ORP150/HSP12A Antibody (6H7X2)
Novus Biologicals, part of Bio-Techne | Catalog # NBP3-15331
Recombinant Monoclonal Antibody
Key Product Details
Species Reactivity
Human, Mouse, Rat
Applications
Immunohistochemistry, Immunohistochemistry-Paraffin, Western Blot
Label
Unconjugated
Antibody Source
Recombinant Monoclonal Rabbit IgG Clone # 6H7X2 expressed in HEK293
Concentration
Please see the vial label for concentration. If unlisted please contact technical services.
Product Specifications
Immunogen
Recombinant fusion protein containing a sequence corresponding to amino acids 1-150 of human ORP150/HSP12A (Q9Y4L1). MADKVRRQRPRRRVCWALVAVLLADLLALSDTLAVMSVDLGSESMKVAIVKPGVPMEIVLNKESRRKTPVIVTLKENERFFGDSAASMAIKNPKATLRYFQHLLGKQADNPHVALYQARFPEHELTFDPQRQTVHFQISSQLQFSPEEVL
Clonality
Monoclonal
Host
Rabbit
Isotype
IgG
Description
Novus Biologicals Rabbit ORP150/HSP12A Antibody (6H7X2) (NBP3-15331) is a recombinant monoclonal antibody validated for use in IHC and WB. All Novus Biologicals antibodies are covered by our 100% guarantee.
Scientific Data Images for ORP150/HSP12A Antibody (6H7X2)
Western Blot: ORP150/HSP12A Antibody (6H7X2) [NBP3-15331]
Western Blot: ORP150/HSP12A Antibody (6H7X2) [NBP3-15331] - Western blot analysis of extracts of various cell lines, using ORP150/HSP12A Rabbit mAb (NBP3-15331) at 1:1000 dilution. Secondary antibody: HRP Goat Anti-Rabbit IgG (H+L) at 1:10000 dilution. Lysates/proteins: 25ug per lane. Blocking buffer: 3% nonfat dry milk in TBST. Detection: ECL Basic Kit. Exposure time: 1s.Immunohistochemistry-Paraffin: ORP150/HSP12A Antibody (6H7X2) [NBP3-15331]
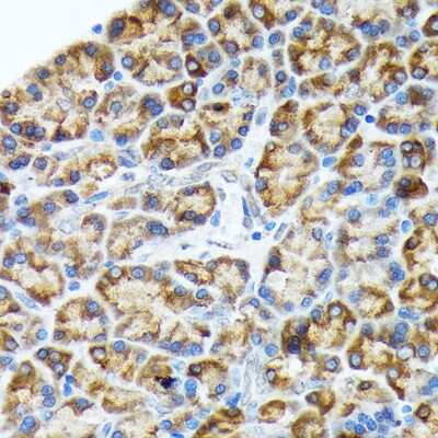
Immunohistochemistry-Paraffin: ORP150/HSP12A Antibody (6H7X2) [NBP3-15331] - Immunohistochemistry of paraffin-embedded rat pancreas using ORP150/HSP12A Rabbit mAb (NBP3-15331) at dilution of 1:100 (40x lens).Perform microwave antigen retrieval with 10 mM Tris/EDTA buffer pH 9.0 before commencing with IHC staining protocol.Applications for ORP150/HSP12A Antibody (6H7X2)
Application
Recommended Usage
Immunohistochemistry
1:50 - 1:200
Western Blot
1:500 - 1:1000
Formulation, Preparation, and Storage
Purification
Affinity purified
Formulation
PBS (pH 7.3), 50% glycerol, 0.05% BSA
Preservative
0.02% Sodium Azide
Concentration
Please see the vial label for concentration. If unlisted please contact technical services.
Shipping
The product is shipped with polar packs. Upon receipt, store it immediately at the temperature recommended below.
Stability & Storage
Store at -20C. Avoid freeze-thaw cycles.
Background: ORP150/HSP12A
Long Name
Oxygen Regulated Protein, 150 kDa
Alternate Names
HSP12A, HYOU1
Gene Symbol
HYOU1
Additional ORP150/HSP12A Products
Product Documents for ORP150/HSP12A Antibody (6H7X2)
Product Specific Notices for ORP150/HSP12A Antibody (6H7X2)
This product is for research use only and is not approved for use in humans or in clinical diagnosis. Primary Antibodies are guaranteed for 1 year from date of receipt.
Loading...
Loading...
Loading...
Loading...