Skip to main content

OSER1 Antibody - BSA Free

Novus Biologicals, part of Bio-Techne | Catalog # NBP3-12611

Novus Biologicals, part of Bio-Techne
Catalog #
Availability
Size / Price
Qty
Loading...
NBP3-12611-50ul
NBP3-12611-100ul

Key Product Details

Species Reactivity

Human

Applications

Immunohistochemistry, Immunohistochemistry-Paraffin, Western Blot

Label

Unconjugated

Antibody Source

Polyclonal Rabbit IgG

Format

BSA Free

Concentration

Please see the vial label for concentration. If unlisted please contact technical services.

Product Specifications

Immunogen

Produced in rabbits immunized with E. coli-derived Human OSER1 fragment

Clonality

Polyclonal

Host

Rabbit

Isotype

IgG

Description

This antibody can be stored at 2-8C for one month without detectable loss of activity. Antibody products are stable for twelve months from date of receipt when stored at -20C to -80C. Avoid repeated freeze-thaw cycles.

Protein A & Antigen Affinity purified

Scientific Data Images for OSER1 Antibody - BSA Free

Western Blot: OSER1 Antibody [NBP3-12611]

Western Blot: OSER1 Antibody [NBP3-12611]

Western Blot: OSER1 Antibody [NBP3-12611] - Lane A: Mouse liver tissue lysateLysates/proteins at 30 ug per lane.SecondaryGoat Anti-Rabbit IgG (H+L)/HRP at 1/10000 dilution.Developed using the ECL technique.Performed under reducing conditions.Predicted band size:32 kDaObserved band size:32 kDa
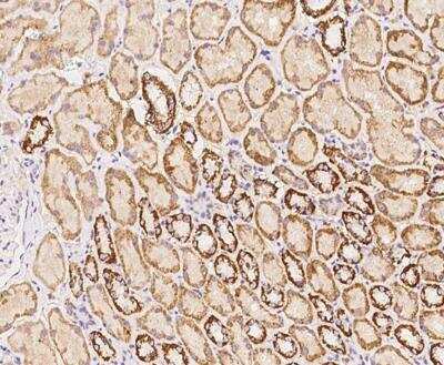
Immunohistochemistry-Paraffin: OSER1 Antibody [NBP3-12611]

Immunohistochemistry-Paraffin: OSER1 Antibody [NBP3-12611]

Immunohistochemistry-Paraffin: OSER1 Antibody [NBP3-12611] - Staining of human C20orf111 in human kidney with rabbit polyclonal antibody at 1:2000 dilution.
OSER1 Antibody - BSA Free

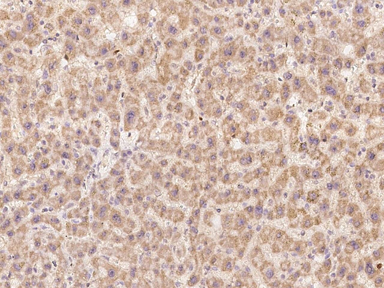
Immunohistochemistry-Paraffin: OSER1 Antibody [NBP3-12611] -

Immunohistochemistry-Paraffin: OSER1 Antibody [NBP3-12611] - Staining of human C20orf111 in human liver with NBP3-12611 at 1:2000 dilution.

Applications for OSER1 Antibody - BSA Free

Application
Recommended Usage

Immunohistochemistry-Paraffin

1:500-1:3000

Western Blot

1:500-1:2000

Formulation, Preparation, and Storage

Purification

Antigen and protein A Affinity-purified

Formulation

PBS

Format

BSA Free

Preservative

0.03% Proclin 300

Concentration

Please see the vial label for concentration. If unlisted please contact technical services.

Shipping

The product is shipped with polar packs. Upon receipt, store it immediately at the temperature recommended below.

Stability & Storage

Store at 4C short term. Aliquot and store at -20C long term. Avoid freeze-thaw cycles.

Background: OSER1

C20orf111( AAH64973, 1 a.a. - 293 a.a.) full-length recombinant protein with GST.

Alternate Names

chromosome 20 open reading frame 111, dJ1183I21.1, HSPC207, Osr1, oxidative stress responsive 1, Perit1, peroxide-inducible transcript 1

Gene Symbol

OSER1

Additional OSER1 Products

Product Documents for OSER1 Antibody - BSA Free

Certificate of Analysis

To download a Certificate of Analysis, please enter a lot number in the search box below.

Product Specific Notices for OSER1 Antibody - BSA Free

This product is for research use only and is not approved for use in humans or in clinical diagnosis. Primary Antibodies are guaranteed for 1 year from date of receipt.

Loading...
Loading...
Loading...
Loading...