Skip to main content

Otoraplin/OTOR Antibody - BSA Free

Novus Biologicals, part of Bio-Techne | Catalog # NBP1-83912

Novus Biologicals, part of Bio-Techne
Catalog #
Availability
Size / Price
Qty
Loading...
NBP1-83912
NBP1-83912-25ul

Key Product Details

Species Reactivity

Validated:

Human

Predicted:

Mouse (90%). Backed by our 100% Guarantee.

Applications

Immunohistochemistry, Immunohistochemistry-Paraffin, Western Blot

Label

Unconjugated

Antibody Source

Polyclonal Rabbit IgG

Format

BSA Free

Concentration

Concentrations vary lot to lot. See vial label for concentration. If unlisted please contact technical services.

Product Specifications

Immunogen

This antibody was developed against Recombinant Protein corresponding to amino acids: RLASKKLCADDECVYTISLASAQEDYNAPDCRFINVKKGQQIYVYSKLVKENGAGEFWAGSVYGDGQDEMGVVGYFPRNLVKEQRVYQEATKEVPTTDIDFFCE

Reactivity Notes

Immunogen displays the following percentage of sequence identity for non-tested species: Rat (89%)

Clonality

Polyclonal

Host

Rabbit

Isotype

IgG

Scientific Data Images for Otoraplin/OTOR Antibody - BSA Free

Otoraplin/OTOR Antibody - BSA Free Immunohistochemistry-Paraffin: Otoraplin/OTOR Antibody - BSA Free [NBP1-83912]

Immunohistochemistry-Paraffin: Otoraplin/OTOR Antibody - BSA Free [NBP1-83912]

Staining of human placenta shows moderate cytoplasmic and membranous positivity in trophoblastic cells.
Otoraplin/OTOR Antibody - BSA Free Immunohistochemistry-Paraffin: Otoraplin/OTOR Antibody - BSA Free [NBP1-83912]

Immunohistochemistry-Paraffin: Otoraplin/OTOR Antibody - BSA Free [NBP1-83912]

Staining of human skin shows weak cytoplasmic positivity in squamous epithelial cells.
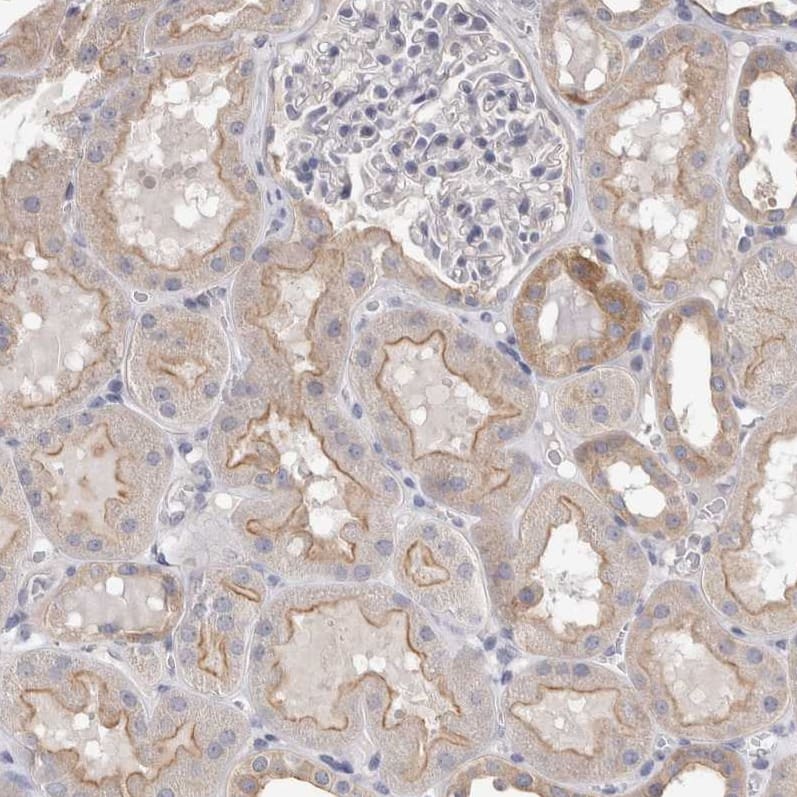
Otoraplin/OTOR Antibody - BSA Free Immunohistochemistry-Paraffin: Otoraplin/OTOR Antibody - BSA Free [NBP1-83912]

Immunohistochemistry-Paraffin: Otoraplin/OTOR Antibody - BSA Free [NBP1-83912]

Staining of human kidney shows moderate cytoplasmic and membranous positivity in cells in tubules.

Applications for Otoraplin/OTOR Antibody - BSA Free

Application
Recommended Usage

Immunohistochemistry

1:50 - 1:200

Immunohistochemistry-Paraffin

1:50 - 1:200

Western Blot

0.04-0.4 ug/ml
Application Notes
For IHC-Paraffin, HIER pH 6 retrieval is recommended.

Formulation, Preparation, and Storage

Purification

Affinity purified

Formulation

PBS (pH 7.2) and 40% Glycerol

Format

BSA Free

Preservative

0.02% Sodium Azide

Concentration

Concentrations vary lot to lot. See vial label for concentration. If unlisted please contact technical services.

Shipping

The product is shipped with polar packs. Upon receipt, store it immediately at the temperature recommended below.

Stability & Storage

Store at 4C short term. Aliquot and store at -20C long term. Avoid freeze-thaw cycles.

Background: Otoraplin/OTOR

OTOR is encoded by this gene is secreted via the Golgi apparatus and may function in cartilage development and maintenance. A frequent polymorphism in the translation start codon of this gene can abolish translation and may be associated with forms of deafness. This gene is a member of the melanoma-inhibiting activity gene family. In addition, alternate polyA sites exist for this gene.

Alternate Names

MIAL1, OTOR

Gene Symbol

OTOR

Additional Otoraplin/OTOR Products

Product Documents for Otoraplin/OTOR Antibody - BSA Free

Certificate of Analysis

To download a Certificate of Analysis, please enter a lot number in the search box below.

Product Specific Notices for Otoraplin/OTOR Antibody - BSA Free

This product is for research use only and is not approved for use in humans or in clinical diagnosis. Primary Antibodies are guaranteed for 1 year from date of receipt.

Loading...
Loading...
Loading...
Loading...