Skip to main content

OSGEPL1 Antibody - BSA Free

Novus Biologicals, part of Bio-Techne | Catalog # NBP1-85928

Novus Biologicals, part of Bio-Techne
Catalog #
Availability
Size / Price
Qty
Loading...
NBP1-85928
NBP1-85928-25ul

Key Product Details

Species Reactivity

Validated:

Human

Predicted:

Mouse (92%), Rat (93%). Backed by our 100% Guarantee.

Applications

Immunohistochemistry, Immunohistochemistry-Paraffin, Western Blot, Immunocytochemistry/ Immunofluorescence

Label

Unconjugated

Antibody Source

Polyclonal Rabbit IgG

Format

BSA Free

Concentration

Concentrations vary lot to lot. See vial label for concentration. If unlisted please contact technical services.

Product Specifications

Immunogen

This antibody was developed against Recombinant Protein corresponding to amino acids: DETGNVLGEAIHSQTEVHLKTGGIVPPAAQQLHRENIQRIVQEALSASGVSPSDLSAIATTIKPGLALSLGVGLSFSLQLVGQLKKPFIPIHHMEAHALTIRLTNKVEFPFLVLLISGGHCLLALVQGVSD

Clonality

Polyclonal

Host

Rabbit

Isotype

IgG

Description

Novus Biologicals Rabbit OSGEPL1 Antibody - BSA Free (NBP1-85928) is a polyclonal antibody validated for use in IHC, WB and ICC/IF. All Novus Biologicals antibodies are covered by our 100% guarantee.

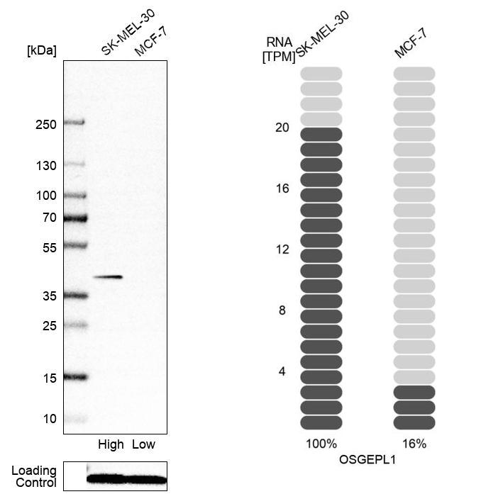
Scientific Data Images for OSGEPL1 Antibody - BSA Free

Immunohistochemistry-Paraffin: OSGEPL1 Antibody [NBP1-85928]

Immunohistochemistry-Paraffin: OSGEPL1 Antibody [NBP1-85928]

Immunohistochemistry-Paraffin: OSGEPL1 Antibody [NBP1-85928] - Staining of human kidney shows strong cytoplasmic positivity in cells in tubules.
OSGEPL1 Antibody - BSA Free Immunohistochemistry-Paraffin: OSGEPL1 Antibody - BSA Free [NBP1-85928]

Immunohistochemistry-Paraffin: OSGEPL1 Antibody - BSA Free [NBP1-85928]

Staining of human duodenum shows strong cytoplasmic positivity in glandular cells.
OSGEPL1 Antibody - BSA Free Immunohistochemistry-Paraffin: OSGEPL1 Antibody - BSA Free [NBP1-85928]

Immunohistochemistry-Paraffin: OSGEPL1 Antibody - BSA Free [NBP1-85928]

Staining of human testis shows strong cytoplasmic positivity in cells in seminiferous ducts.

Applications for OSGEPL1 Antibody - BSA Free

Application
Recommended Usage

Immunocytochemistry/ Immunofluorescence

0.25-2 ug/ml

Immunohistochemistry

1:20 - 1:50

Immunohistochemistry-Paraffin

1:20 - 1:50

Western Blot

0.04-0.4 ug/ml
Application Notes
For IHC-Paraffin, HIER pH 6 retrieval is recommended. Immunocytochemistry/Immunofluorescence Fixation Permeabilization: Use PFA/Triton X-100.

Formulation, Preparation, and Storage

Purification

Affinity purified

Formulation

PBS (pH 7.2) and 40% Glycerol

Format

BSA Free

Preservative

0.02% Sodium Azide

Concentration

Concentrations vary lot to lot. See vial label for concentration. If unlisted please contact technical services.

Shipping

The product is shipped with polar packs. Upon receipt, store it immediately at the temperature recommended below.

Stability & Storage

Store at 4C short term. Aliquot and store at -20C long term. Avoid freeze-thaw cycles.

Background: OSGEPL1

O-sialoglycoprotein endopeptidases specifically cleave the polypeptide backbone of membrane glycoproteinsthat contain clusters of O-linked sialoglycans

Alternate Names

EC 3.4.24.57, O-sialoglycoprotein endopeptidase like 1, O-sialoglycoprotein endopeptidase-like 1, O-sialoglycoprotein endopeptidase-like protein 1, probable O-sialoglycoprotein endopeptidase 2, putative sialoglycoprotease type 2, t(6)A37 threonylcarbamoyladenosine biosynthesis protein OSGEPL1

Gene Symbol

OSGEPL1

Additional OSGEPL1 Products

Product Documents for OSGEPL1 Antibody - BSA Free

Certificate of Analysis

To download a Certificate of Analysis, please enter a lot number in the search box below.

Product Specific Notices for OSGEPL1 Antibody - BSA Free

This product is for research use only and is not approved for use in humans or in clinical diagnosis. Primary Antibodies are guaranteed for 1 year from date of receipt.

Loading...
Loading...
Loading...
Loading...