Skip to main content

Ornithine Carbamoyltransferase Antibody - BSA Free

Novus Biologicals, part of Bio-Techne | Catalog # NBP1-87408

Novus Biologicals, part of Bio-Techne
Catalog #
Availability
Size / Price
Qty
Loading...
NBP1-87408
NBP1-87408-25ul

Key Product Details

Validated by

Orthogonal Validation, Independent Antibodies

Species Reactivity

Validated:

Human, Mouse

Cited:

Human, Mouse

Predicted:

Rat (92%). Backed by our 100% Guarantee.

Applications

Validated:

Immunohistochemistry, Immunohistochemistry-Paraffin, Western Blot, Immunocytochemistry/ Immunofluorescence, Simple Western

Cited:

Western Blot, Immunocytochemistry/ Immunofluorescence, IF/IHC

Label

Unconjugated

Antibody Source

Polyclonal Rabbit IgG

Format

BSA Free

Concentration

Concentrations vary lot to lot. See vial label for concentration. If unlisted please contact technical services.

Product Specifications

Immunogen

This antibody was developed against Recombinant Protein corresponding to amino acids: ILADYLTLQEHYSSLKGLTLSWIGDGNNILHSIMMSAAKFGMHLQAATPKGYEPDASVTKLAEQYAKENGTKLLLTNDPLEAAHGGNVLITDTWISMGQEEEKKKRLQAFQGYQVTMKTAKVAASDWT

Reactivity Notes

Mouse reactivity reported in scientific literature (PMID:33228018)

Clonality

Polyclonal

Host

Rabbit

Isotype

IgG

Description

Novus Biologicals Rabbit Ornithine Carbamoyltransferase Antibody - BSA Free (NBP1-87408) is a polyclonal antibody validated for use in IHC, WB, ICC/IF and Simple Western. Anti-Ornithine Carbamoyltransferase Antibody: Cited in 5 publications. All Novus Biologicals antibodies are covered by our 100% guarantee.

Scientific Data Images for Ornithine Carbamoyltransferase Antibody - BSA Free

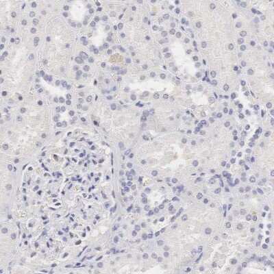
Immunohistochemistry-Paraffin: Ornithine Carbamoyltransferase Antibody [NBP1-87408]

Immunohistochemistry-Paraffin: Ornithine Carbamoyltransferase Antibody [NBP1-87408]

Immunohistochemistry-Paraffin: Ornithine Carbamoyltransferase Antibody [NBP1-87408] - Staining in human liver and kidney tissues . Corresponding OTC RNA-seq data are presented for the same tissues.
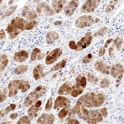
Immunohistochemistry-Paraffin: Ornithine Carbamoyltransferase Antibody [NBP1-87408]

Immunohistochemistry-Paraffin: Ornithine Carbamoyltransferase Antibody [NBP1-87408]

Immunohistochemistry-Paraffin: Ornithine Carbamoyltransferase Antibody [NBP1-87408] - Staining of human cerebral cortex, kidney, liver and small intestine using Anti-OTC antibody NBP1-87408 (A) shows similar protein distribution across tissues to independent antibody NBP1-88121 (B).
Western Blot: Ornithine Carbamoyltransferase Antibody [NBP1-87408]

Western Blot: Ornithine Carbamoyltransferase Antibody [NBP1-87408]

Western Blot: Ornithine Carbamoyltransferase Antibody [NBP1-87408] - Analysis in human liver tissue.

Applications for Ornithine Carbamoyltransferase Antibody - BSA Free

Application
Recommended Usage

Immunocytochemistry/ Immunofluorescence

0.25-2 ug/ml

Immunohistochemistry

1:2500 - 1:5000

Immunohistochemistry-Paraffin

1:2500 - 1:5000

Simple Western

1:20

Western Blot

0.04-0.4 ug/ml
Application Notes
For IHC-Paraffin, HIER pH 6 retrieval is recommended. ICC/IF Fixation Permeabilization: Use PFA/Triton X-100.

In Simple Western only 10 - 15 uL of the recommended dilution is used per data point.
See Simple Western Antibody Database for Simple Western validation: Tested in Liver, separated by Size, antibody dilution of 1:20, apparent MW was 41 kDa. Separated by Size-Wes, Sally Sue/Peggy Sue.

Formulation, Preparation, and Storage

Purification

Affinity purified

Formulation

PBS (pH 7.2) and 40% Glycerol

Format

BSA Free

Preservative

0.02% Sodium Azide

Concentration

Concentrations vary lot to lot. See vial label for concentration. If unlisted please contact technical services.

Shipping

The product is shipped with polar packs. Upon receipt, store it immediately at the temperature recommended below.

Stability & Storage

Store at 4C short term. Aliquot and store at -20C long term. Avoid freeze-thaw cycles.

Background: Ornithine Carbamoyltransferase/OTC

This nuclear gene encodes a mitochondrial matrix enzyme. Missense, nonsense, and frameshift mutations in this enzyme lead to ornithine transcarbamylase deficiency, which causes hyperammonemia. Since the gene for this enzyme maps close to that for Duchenne muscular dystrophy, it may play a role in that disease also. (provided by RefSeq)

Alternate Names

OCTD, Ornithine Transcarbamylase, OTC, OTCase

Gene Symbol

OTC

Additional Ornithine Carbamoyltransferase/OTC Products

Product Documents for Ornithine Carbamoyltransferase Antibody - BSA Free

Certificate of Analysis

To download a Certificate of Analysis, please enter a lot number in the search box below.

Product Specific Notices for Ornithine Carbamoyltransferase Antibody - BSA Free

This product is for research use only and is not approved for use in humans or in clinical diagnosis. Primary Antibodies are guaranteed for 1 year from date of receipt.

Loading...
Loading...
Loading...
Loading...