Skip to main content

Osterix/Sp7 Antibody - BSA Free

Novus Biologicals, part of Bio-Techne | Catalog # NBP2-38019

Novus Biologicals, part of Bio-Techne
Catalog #
Availability
Size / Price
Qty
Loading...
NBP2-38019
NBP2-38019-25ul

Key Product Details

Species Reactivity

Validated:

Human

Predicted:

Mouse (99%), Rat (99%). Backed by our 100% Guarantee.

Applications

Immunohistochemistry, Immunohistochemistry-Paraffin

Label

Unconjugated

Antibody Source

Polyclonal Rabbit IgG

Format

BSA Free

Concentration

Concentrations vary lot to lot. See vial label for concentration. If unlisted please contact technical services.

Product Specifications

Immunogen

This antibody was developed against a recombinant protein corresponding to amino acids: QGQGDGLQGTLPTGPAQPPLNPQLPTYPSDFAPLNPAPYPAPHLLQPGPQHVLPQDVYKPKAVGNSG

Clonality

Polyclonal

Host

Rabbit

Isotype

IgG

Description

Novus Biologicals Rabbit Osterix/Sp7 Antibody - BSA Free (NBP2-38019) is a polyclonal antibody validated for use in IHC. Anti-Osterix/Sp7 Antibody: Cited in 1 publication. All Novus Biologicals antibodies are covered by our 100% guarantee.

Scientific Data Images for Osterix/Sp7 Antibody - BSA Free

Immunohistochemistry-Paraffin: Osterix/Sp7 Antibody [NBP2-38019]

Immunohistochemistry-Paraffin: Osterix/Sp7 Antibody [NBP2-38019]

Immunohistochemistry-Paraffin: Osterix/Sp7 Antibody [NBP2-38019] - Staining of human placenta shows no positivity in trophoblastic cells as expected.
Immunohistochemistry-Paraffin: Osterix/Sp7 Antibody [NBP2-38019]

Immunohistochemistry-Paraffin: Osterix/Sp7 Antibody [NBP2-38019]

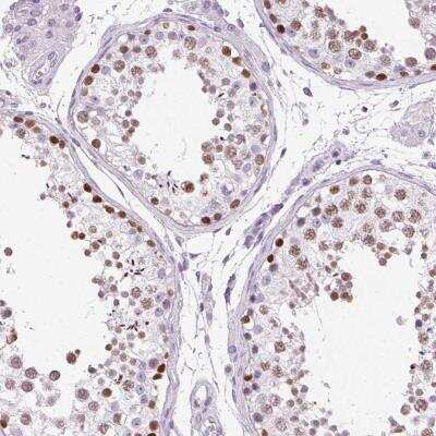
Immunohistochemistry-Paraffin: Osterix/Sp7 Antibody [NBP2-38019] - Staining of human testis shows distinct nuclear positivity in cells in seminiferous ducts.
Immunohistochemistry-Paraffin: Osterix/Sp7 Antibody [NBP2-38019]

Immunohistochemistry-Paraffin: Osterix/Sp7 Antibody [NBP2-38019]

Immunohistochemistry-Paraffin: Osterix/Sp7 Antibody [NBP2-38019] - Staining of human tonsil shows no positivity in non-germinal center cells as expected.

Applications for Osterix/Sp7 Antibody - BSA Free

Application
Recommended Usage

Immunohistochemistry

1:1000 - 1:2500

Immunohistochemistry-Paraffin

1:1000 - 1:2500
Application Notes
For IHC-Paraffin, HIER pH 6 retrieval is recommended.

Formulation, Preparation, and Storage

Purification

Affinity purified

Formulation

PBS (pH 7.2) and 40% Glycerol

Format

BSA Free

Preservative

0.02% Sodium Azide

Concentration

Concentrations vary lot to lot. See vial label for concentration. If unlisted please contact technical services.

Shipping

The product is shipped with polar packs. Upon receipt, store it immediately at the temperature recommended below.

Stability & Storage

Store at 4C short term. Aliquot and store at -20C long term. Avoid freeze-thaw cycles.

Background: Osterix/Sp7

SP7 is a C2H2-type zinc finger transcription factor of the SP gene family and a putative master regulator of bone cell differentiation (Gao et al., 2004 [PubMed 15474293]).[supplied by OMIM]

Long Name

Sp7 Transcription Factor

Alternate Names

OSX, Sp7

Gene Symbol

SP7

UniProt

Additional Osterix/Sp7 Products

Product Documents for Osterix/Sp7 Antibody - BSA Free

Certificate of Analysis

To download a Certificate of Analysis, please enter a lot number in the search box below.

Product Specific Notices for Osterix/Sp7 Antibody - BSA Free

This product is for research use only and is not approved for use in humans or in clinical diagnosis. Primary Antibodies are guaranteed for 1 year from date of receipt.

Loading...
Loading...
Loading...
Loading...