antibody validated for use in IHC, WB, Flow and ICC/IF. All Novus Biologicals antibodies are covered by our 100% guarantee.

Scientific Data Images for Otx2 Antibody (PSH01-61)

Otx2 Antibody (PSH01-61)

Western Blot: Otx2 Antibody (PSH01-61) [NBP3-32683]

Western Blot: Otx2 Antibody (PSH01-61) [NBP3-32683] - Western blot analysis of Otx2 on different lysates with Rabbit anti-Otx2 antibody (NBP3-32683) at 1/1,000 dilution.

Lane 1: 293T transfected with FLAG-tagged empty control cell lysate
Lane 2: 293T transfected with FLAG-tagged Otx2 cell lysate

Lysates/proteins at 30 ug/Lane.

Predicted band size: 32 kDa
Observed band size: 32 kDa

Exposure time: 24 seconds;

4-20% SDS-PAGE gel.

Proteins were transferred to a PVDF membrane and blocked with 5% NFDM/TBST for 1 hour at room temperature. The primary antibody (NBP3-32683) at 1/1,000 dilution was used in 5% NFDM/TBST at room temperature for 2 hours. Goat Anti-Rabbit IgG - HRP Secondary Antibody at 1/100,000 dilution was used for 1 hour at room temperature.
Otx2 Antibody (PSH01-61)

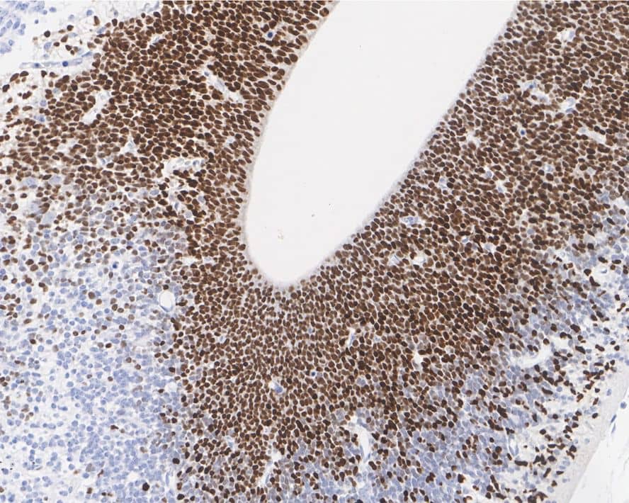
Immunohistochemistry: Otx2 Antibody (PSH01-61) [NBP3-32683]

Immunohistochemistry: Otx2 Antibody (PSH01-61) [NBP3-32683] - Immunohistochemical analysis of paraffin-embedded mouse embryo tissue with Rabbit anti-Otx2 antibody (NBP3-32683) at 1/1,000 dilution.

The section was pre-treated using heat mediated antigen retrieval with sodium citrate buffer (pH 6.0) for 2 minutes. The tissues were blocked in 1% BSA for 20 minutes at room temperature, washed with ddH2O and PBS, and then probed with the primary antibody (NBP3-32683) at 1/1,000 dilution for 1 hour at room temperature. The detection was performed using an HRP conjugated compact polymer system. DAB was used as the chromogen. Tissues were counterstained with hematoxylin and mounted with DPX.
Otx2 Antibody (PSH01-61)

Immunocytochemistry/ Immunofluorescence: Otx2 Antibody (PSH01-61) [NBP3-32683]

Immunocytochemistry/ Immunofluorescence: Otx2 Antibody (PSH01-61) [NBP3-32683] - Immunocytochemistry analysis of 293T overexpress with or without Otx2 cells labeling Otx2 with Rabbit anti-Otx2 antibody (NBP3-32683) at 1/10,000 dilution.

Cells were fixed in 4% paraformaldehyde for 20 minutes at room temperature, permeabilized with 0.1% Triton X-100 in PBS for 5 minutes at room temperature, then blocked with 1% BSA in 10% negative goat serum for 1 hour at room temperature. Cells were then incubated with Rabbit anti-Otx2 antibody (NBP3-32683) at 1/10,000 dilution in 1% BSA in PBST overnight at 4 ℃. Goat Anti-Rabbit IgG H&L (iFluor™ 488) was used as the secondary antibody at 1/1,000 dilution. PBS instead of the primary antibody was used as the secondary antibody only control. Nuclear DNA was labelled in blue with DAPI.

Beta tubulin (red) was stained at 1/100 dilution overnight at +4℃. Goat Anti-Mouse IgG H&L (iFluor™ 594) was used as the secondary antibody at 1/1,000 dilution.

Applications for Otx2 Antibody (PSH01-61)

Application
Recommended Usage

Flow Cytometry

1:1000

Immunocytochemistry/ Immunofluorescence

1:10000

Immunohistochemistry-Paraffin

1:200-1:1000

Western Blot

1:1000

Formulation, Preparation, and Storage

Purification

Protein A purified

Formulation

PBS (pH7.4), 0.1% BSA and 40% Glycerol

Preservative

0.05% Sodium Azide

Concentration

1 mg/ml

Shipping

The product is shipped with polar packs. Upon receipt, store it immediately at the temperature recommended below.

Stability & Storage

Store at 4C short term. Aliquot and store at -20C long term. Avoid freeze-thaw cycles.

Background: Otx2

Homeobox protein Otx2 is a member of the bicoid sub-family of homeodomain-containing transcription factors. It is an early marker of endodermal differentiation of embryonic stem cells and may play a role in the development of the brain and the sense organs. Two distinct isoforms have been identified. Can bind to the BCD target sequence (BTS): 5'-TCTAATCCC-3'.

Long Name

Orthodenticle Homolog 2

Alternate Names

homeobox protein OTX2, MCOPS5, MGC45000, orthodenticle homeobox 2, Orthodenticle homolog 2, orthodenticle homolog 2 (Drosophila), OTX2

Gene Symbol

OTX2

Additional Otx2 Products

Product Documents for Otx2 Antibody (PSH01-61)

Certificate of Analysis

To download a Certificate of Analysis, please enter a lot number in the search box below.

Product Specific Notices for Otx2 Antibody (PSH01-61)

This product is for research use only and is not approved for use in humans or in clinical diagnosis. Primary Antibodies are guaranteed for 1 year from date of receipt.

Loading...
Loading...
Loading...
Loading...
Loading...