OSBPL9 Antibody - BSA Free
Novus Biologicals, part of Bio-Techne | Catalog # NBP1-86390
Key Product Details
Species Reactivity
Validated:
Human
Predicted:
Mouse (95%), Rat (96%). Backed by our 100% Guarantee.
Applications
Immunohistochemistry, Immunohistochemistry-Paraffin, Immunocytochemistry/ Immunofluorescence
Label
Unconjugated
Antibody Source
Polyclonal Rabbit IgG
Format
BSA Free
Concentration
Concentrations vary lot to lot. See vial label for concentration. If unlisted please contact technical services.
Product Specifications
Immunogen
This antibody was developed against Recombinant Protein corresponding to amino acids: PSPLEPVISTMPSQTVLPPEPVQLCKSEQRPSSLPVGPVLATLGHHQTPTPNSTGSGHSPPSSSLTSPSHVNLSPNTV
Clonality
Polyclonal
Host
Rabbit
Isotype
IgG
Scientific Data Images for OSBPL9 Antibody - BSA Free
Immunocytochemistry/ Immunofluorescence: OSBPL9 Antibody [NBP1-86390]
Immunocytochemistry/Immunofluorescence: OSBPL9 Antibody [NBP1-86390] - Staining of human cell line U-2 OS shows localization to cytosol, the Golgi apparatus & vesicles.Immunohistochemistry-Paraffin: OSBPL9 Antibody [NBP1-86390]
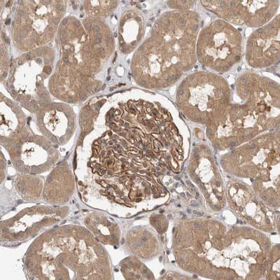
Immunohistochemistry-Paraffin: OSBPL9 Antibody [NBP1-86390] - Staining of human kidney shows strong membranous positivity in glomerular cells.Immunohistochemistry-Paraffin: OSBPL9 Antibody - BSA Free [NBP1-86390]
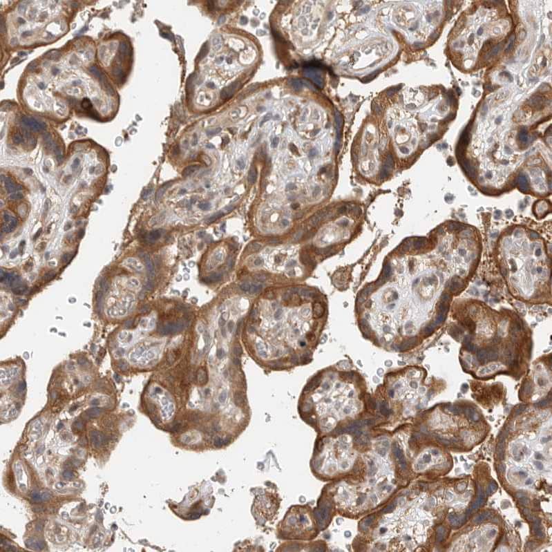
Staining of human placenta shows strong cytoplasmic positivity in trophoblastic cells.Applications for OSBPL9 Antibody - BSA Free
Application
Recommended Usage
Immunocytochemistry/ Immunofluorescence
0.25-2 ug/ml
Immunohistochemistry
1:20 - 1:50
Immunohistochemistry-Paraffin
1:20 - 1:50
Application Notes
For IHC-Paraffin, HIER pH 6 retrieval is recommended. ICC/IF, Fixation Permeabilization: Use PFA/Triton X-100.
Formulation, Preparation, and Storage
Purification
Affinity purified
Formulation
PBS (pH 7.2) and 40% Glycerol
Format
BSA Free
Preservative
0.02% Sodium Azide
Concentration
Concentrations vary lot to lot. See vial label for concentration. If unlisted please contact technical services.
Shipping
The product is shipped with polar packs. Upon receipt, store it immediately at the temperature recommended below.
Stability & Storage
Store at 4C short term. Aliquot and store at -20C long term. Avoid freeze-thaw cycles.
Background: OSBPL9
Alternate Names
FLJ12492, FLJ14629, FLJ14801, FLJ32055, FLJ34384, ORP-9, ORP9MGC15035, OSBP4, OSBP-related protein 9, oxysterol binding protein-like 9, oxysterol-binding protein-related protein 9
Gene Symbol
OSBPL9
Additional OSBPL9 Products
Product Documents for OSBPL9 Antibody - BSA Free
Product Specific Notices for OSBPL9 Antibody - BSA Free
This product is for research use only and is not approved for use in humans or in clinical diagnosis. Primary Antibodies are guaranteed for 1 year from date of receipt.
Loading...
Loading...
Loading...
Loading...