Skip to main content

Orosomucoid 2 Antibody (D7) - BSA Free

Novus Biologicals, part of Bio-Techne | Catalog # NBP3-41442

Novus Biologicals, part of Bio-Techne
Catalog #
Availability
Size / Price
Qty
Loading...
NBP3-41442

Key Product Details

Species Reactivity

Human, Rat

Applications

Immunohistochemistry, Immunohistochemistry-Paraffin, Western Blot

Label

Unconjugated

Antibody Source

Monoclonal Mouse IgG2a Kappa Clone # D7

Format

BSA Free

Concentration

1 mg/ml

Product Specifications

Immunogen

Immunized with recombinant Human Orosomucoid 2 (Uniprot#: P19652; Gln19-Ser201 (Uniprot#: P19652)

Clonality

Monoclonal

Host

Mouse

Isotype

IgG2a Kappa

Description

Novus Biologicals Mouse Orosomucoid 2 Antibody (D7) - BSA Free (NBP3-41442) is a monoclonal antibody validated for use in IHC and WB. All Novus Biologicals antibodies are covered by our 100% guarantee.

Scientific Data Images for Orosomucoid 2 Antibody (D7) - BSA Free

Orosomucoid 2 Antibody (D7)

Immunohistochemistry-Paraffin: Orosomucoid 2 Antibody (D7) [NBP3-41442] -

Immunohistochemistry-Paraffin: Orosomucoid 2 Antibody (D7) [NBP3-41442] - DAB staining on IHC-P; Sample: Human Liver Tissue; Primary Ab: 30ug/ml NBP3-41442; Second Ab: 2ug/mL HRP-Linked Caprine Anti-Mouse IgG Polyclonal Antibody
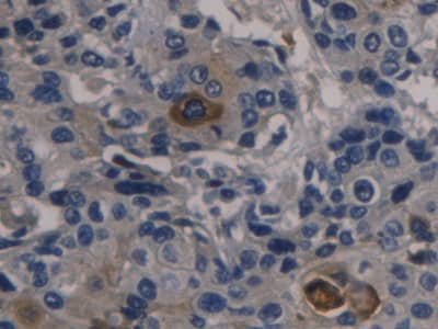
Orosomucoid 2 Antibody (D7)

Immunohistochemistry-Paraffin: Orosomucoid 2 Antibody (D7) [NBP3-41442] -

Immunohistochemistry-Paraffin: Orosomucoid 2 Antibody (D7) [NBP3-41442] - DAB staining on IHC-P; Sample: Human Prostate cancer Tissue; Primary Ab: 30ug/ml NBP3-41442; Second Ab: 2ug/mL HRP-Linked Caprine Anti-Mouse IgG Polyclonal Antibody
Orosomucoid 2 Antibody (D7)

Western Blot: Orosomucoid 2 Antibody (D7) [NBP3-41442] -

Western Blot: Orosomucoid 2 Antibody (D7) [NBP3-41442] - Sample: Lane1: Human Serum; Lane2: Rat Liver lysate; Lane3: Rat Pancreas lysate; Lane4: Rat Bladder lysate Primary Ab: 3ug/ml NBP3-41442; Second Ab: 0.2ug/mL HRP-Linked Caprine Anti-Mouse IgG Polyclonal Antibody

Applications for Orosomucoid 2 Antibody (D7) - BSA Free

Application
Recommended Usage

Immunohistochemistry

5-30ug/mL

Immunohistochemistry-Paraffin

5-30ug/mL

Western Blot

0.5-3ug/mL

Formulation, Preparation, and Storage

Purification

Protein A or G purified

Formulation

0.01M PBS, pH7.4, 50% glycerol

Format

BSA Free

Preservative

0.05% Proclin 300

Concentration

1 mg/ml

Shipping

The product is shipped with polar packs. Upon receipt, store it immediately at the temperature recommended below.

Stability & Storage

Store at 4C short term. Aliquot and store at -20C long term. Avoid freeze-thaw cycles.

Background: ORM2

Orosomucoid 2 encodes a key acute phase plasma protein. Because of its increase due to acute inflammation, this protein is classified as an acute-phase reactant. The specific function of this protein has not yet been determined; however, it may be involved in aspects of immunosuppression. [provided by RefSeq]

Long Name

Orosomucoid 2

Alternate Names

AGP-B, AGP2

Gene Symbol

ORM2

Additional ORM2 Products

Product Documents for Orosomucoid 2 Antibody (D7) - BSA Free

Certificate of Analysis

To download a Certificate of Analysis, please enter a lot number in the search box below.

Product Specific Notices for Orosomucoid 2 Antibody (D7) - BSA Free

This product is for research use only and is not approved for use in humans or in clinical diagnosis. Primary Antibodies are guaranteed for 1 year from date of receipt.

Loading...
Loading...
Loading...
Loading...