ORP8 Antibody - BSA Free
Novus Biologicals, part of Bio-Techne | Catalog # NBP3-35792
Key Product Details
Species Reactivity
Human, Mouse, Rat
Applications
Immunohistochemistry, Immunohistochemistry-Paraffin, Western Blot, ELISA
Label
Unconjugated
Antibody Source
Polyclonal Rabbit IgG
Format
BSA Free
Concentration
Please see the vial label for concentration. If unlisted please contact technical services.
Product Specifications
Immunogen
Recombinant fusion protein containing a sequence corresponding to amino acids 1-110 of human ORP8 (NP_065892.1).
Sequence:
MEGGLADGEPDRTSLLGDSKDVLGPSTVVANSDESQLLTPGKMSQRQGKEAYPTPTKDLHQPSLSPASPHSQGFERGKEDISQNKDESSLSMSKSKSESKLYNGSEKDSS
Sequence:
MEGGLADGEPDRTSLLGDSKDVLGPSTVVANSDESQLLTPGKMSQRQGKEAYPTPTKDLHQPSLSPASPHSQGFERGKEDISQNKDESSLSMSKSKSESKLYNGSEKDSS
Clonality
Polyclonal
Host
Rabbit
Isotype
IgG
Theoretical MW
101 kDa.
Disclaimer note: The observed molecular weight of the protein may vary from the listed predicted molecular weight due to post translational modifications, post translation cleavages, relative charges, and other experimental factors.
Disclaimer note: The observed molecular weight of the protein may vary from the listed predicted molecular weight due to post translational modifications, post translation cleavages, relative charges, and other experimental factors.
Scientific Data Images for ORP8 Antibody - BSA Free
Western Blot: ORP8 Antibody [NBP3-35792] -
Western Blot: ORP8 Antibody [NBP3-35792] - Western blot analysis of various lysates using ORP8 Rabbit pAb at 1:1000 dilution.Secondary antibody: HRP-conjugated Goat anti-Rabbit IgG (H+L) at 1:10000 dilution.
Lysates/proteins: 25ug per lane.
Blocking buffer: 3% nonfat dry milk in TBST.
Detection: ECL Basic Kit.
Exposure time: 10s.
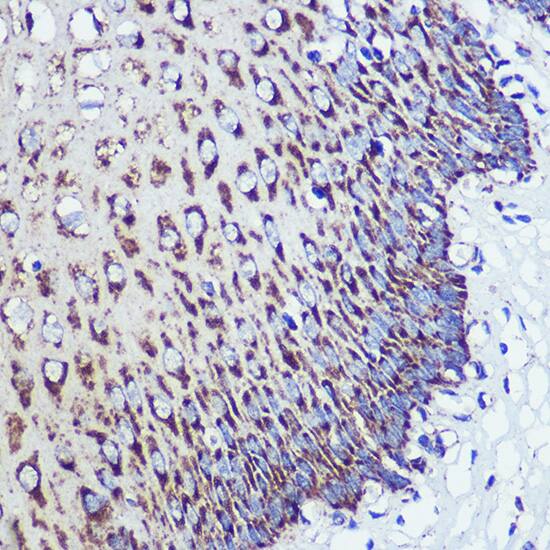
Immunohistochemistry: ORP8 Antibody [NBP3-35792] -
Immunohistochemistry: ORP8 Antibody [NBP3-35792] - Immunohistochemistry analysis of paraffin-embedded Human esophageal using ORP8 Rabbit pAb at dilution of 1:100 (40x lens). Microwave antigen retrieval performed with 0.01M PBS Buffer (pH 7.2) prior to IHC staining.Applications for ORP8 Antibody - BSA Free
Application
Recommended Usage
Immunohistochemistry-Paraffin
1:50 - 1:200
Western Blot
1:500 - 1:2000
Formulation, Preparation, and Storage
Purification
Affinity purified
Formulation
PBS (pH 7.3), 50% glycerol
Format
BSA Free
Preservative
0.01% Thimerosal
Concentration
Please see the vial label for concentration. If unlisted please contact technical services.
Shipping
The product is shipped with polar packs. Upon receipt, store it immediately at the temperature recommended below.
Stability & Storage
Store at -20C. Avoid freeze-thaw cycles.
Background: ORP8
Alternate Names
MGC126578, MGC133203, MST120, MSTP120, ORP-8, ORP8KIAA1451, OSBP10DKFZp686A11164, OSBP-related protein 8, oxysterol binding protein-like 8, oxysterol-binding protein-related protein 8
Gene Symbol
OSBPL8
Additional ORP8 Products
Product Documents for ORP8 Antibody - BSA Free
Product Specific Notices for ORP8 Antibody - BSA Free
This product is for research use only and is not approved for use in humans or in clinical diagnosis. Primary Antibodies are guaranteed for 1 year from date of receipt.
Loading...
Loading...
Loading...
Loading...